电话:
+86 (0512) 65829739
传真:
+86 (010) 6788 5057
电子邮件:
orders@antibodies-online.cn

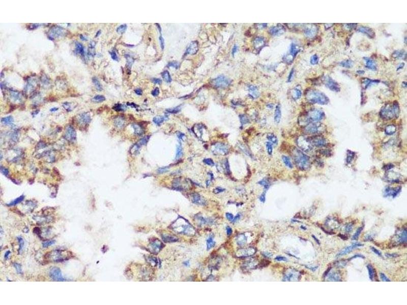
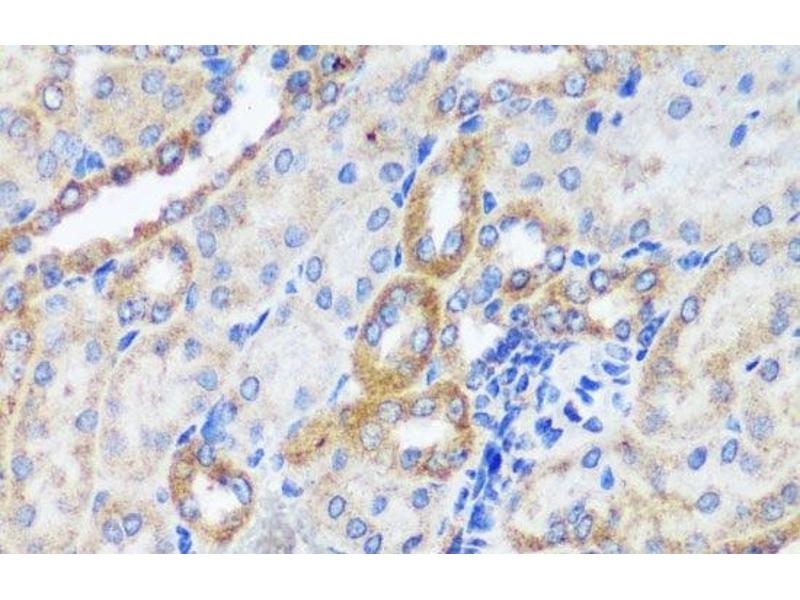
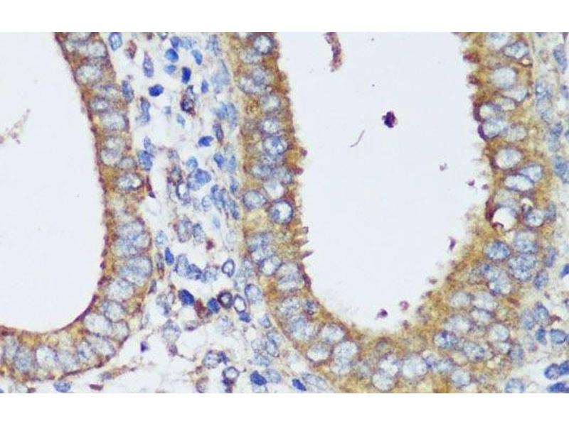
ERK1/2 抗体

The 兔 多克隆 anti-ERK1/2 antibody is suitable to detect ERK1/2 in samples from 人, 小鼠 和 大鼠. It has been validated for IHC 和 IF.
产品编号 ABIN7259324
发货至: 中国
Contact our Customer Service for availability and price in your country. Contact Info

Our Local Distributor

中国
北京 101111
No. 88 KeChuang 6th Street
Beijing Economic Technological Development Area
Room 801-803
4A Biotech Co.,Ltd.
Tel +86 (0512) 65829739 传真 +86 (010) 6788 5057

Quick Overview for ERK1/2 抗体 (ABIN7259324)

抗原

See all ERK1/2 (MAPK1/3) 抗体
ERK1/2 (MAPK1/3) (Mitogen-Activated Protein Kinase 1/3 (MAPK1/3))

适用

  • 215
  • 182
  • 177
  • 21
  • 21
  • 18
  • 6
  • 2
  • 2
  • 2
  • 2
  • 2
  • 1
  • 1
  • 1
  • 1
  • 1
  • 1
  • 1
人, 小鼠, 大鼠

宿主

  • 176
  • 41
  • 4

克隆类型

  • 134
  • 87
多克隆

标记

  • 83
  • 13
  • 8
  • 8
  • 8
  • 8
  • 8
  • 8
  • 6
  • 5
  • 5
  • 5
  • 5
  • 5
  • 5
  • 5
  • 5
  • 5
  • 5
  • 5
  • 4
  • 4
  • 4
  • 2
  • 1
  • 1
This ERK1/2 antibody is un-conjugated

应用范围

  • 174
  • 66
  • 57
  • 51
  • 51
  • 42
  • 41
  • 40
  • 36
  • 33
  • 13
  • 4
  • 3
Immunohistochemistry (IHC), Immunofluorescence (IF)
  • 产品特性

    Polyclonal Antibody

    纯化方法

    Affinity purification

    免疫原

    Recombinant Protein of human ERK1 / ERK2

    亚型

    IgG
  • 应用备注

    IHC 1:50-1:200 IF 1:50-1:200

    限制

    仅限研究用
  • 状态

    Liquid

    浓度

    1 mg/mL

    缓冲液

    PBS with 0.02 % sodium azide, 50 % glycerol, pH 7.3

    储存液

    Sodium azide

    注意事项

    This product contains Sodium azide: a POISONOUS AND HAZARDOUS SUBSTANCE which should be handled by trained staff only.

    储存条件

    -20 °C

    储存方法

    Store at -20°C. Avoid freeze / thaw cycles.
  • 抗原

    ERK1/2 (MAPK1/3) (Mitogen-Activated Protein Kinase 1/3 (MAPK1/3))

    别名

    ERK1 / ERK2

    背景

    This gene encodes a member of the MAP kinase family. MAP kinases, also known as extracellular signal-regulated kinases (ERKs), act as an integration point for multiple biochemical signals, and are involved in a wide variety of cellular processes such as proliferation, differentiation, transcription regulation and development. The activation of this kinase requires its phosphorylation by upstream kinases. Upon activation, this kinase translocates to the nucleus of the stimulated cells, where it phosphorylates nuclear targets. One study also suggests that this protein acts as a transcriptional repressor independent of its kinase activity. The encoded protein has been identified as a moonlighting protein based on its ability to perform mechanistically distinct functions. Two alternatively spliced transcript variants encoding the same protein, but differing in the UTRs, have been reported for this gene./The protein encoded by this gene is a member of the MAP kinase family. MAP kinases, also known as extracellular signal-regulated kinases (ERKs), act in a signaling cascade that regulates various cellular processes such as proliferation, differentiation, and cell cycle progression in response to a variety of extracellular signals. This kinase is activated by upstream kinases, resulting in its translocation to the nucleus where it phosphorylates nuclear targets. Alternatively spliced transcript variants encoding different protein isoforms have been described.

    基因ID

    5594, 5595

    UniProt

    P28482, P27361
You are here: