电话:
+86 (0512) 65829739
传真:
+86 (010) 6788 5057
电子邮件:
orders@antibodies-online.cn

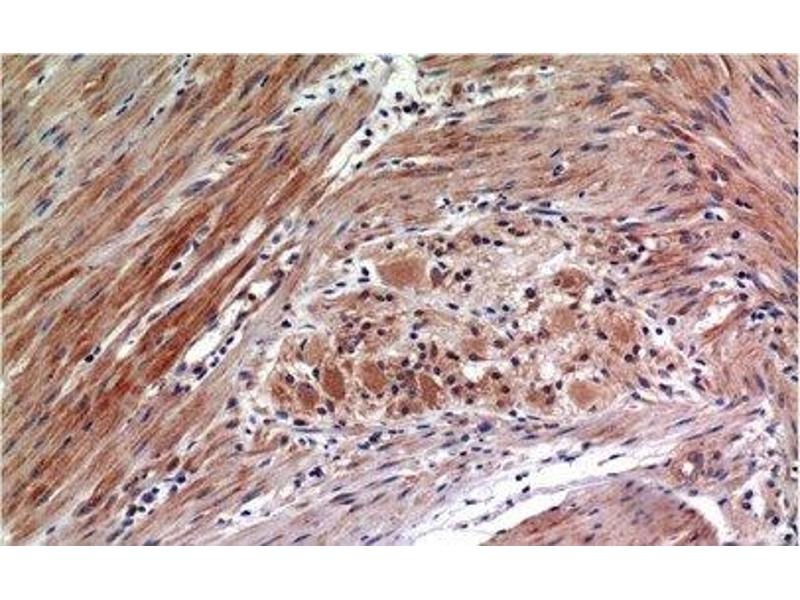
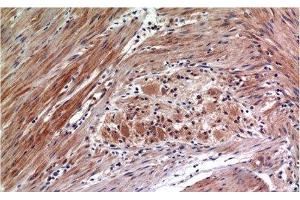
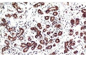
ERK1/2 抗体 (pTyr205, pTyr222)

The 小鼠 单克隆 anti-ERK1/2 antibody (Clone 4D4) (ABIN7250980) specifically detects ERK1/2 in IHC (p). The antibody is reactive with 人, 小鼠 和 大鼠 samples.
产品编号 ABIN7250980
发货至: 中国
Contact our Customer Service for availability and price in your country. Contact Info

Our Local Distributor

中国
北京 101111
No. 88 KeChuang 6th Street
Beijing Economic Technological Development Area
Room 801-803
4A Biotech Co.,Ltd.
Tel +86 (0512) 65829739 传真 +86 (010) 6788 5057

Quick Overview for ERK1/2 抗体 (pTyr205, pTyr222) (ABIN7250980)

抗原

See all ERK1/2 (MAPK1/3) 抗体
ERK1/2 (MAPK1/3) (Mitogen-Activated Protein Kinase 1/3 (MAPK1/3))

适用

  • 213
  • 182
  • 176
  • 21
  • 21
  • 18
  • 6
  • 2
  • 2
  • 2
  • 2
  • 2
  • 1
  • 1
  • 1
  • 1
  • 1
  • 1
  • 1
人, 小鼠, 大鼠

宿主

  • 176
  • 40
  • 3
小鼠

克隆类型

  • 133
  • 86
单克隆

标记

  • 81
  • 13
  • 8
  • 8
  • 8
  • 8
  • 8
  • 8
  • 6
  • 5
  • 5
  • 5
  • 5
  • 5
  • 5
  • 5
  • 5
  • 5
  • 5
  • 5
  • 4
  • 4
  • 4
  • 2
  • 1
  • 1
This ERK1/2 antibody is un-conjugated

应用范围

  • 173
  • 66
  • 59
  • 51
  • 51
  • 42
  • 41
  • 40
  • 35
  • 32
  • 13
  • 3
  • 3
Immunohistochemistry (Paraffin-embedded Sections) (IHC (p))

克隆位点

4D4
  • 抗原表位

    • 66
    • 45
    • 30
    • 30
    • 21
    • 16
    • 12
    • 12
    • 10
    • 4
    • 4
    • 3
    • 3
    • 3
    • 2
    • 2
    • 2
    • 2
    • 1
    • 1
    • 1
    • 1
    • 1
    • 1
    • 1
    • 1
    • 1
    • 1
    • 1
    • 1
    • 1
    • 1
    • 1
    • 1
    pTyr205, pTyr222

    产品特性

    Phosphorylated antibody

    纯化方法

    Protein A purification

    免疫原

    Synthetic Peptide of Phospho-ERK 1/2 (Tyr222/205)

    亚型

    IgG
  • 应用备注

    IHC 1:100-200

    限制

    仅限研究用
  • 状态

    Liquid

    浓度

    1 mg/mL

    缓冲液

    PBS with 0.02 % sodium azide, 0.5 % BSA and 50 % glycerol, pH 7.4

    储存液

    Sodium azide

    注意事项

    This product contains Sodium azide: a POISONOUS AND HAZARDOUS SUBSTANCE which should be handled by trained staff only.

    储存条件

    -20 °C

    储存方法

    Store at -20°C. Avoid freeze / thaw cycles.
  • 抗原

    ERK1/2 (MAPK1/3) (Mitogen-Activated Protein Kinase 1/3 (MAPK1/3))

    别名

    ERK 1/2

    背景

    Involved in both the initiation and regulation of meiosis, mitosis, and postmitotic functions in differentiated cells by phosphorylating a number of transcription factors such as ELK1. Phosphorylates EIF4EBP1, required for initiation of translation. Phosphorylates microtubule-associated protein 2 (MAP2). Phosphorylates SPZ1 (By similarity). Phosphorylates heat shock factor protein 4 (HSF4) and ARHGEF2.Acts as a transcriptional repressor. Binds to a [GC]AAA[GC] consensus sequence. Repress the expression of interferon gamma-induced genes. Seems to bind to the promoter of CCL5, DMP1, IFIH1, IFITM1, IRF7, IRF9, LAMP3, OAS1, OAS2, OAS3 and STAT1. Transcriptional activity is independent of kinase activity.

    UniProt

    P27361, P28482
You are here: