电话:
+86 (0512) 65829739
传真:
+86 (010) 6788 5057
电子邮件:
orders@antibodies-online.cn

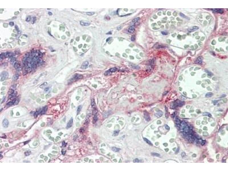
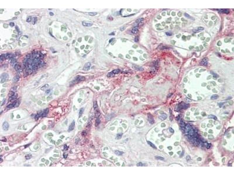
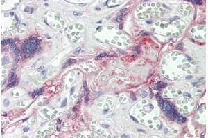
TLK1 抗体 (AA 730-779)

The 兔 多克隆 anti-TLK1 antibody (ABIN2879360) specifically detects TLK1 in ELISA, IHC, IF 和 IHC (p). The antibody is reactive with 人 和 小鼠 samples.
产品编号 ABIN2879360
发货至: 中国
Contact our Customer Service for availability and price in your country. Contact Info

Our Local Distributor

中国
北京 101111
No. 88 KeChuang 6th Street
Beijing Economic Technological Development Area
Room 801-803
4A Biotech Co.,Ltd.
Tel +86 (0512) 65829739 传真 +86 (010) 6788 5057

Quick Overview for TLK1 抗体 (AA 730-779) (ABIN2879360)

抗原

See all TLK1 抗体
TLK1 (Tousled-Like Kinase 1 (TLK1))

适用

  • 44
  • 41
  • 30
  • 5
  • 5
  • 5
  • 4
  • 4
  • 3
  • 3
  • 2
  • 1
  • 1
  • 1
人, 小鼠

宿主

  • 63
  • 2

克隆类型

  • 64
  • 1
多克隆

标记

  • 34
  • 4
  • 3
  • 3
  • 2
  • 2
  • 1
  • 1
  • 1
  • 1
  • 1
  • 1
  • 1
  • 1
  • 1
  • 1
  • 1
  • 1
  • 1
  • 1
  • 1
  • 1
  • 1
This TLK1 antibody is un-conjugated

应用范围

  • 53
  • 27
  • 13
  • 13
  • 11
  • 7
  • 5
  • 4
  • 3
  • 1
  • 1
  • 1
  • 1
ELISA, Immunohistochemistry (IHC), Immunofluorescence (IF), Immunohistochemistry (Paraffin-embedded Sections) (IHC (p))
  • 抗原表位

    • 15
    • 8
    • 8
    • 6
    • 2
    • 2
    • 2
    • 2
    • 1
    • 1
    • 1
    • 1
    • 1
    • 1
    • 1
    • 1
    • 1
    • 1
    • 1
    • 1
    • 1
    AA 730-779

    特异性

    TLK1 Antibody detects endogenous levels of total TLK1 protein.

    纯化方法

    Immunoaffinity purified

    免疫原

    Synthetic peptide from human TLK1 (aa730-779).

    Type of Immunogen: Synthetic peptide

    亚型

    IgG
  • 应用备注

    Approved: IF (1:100 - 1:500), IHC, IHC-P (1:50), Peptide-ELISA (1:5000)

    说明

    Target Species of Antibody: Human

    限制

    仅限研究用
  • 状态

    Liquid

    浓度

    Lot specific

    缓冲液

    PBS (without Mg2+, Ca2+),  pH 7.4, 150 mM sodium chloride, 0.02 % sodium azide, 50 % glycerol

    储存液

    Sodium azide

    注意事项

    This product contains Sodium azide: a POISONOUS AND HAZARDOUS SUBSTANCE which should be handled by trained staff only.

    储存条件

    -20 °C

    储存方法

    Store at -20°C for up to 1 year.

    有效期

    12 months
  • 抗原

    TLK1 (Tousled-Like Kinase 1 (TLK1))

    别名

    TLK1

    背景

    Name/Gene ID: TLK1
    Subfamily: TLK
    Family: Protein Kinase

    Synonyms: TLK1, KIAA0137, Tousled-like kinase 1, Snare kinase snak, PKU-beta, SNARE protein kinase SNAK

    基因ID

    9874
You are here: