电话:
+86 (0512) 65829739
传真:
+86 (010) 6788 5057
电子邮件:
orders@antibodies-online.cn

TLK1 抗体

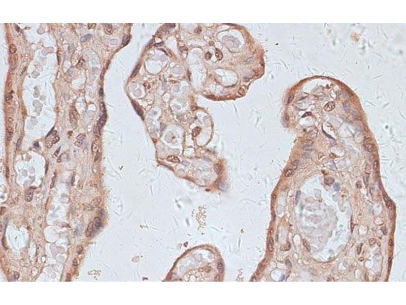
The 兔 多克隆 anti-TLK1 antibody (ABIN7258162) specifically detects TLK1 in IHC. The antibody is reactive with 人, 小鼠 和 大鼠 samples.
产品编号 ABIN7258162
发货至: 中国
Contact our Customer Service for availability and price in your country. Contact Info

Our Local Distributor

中国
北京 101111
No. 88 KeChuang 6th Street
Beijing Economic Technological Development Area
Room 801-803
4A Biotech Co.,Ltd.
Tel +86 (0512) 65829739 传真 +86 (010) 6788 5057

Quick Overview for TLK1 抗体 (ABIN7258162)

抗原

See all TLK1 抗体
TLK1 (Tousled-Like Kinase 1 (TLK1))

适用

  • 44
  • 41
  • 29
  • 5
  • 5
  • 5
  • 4
  • 4
  • 3
  • 3
  • 2
  • 1
  • 1
  • 1
人, 小鼠, 大鼠

宿主

  • 63
  • 2

克隆类型

  • 64
  • 1
多克隆

标记

  • 34
  • 4
  • 3
  • 3
  • 2
  • 2
  • 1
  • 1
  • 1
  • 1
  • 1
  • 1
  • 1
  • 1
  • 1
  • 1
  • 1
  • 1
  • 1
  • 1
  • 1
  • 1
  • 1
This TLK1 antibody is un-conjugated

应用范围

  • 53
  • 28
  • 13
  • 13
  • 11
  • 8
  • 5
  • 5
  • 3
  • 1
  • 1
  • 1
  • 1
Immunohistochemistry (IHC)
  • 产品特性

    Polyclonal Antibody

    纯化方法

    Affinity purification

    免疫原

    Recombinant fusion protein of human TLK1 (NP_036422.3).

    亚型

    IgG
  • 应用备注

    IHC 1:50-1:100

    限制

    仅限研究用
  • 状态

    Liquid

    浓度

    1 mg/mL

    缓冲液

    PBS with 0.02 % sodium azide, 50 % glycerol, pH 7.3

    储存液

    Sodium azide

    注意事项

    This product contains Sodium azide: a POISONOUS AND HAZARDOUS SUBSTANCE which should be handled by trained staff only.

    储存条件

    -20 °C

    储存方法

    Store at -20°C. Avoid freeze / thaw cycles.
  • 抗原

    TLK1 (Tousled-Like Kinase 1 (TLK1))

    别名

    TLK1

    背景

    The protein encoded by this gene is a serine/threonine kinase that may be involved in the regulation of chromatin assembly. The encoded protein is only active when it is phosphorylated, and this phosphorylation is cell cycle-dependent, with the maximal activity of this protein coming during S phase. The catalytic activity of this protein is diminished by DNA damage and by blockage of DNA replication. Three transcript variants encoding different isoforms have been found for this gene.

    基因ID

    9874

    UniProt

    Q9UKI8
You are here: