电话:
+86 (0512) 65829739
传真:
+86 (010) 6788 5057
电子邮件:
orders@antibodies-online.cn

ERK1/2 抗体 (pTyr205, pTyr222)

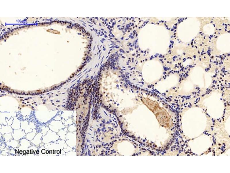
The 兔 多克隆 anti-ERK1/2 antibody is suitable to detect ERK1/2 in samples from 人, 小鼠 和 大鼠. It has been validated for WB, ELISA, IF 和 IHC (p).
产品编号 ABIN7206465
发货至: 中国
Contact our Customer Service for availability and price in your country. Contact Info

Our Local Distributor

中国
北京 101111
No. 88 KeChuang 6th Street
Beijing Economic Technological Development Area
Room 801-803
4A Biotech Co.,Ltd.
Tel +86 (0512) 65829739 传真 +86 (010) 6788 5057

Quick Overview for ERK1/2 抗体 (pTyr205, pTyr222) (ABIN7206465)

抗原

See all ERK1/2 (MAPK1/3) 抗体
ERK1/2 (MAPK1/3) (Mitogen-Activated Protein Kinase 1/3 (MAPK1/3))

适用

  • 213
  • 182
  • 176
  • 21
  • 21
  • 18
  • 6
  • 2
  • 2
  • 2
  • 2
  • 2
  • 1
  • 1
  • 1
  • 1
  • 1
  • 1
  • 1
人, 小鼠, 大鼠

宿主

  • 175
  • 41
  • 3

克隆类型

  • 132
  • 87
多克隆

标记

  • 81
  • 13
  • 8
  • 8
  • 8
  • 8
  • 8
  • 8
  • 6
  • 5
  • 5
  • 5
  • 5
  • 5
  • 5
  • 5
  • 5
  • 5
  • 5
  • 5
  • 4
  • 4
  • 4
  • 2
  • 1
  • 1
This ERK1/2 antibody is un-conjugated

应用范围

  • 172
  • 66
  • 58
  • 51
  • 51
  • 41
  • 41
  • 40
  • 35
  • 32
  • 13
  • 3
  • 3
Western Blotting (WB), ELISA, Immunofluorescence (IF), Immunohistochemistry (Paraffin-embedded Sections) (IHC (p))
  • 抗原表位

    • 66
    • 45
    • 30
    • 30
    • 21
    • 16
    • 12
    • 12
    • 10
    • 4
    • 4
    • 3
    • 3
    • 3
    • 2
    • 2
    • 2
    • 2
    • 1
    • 1
    • 1
    • 1
    • 1
    • 1
    • 1
    • 1
    • 1
    • 1
    • 1
    • 1
    • 1
    • 1
    • 1
    • 1
    pTyr205, pTyr222

    原理

    ERK1/2 (phospho Tyr222/205) Polyclonal Antibody

    特异性

    Phospho-ERK 1/2 (Y222/205) Polyclonal Antibody detects endogenous levels of ERK 1/2 protein only when phosphorylated at Y222/205.

    纯化方法

    The antibody was affinity-purified from rabbit antiserum by affinity-chromatography using epitope-specific immunogen

    免疫原

    Synthesized peptide derived from human ERK1/2 Phospho-Tyr222/205

    亚型

    IgG
  • 应用备注

    Optimal working dilutions should be determined experimentally by the investigator. Suggested starting dilutions are as follows: WB (1:500-1:2000), IF (1:50-1:200), IHC-P (1:50-1:300). Not yet tested in other applications.

    限制

    仅限研究用
  • 状态

    Liquid

    浓度

    1 mg/mL

    缓冲液

    PBS containing 50 % Glycerol, 0.5 % BSA and 0.02 % Sodium Azide.

    储存液

    Sodium azide

    注意事项

    This product contains Sodium azide: a POISONOUS AND HAZARDOUS SUBSTANCE which should be handled by trained staff only.

    储存条件

    -20 °C

    储存方法

    Stable for one year at -20°C from date of shipment. For maximum recovery of product, centrifuge the original vial after thawing and prior to removing the cap. Aliquot to avoid repeated freezing and thawing.
  • 抗原

    ERK1/2 (MAPK1/3) (Mitogen-Activated Protein Kinase 1/3 (MAPK1/3))

    别名

    ERK1/2

    背景

    Rabbit Anti-ERK1/2 (phospho Tyr222/205) Polyclonal Antibody,MAPK1, ERK2, PRKM1, PRKM2, Mitogen-activated protein kinase 1, MAP kinase 1, MAPK 1, ERT1, Extracellular signal-regulated kinase 2, ERK-2, MAP kinase isoform p42, p42-MAPK, Mitogen-activated protein kinase 2, MAP kinase 2, MAPK 2, MAPK3, ER,MAPK1 encodes a member of the MAP kinase family. MAP kinases, also known as extracellular signal-regulated kinases (ERKs), act as an integration point for multiple biochemical signals, and are involved in a wide variety of cellular processes such as proliferation, differentiation, transcription regulation and development. The activation of this kinase requires its phosphorylation by upstream kinases. Upon activation, this kinase translocates to the nucleus of the stimulated cells, where it phosphorylates nuclear targets. One study also suggests that this protein acts as a transcriptional repressor independent of its kinase activity. The encoded protein has been identified as a moonlighting protein based on its ability to perform mechanistically distinct functions. Two alternatively spliced transcript variants encoding the same protein, but differing in the UTRs, have been reported for this MAPK1.,Mitogen-activated protein kinase 1

    基因ID

    5594, 5595
You are here: