NFKBIB 抗体
Our Local Distributor
北京 101111
Quick Overview for NFKBIB 抗体 (ABIN7249640)
抗原
See all NFKBIB 抗体适用
宿主
克隆类型
标记
应用范围
-
-
产品特性
- Polyclonal Antibody
-
纯化方法
- Affinity purification
-
免疫原
- KLH conjugated Synthetic peptide corresponding to Mouse IKBbeta
-
亚型
- IgG
-
-
-
-
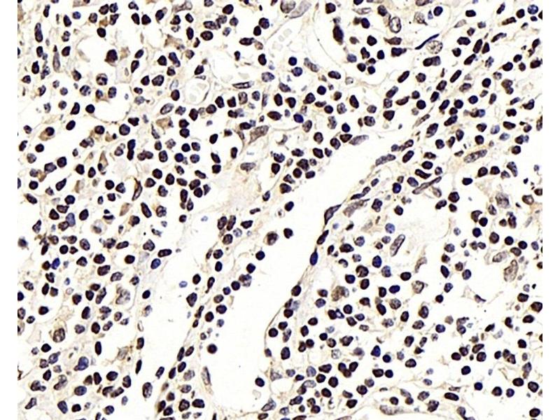
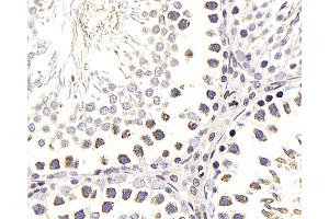
应用备注
- IHC 1:300
-
限制
- 仅限研究用
-
-
-
状态
- Liquid
-
浓度
- 0.66 mg/mL
-
缓冲液
- PBS with 0.02 % sodium azide, 1 % BSA and 50 % glycerol, pH 7.4
-
储存液
- Sodium azide
-
注意事项
- This product contains Sodium azide: a POISONOUS AND HAZARDOUS SUBSTANCE which should be handled by trained staff only.
-
储存条件
- -20 °C
-
储存方法
- Store at -20°C. Avoid freeze / thaw cycles.
-
-
- NFKBIB (NF-kappa-B inhibitor beta (NFKBIB))
-
别名
- NFKBIB
-
背景
- The protein encoded by this gene belongs to the NF-kappa-B inhibitor family, which inhibit NF-kappa-B by complexing with, and trapping it in the cytoplasm. Phosphorylation of serine residues on these proteins by kinases marks them for destruction via the ubiquitination pathway, thereby allowing activation of the NF-kappa-B, which translocates to the nucleus to function as a transcription factor. Alternatively spliced transcript variants have been found for this gene.
-
UniProt
- Q15653, Q60778, Q9JIA3
-
途径
- NF-kappaB Signaling, Activation of Innate immune Response, Maintenance of Protein Location, Toll-Like Receptors Cascades
抗原
-