WTAP 抗体
Our Local Distributor
北京 101111
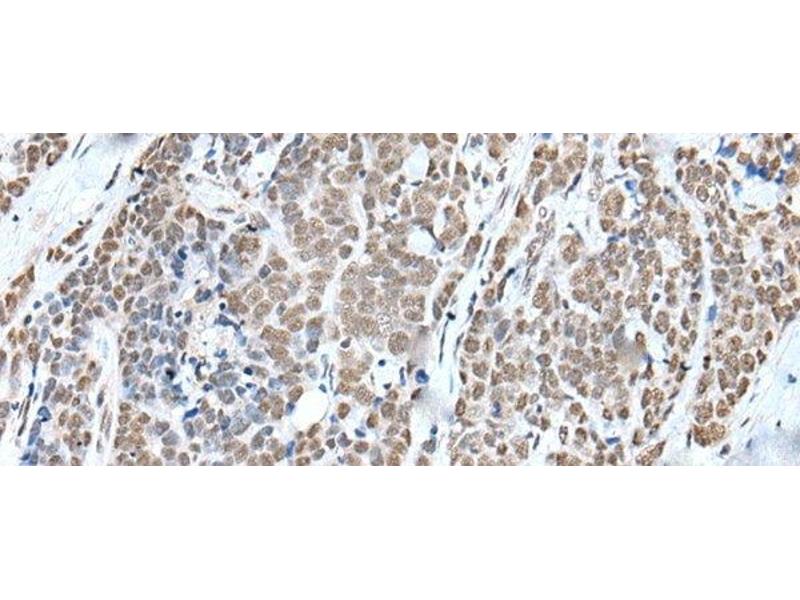
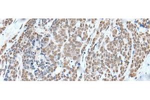
Quick Overview for WTAP 抗体 (ABIN7252177)
抗原
See all WTAP 抗体适用
宿主
克隆类型
标记
应用范围
-
-
产品特性
- Polyclonal Antibody
-
纯化方法
- Antigen affinity purification
-
免疫原
- Full length fusion protein
-
亚型
- IgG
-
-
-
-
应用备注
- IHC 1:30-1:150, ELISA 1:5000-1:10000
-
限制
- 仅限研究用
-
-
-
状态
- Liquid
-
浓度
- 0.6 mg/mL
-
缓冲液
- PBS with 0.05 % Sodium azide and 40 % Glycerol, pH 7.4
-
储存液
- Sodium azide
-
注意事项
- This product contains Sodium azide: a POISONOUS AND HAZARDOUS SUBSTANCE which should be handled by trained staff only.
-
储存条件
- -20 °C
-
储存方法
- Store at -20°C. Avoid freeze / thaw cycles.
-
-
- WTAP (Wilms Tumor 1 Associated Protein (WTAP))
-
别名
- WTAP
-
背景
- WTAP,also named as KIAA0105 and hFL(2)D,is previously identified as a protein associated with Wilms' tumor-1 (WT-1) protein that is essential for the development of the genitourinary system. It is a Pre-mRNA-splicing regulator protein. It is a regulatory subunit of the WMM N6-methyltransferase complex which plays a role in the efficiency of mRNA splicing and processing and mRNA stability. It is required for accumulation of METTL3 and METTL14 to nuclear speckle.
-
UniProt
- Q15007
抗原
-