电话:
+86 (0512) 65829739
传真:
+86 (010) 6788 5057
电子邮件:
orders@antibodies-online.cn

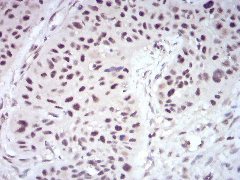
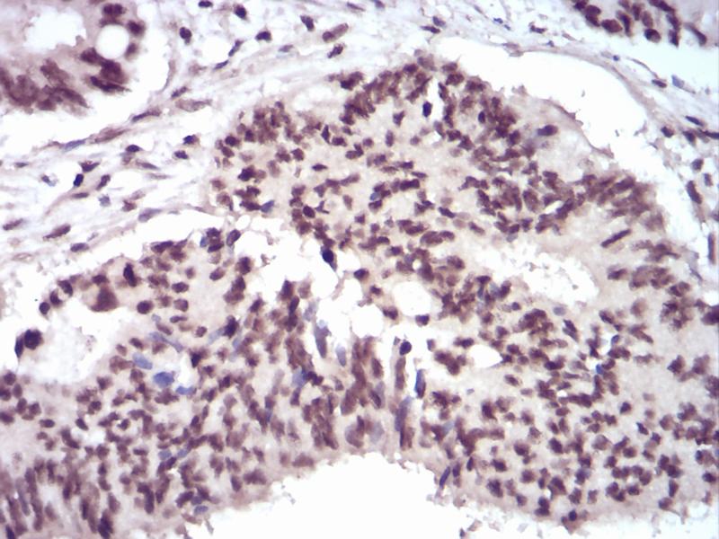
WTAP 抗体 (AA 91-201)

This 小鼠 单克隆 antibody specifically detects WTAP in ELISA, IHC 和 FACS. It exhibits reactivity toward 人.
产品编号 ABIN5542406
发货至: 中国
Contact our Customer Service for availability and price in your country. Contact Info

Our Local Distributor

中国
北京 101111
No. 88 KeChuang 6th Street
Beijing Economic Technological Development Area
Room 801-803
4A Biotech Co.,Ltd.
Tel +86 (0512) 65829739 传真 +86 (010) 6788 5057

Quick Overview for WTAP 抗体 (AA 91-201) (ABIN5542406)

抗原

See all WTAP 抗体
WTAP (Wilms Tumor 1 Associated Protein (WTAP))

适用

  • 65
  • 19
  • 8
  • 3
  • 1
  • 1
  • 1
  • 1

宿主

  • 54
  • 11
小鼠

克隆类型

  • 43
  • 22
单克隆

标记

  • 40
  • 4
  • 3
  • 2
  • 2
  • 2
  • 2
  • 2
  • 2
  • 2
  • 1
  • 1
  • 1
  • 1
This WTAP antibody is un-conjugated

应用范围

  • 48
  • 31
  • 25
  • 17
  • 9
  • 7
  • 6
  • 4
  • 2
  • 1
  • 1
  • 1
ELISA, Immunohistochemistry (IHC), Flow Cytometry (FACS)

克隆位点

6B6B8
  • 抗原表位

    • 8
    • 6
    • 6
    • 3
    • 3
    • 2
    • 1
    • 1
    • 1
    • 1
    • 1
    • 1
    • 1
    • 1
    • 1
    AA 91-201

    原理

    WTAP Antibody

    纯化方法

    Purified antibody

    免疫原

    Purified recombinant fragment of human WTAP (AA: 91-201) expressed in E. Coli.

    亚型

    IgG1
  • 应用备注

    ELISA: 1/10000

    FCM: 1/200 - 1/400

    限制

    仅限研究用
  • 状态

    Liquid

    缓冲液

    Purified antibody in PBS with 0.05 % sodium azide.

    储存液

    Sodium azide

    注意事项

    This product contains Sodium azide: a POISONOUS AND HAZARDOUS SUBSTANCE which should be handled by trained staff only.

    储存条件

    4 °C,-20 °C

    储存方法

    Store at 4°C short term. Aliquot and store at -20°C long term. Avoid freeze/thaw cycles.
  • 抗原

    WTAP (Wilms Tumor 1 Associated Protein (WTAP))

    别名

    WTAP

    背景

    The Wilms tumor suppressor gene WT1 appears to play a role in both transcriptional and posttranscriptional regulation of certain cellular genes. This gene encodes a WT1-associating protein, which is a ubiquitously expressed nuclear protein. Like WT1 protein, this protein is localized throughout the nucleoplasm as well as in speckles and partially colocalizes with splicing factors. Alternative splicing of this gene results in several transcript variants encoding three different isoforms.

    分子量

    44.2 kDa

    基因ID

    9589

    UniProt

    Q15007
You are here: