电话:
+86 (0512) 65829739
传真:
+86 (010) 6788 5057
电子邮件:
orders@antibodies-online.cn

TLK1 抗体 (C-Term)

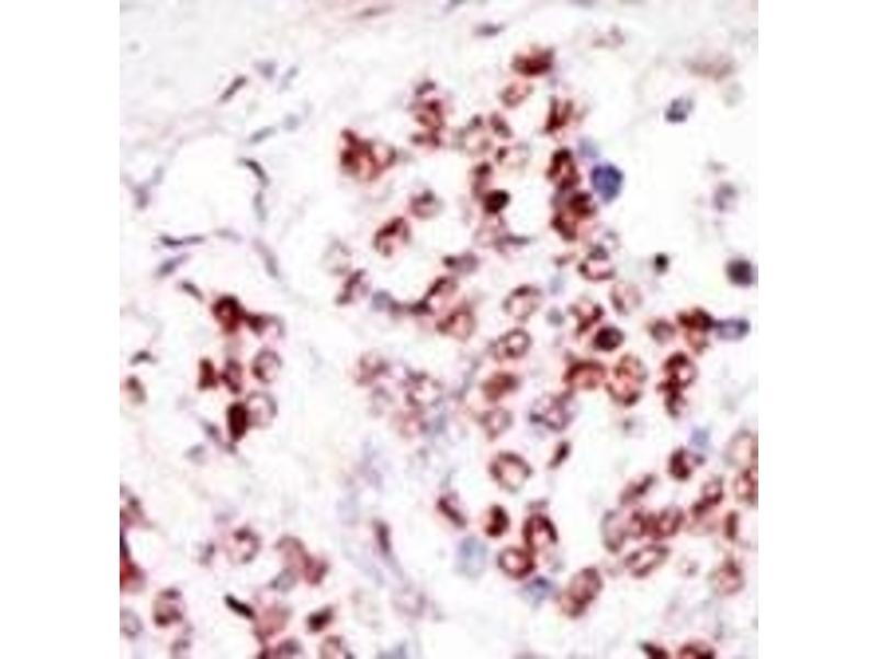
Cited in 1 publication. The 兔 多克隆 anti-TLK1 antibody (Clone RB3043) (ABIN392685) specifically detects TLK1 in WB 和 IHC (p). The antibody is reactive with 人 samples.
产品编号 ABIN392685
发货至: 中国
Contact our Customer Service for availability and price in your country. Contact Info

Our Local Distributor

中国
北京 101111
No. 88 KeChuang 6th Street
Beijing Economic Technological Development Area
Room 801-803
4A Biotech Co.,Ltd.
Tel +86 (0512) 65829739 传真 +86 (010) 6788 5057

Quick Overview for TLK1 抗体 (C-Term) (ABIN392685)

抗原

See all TLK1 抗体
TLK1 (Tousled-Like Kinase 1 (TLK1))

适用

  • 44
  • 41
  • 30
  • 5
  • 5
  • 5
  • 4
  • 4
  • 3
  • 3
  • 2
  • 1
  • 1
  • 1

宿主

  • 63
  • 2

克隆类型

  • 64
  • 1
多克隆

标记

  • 34
  • 4
  • 3
  • 3
  • 2
  • 2
  • 1
  • 1
  • 1
  • 1
  • 1
  • 1
  • 1
  • 1
  • 1
  • 1
  • 1
  • 1
  • 1
  • 1
  • 1
  • 1
  • 1
This TLK1 antibody is un-conjugated

应用范围

  • 52
  • 28
  • 13
  • 13
  • 11
  • 7
  • 5
  • 5
  • 3
  • 1
  • 1
  • 1
  • 1
Western Blotting (WB), Immunohistochemistry (Paraffin-embedded Sections) (IHC (p))

克隆位点

RB3043
  • 抗原表位

    • 15
    • 8
    • 7
    • 5
    • 2
    • 2
    • 2
    • 2
    • 2
    • 1
    • 1
    • 1
    • 1
    • 1
    • 1
    • 1
    • 1
    • 1
    • 1
    • 1
    • 1
    AA 720-750, C-Term

    纯化方法

    This antibody is prepared by Saturated Ammonium Sulfate (SAS) precipitation followed by dialysis against PBS.

    免疫原

    This TLK1 antibody is generated from rabbits immunized with a KLH conjugated synthetic peptide between 720-750 amino acids from the C-terminal region of human TLK1.

    亚型

    Ig Fraction
  • 应用备注

    WB: 1:1000. WB: 1:1000. WB: 1:8000. IHC-P: 1:50~100

    限制

    仅限研究用
  • 状态

    Liquid

    缓冲液

    Purified polyclonal antibody supplied in PBS with 0.09 % (W/V) sodium azide.

    储存液

    Sodium azide

    注意事项

    This product contains Sodium azide: a POISONOUS AND HAZARDOUS SUBSTANCE which should be handled by trained staff only.

    储存条件

    4 °C,-20 °C

    储存方法

    Maintain refrigerated at 2-8 °C for up to 6 months. For long term storage store at -20 °C in small aliquots to prevent freeze-thaw cycles.

    有效期

    6 months
  • Takayama, Kokuryo, Yokoyama, Ito, Nagino, Hamaguchi, Senga: "Silencing of Tousled-like kinase 1 sensitizes cholangiocarcinoma cells to cisplatin-induced apoptosis." in: Cancer letters, Vol. 296, Issue 1, pp. 27-34, (2010) (PubMed).

  • 抗原

    TLK1 (Tousled-Like Kinase 1 (TLK1))

    别名

    TLK1

    背景

    The Tousled-like kinases, first described in Arabadopsis, are nuclear serine/threonine kinases that are potentially involved in the regulation of chromatin assembly.[supplied by OMIM]

    分子量

    86700

    基因ID

    9874

    NCBI登录号

    NP_001130026, NP_001130027, NP_036422

    UniProt

    Q9UKI8
You are here: