电话:
+86 (0512) 65829739
传真:
+86 (010) 6788 5057
电子邮件:
orders@antibodies-online.cn

WTAP 抗体 (Center)

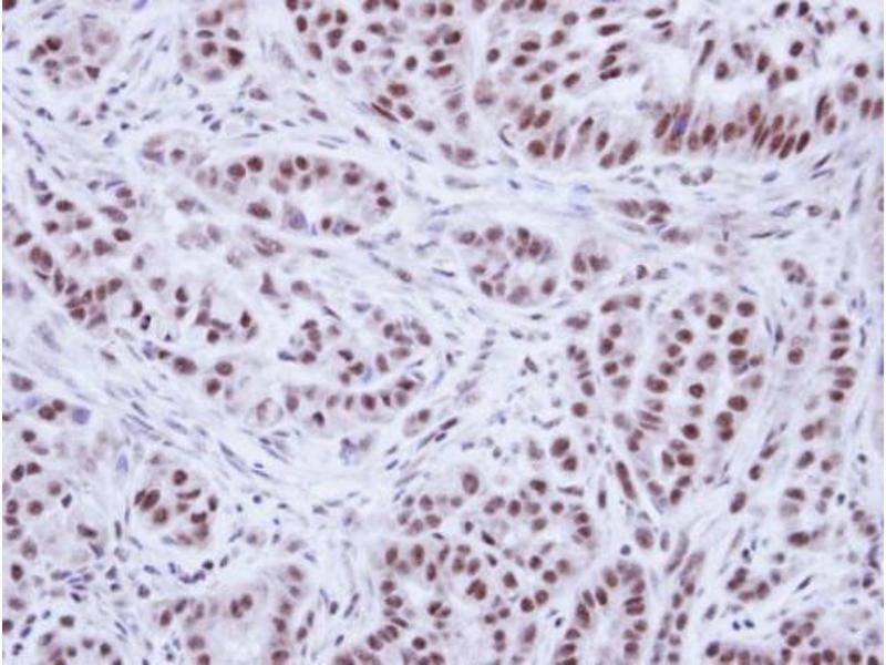
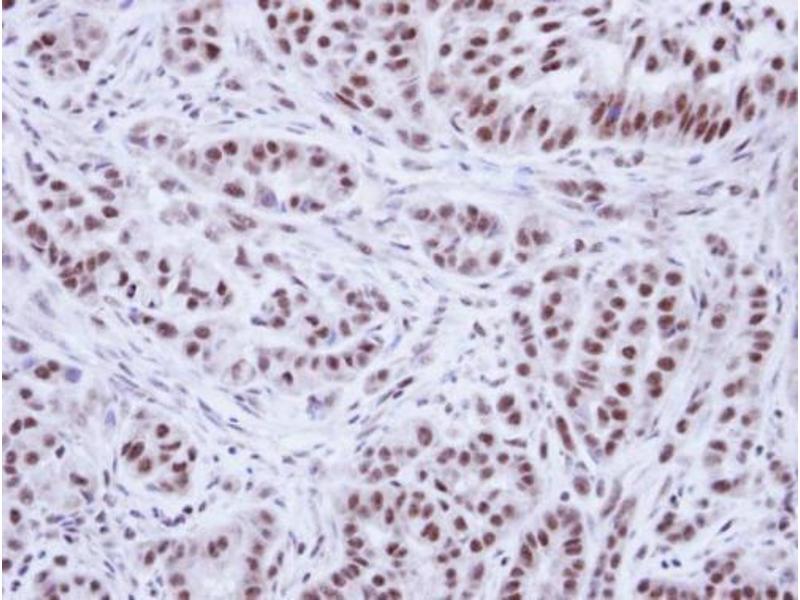
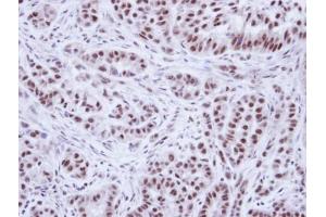
The 兔 多克隆 anti-WTAP antibody (ABIN2855463) specifically detects WTAP in WB, IHC (p), IF 和 ICC. The antibody is reactive with 人 samples.
产品编号 ABIN2855463
发货至: 中国
Contact our Customer Service for availability and price in your country. Contact Info

