PHIP 抗体 (AA 1542-1821)
Our Local Distributor
北京 101111
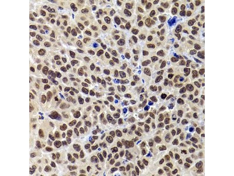
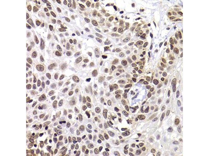
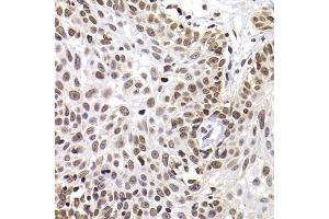
Quick Overview for PHIP 抗体 (AA 1542-1821) (ABIN6145556)
抗原
See all PHIP 抗体适用
宿主
克隆类型
标记
应用范围
-
-
抗原表位
- AA 1542-1821
-
序列
- KTILENSVKH SKALNTLSSP GQSSFSHGTR NNSAKENMEK EKPVKRKMKS SVLPKASTLS KSSAVIEQGD CKNNALVPGT IQVNGHGGQP SKLVKRGPGR KPKVEVNTNS GEIIHKKRGR KPKKLQYAKP EDLEQNNVHP IRDEVLPSST CNFLSETNNV KEDLLQKKNR GGRKPKRKMK TQKLDADLLV PASVKVLRRS NRKKIDDPID EEEEFEELKG SEPHMRTRNQ GRRTAFYNED DSEEEQRQLL FEDTSLTFGT SSRGRVRKLT EKAKANLIGW
-
交叉反应
- 人, 小鼠
-
产品特性
- Polyclonal Antibodies
-
免疫原
- Recombinant fusion protein containing a sequence corresponding to amino acids 1542-1821 of human PHIP (NP_060404.3).
-
亚型
- IgG
-
-
-
-
应用备注
- WB,1:500 - 1:2000,IHC,1:50 - 1:200,IF,1:50 - 1:100
-
限制
- 仅限研究用
-
-
-
状态
- Liquid
-
缓冲液
- PBS with 0.02 % sodium azide,50 % glycerol, pH 7.3.
-
储存液
- Sodium azide
-
注意事项
- This product contains Sodium azide: a POISONOUS AND HAZARDOUS SUBSTANCE which should be handled by trained staff only.
-
储存条件
- -20 °C
-
储存方法
- Store at -20°C. Avoid freeze / thaw cycles.
-
-
- PHIP (Pleckstrin Homology Domain Interacting Protein (PHIP))
-
别名
- PHIP
-
背景
- This gene encodes a protein that binds to the insulin receptor substrate 1 protein and regulates glucose transporter translocation in skeletal muscle cells. The encoded protein may also regulate growth and survival of pancreatic beta cells. Elevated copy number of this gene may be associated with melanoma severity and the encoded protein may promote melanoma metastasis in human patients.,PHIP,BRWD2,DCAF14,WDR11,ndrp,Epigenetics & Nuclear Signaling,Signal Transduction,Cell Biology & Developmental Biology,Growth factor,PHIP
-
分子量
- 206 kDa
-
基因ID
- 55023
-
UniProt
- Q8WWQ0
-
途径
- Protein targeting to Nucleus
抗原
-