Our Local Distributor

中国
北京 101111
No. 88 KeChuang 6th Street
Beijing Economic Technological Development Area
Room 801-803
4A Biotech Co.,Ltd.
Tel +86 (0512) 65829739 传真 +86 (010) 6788 5057

Quick Overview for WTAP 抗体 (Center) (ABIN2855463)

抗原

See all WTAP 抗体
WTAP (Wilms Tumor 1 Associated Protein (WTAP))

适用

  • 63
  • 19
  • 8
  • 3
  • 1
  • 1
  • 1
  • 1

宿主

  • 53
  • 10

克隆类型

  • 42
  • 21
多克隆

标记

  • 38
  • 4
  • 3
  • 2
  • 2
  • 2
  • 2
  • 2
  • 2
  • 2
  • 1
  • 1
  • 1
  • 1
This WTAP antibody is un-conjugated

应用范围

  • 47
  • 29
  • 26
  • 17
  • 9
  • 5
  • 5
  • 3
  • 2
  • 1
  • 1
  • 1
Western Blotting (WB), Immunohistochemistry (Paraffin-embedded Sections) (IHC (p)), Immunofluorescence (IF), Immunocytochemistry (ICC)
  • 抗原表位

    • 8
    • 6
    • 6
    • 3
    • 3
    • 3
    • 1
    • 1
    • 1
    • 1
    • 1
    • 1
    • 1
    • 1
    Center

    交叉反应

    小鼠, 大鼠, 猕猴

    交叉反应 (详细)

    Mouse (100 %), Rat (100 %), Rhesus Monkey (100 %)

    产品特性

    Rabbit Polyclonal antibody to WTAP (Wilms tumor 1 associated protein)
    WTAP antibody

    纯化方法

    Purified by antigen-affinity chromatography.

    免疫原

    Recombinant protein encompassing a sequence within the center region of human WTAP. The exact sequence is proprietary.

    亚型

    IgG
  • 应用备注

    Suggested dilution Reference ICC/IF 1:100-1:1000* IHC (Formalin-fixed paraffin-embedded sections) 1:100-1:1000* Western blot 1:500-1:3000* Not tested in other applications. *Optimal dilutions/concentrations should be determined by the researcher.Suggested dilutionReferenceICC/IF1:100-1:1000* IHC (Formalin-fixed paraffin-embedded sections)1:100-1:1000* Western blot1:500-1:3000*

    说明

    Positive Control: Molt-4

    限制

    仅限研究用
  • 状态

    Liquid

    浓度

    1 mg/mL

    缓冲液

    0.1M Tris, 0.1M Glycine, 10 % Glycerol ( pH 7). 0.01 % Thimerosal was added as a preservative.

    储存液

    Thimerosal (Merthiolate)

    注意事项

    This product contains Thimerosal (Merthiolate): a POISONOUS AND HAZARDOUS SUBSTANCE which should be handled by trained staff only.

    储存条件

    -20 °C

    储存方法

    Keep as concentrated solution. Aliquot and store at -20°C or below. Avoid multiple freeze-thaw cycles.
  • 抗原

    WTAP (Wilms Tumor 1 Associated Protein (WTAP))

    别名

    WTAP

    背景

    The Wilms tumor suppressor gene WT1 appears to play a role in both transcriptional and posttranscriptional regulation of certain cellular genes. This gene encodes a WT1-associating protein, which is a ubiquitously expressed nuclear protein. Like WT1 protein, this protein is localized throughout the nucleoplasm as well as in speckles and partially colocalizes with splicing factors. Alternative splicing of this gene results in three transcript variants, two of which encode the same isoform.

    Cellular Localization: Nucleus , nucleolus

    分子量

    44 kDa

    基因ID

    9589
You are here: