电话:
+86 (0512) 65829739
传真:
+86 (010) 6788 5057
电子邮件:
orders@antibodies-online.cn

NFKBIB 抗体 (C-Term)

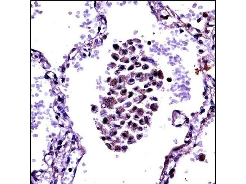
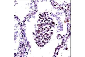
The 兔 多克隆 anti-NFKBIB antibody (Clone RB33912) (ABIN657702) specifically detects NFKBIB in WB 和 IHC (p). The antibody is reactive with 人 samples.
产品编号 ABIN657702
发货至: 中国
Contact our Customer Service for availability and price in your country. Contact Info

Our Local Distributor

中国
北京 101111
No. 88 KeChuang 6th Street
Beijing Economic Technological Development Area
Room 801-803
4A Biotech Co.,Ltd.
Tel +86 (0512) 65829739 传真 +86 (010) 6788 5057

Quick Overview for NFKBIB 抗体 (C-Term) (ABIN657702)

抗原

See all NFKBIB 抗体
NFKBIB (NF-kappa-B inhibitor beta (NFKBIB))

适用

  • 115
  • 36
  • 29
  • 9
  • 8
  • 8
  • 7
  • 5
  • 4
  • 1
  • 1
  • 1

宿主

  • 107
  • 9

克隆类型

  • 87
  • 29
多克隆

标记

  • 60
  • 6
  • 3
  • 3
  • 3
  • 3
  • 3
  • 3
  • 3
  • 3
  • 2
  • 2
  • 2
  • 2
  • 2
  • 2
  • 2
  • 2
  • 2
  • 2
  • 2
  • 1
  • 1
  • 1
  • 1
This NFKBIB antibody is un-conjugated

应用范围

  • 93
  • 39
  • 37
  • 28
  • 27
  • 21
  • 19
  • 17
  • 13
  • 8
  • 3
  • 1
Western Blotting (WB), Immunohistochemistry (Paraffin-embedded Sections) (IHC (p))

克隆位点

RB33912
  • 抗原表位

    • 28
    • 15
    • 7
    • 6
    • 4
    • 3
    • 3
    • 2
    • 2
    • 1
    • 1
    • 1
    • 1
    • 1
    • 1
    • 1
    • 1
    • 1
    • 1
    • 1
    • 1
    • 1
    • 1
    • 1
    • 1
    • 1
    • 1
    AA 326-355, C-Term

    纯化方法

    This antibody is purified through a protein A column, followed by peptide affinity purification.

    免疫原

    This NFKBIB antibody is generated from rabbits immunized with a KLH conjugated synthetic peptide between 326-355 amino acids from the C-terminal region of human NFKBIB.

    亚型

    Ig Fraction
  • 应用备注

    WB: 1:1000. IHC-P: 1:10~50

    限制

    仅限研究用
  • 状态

    Liquid

    缓冲液

    Purified polyclonal antibody supplied in PBS with 0.09 % (W/V) sodium azide.

    储存液

    Sodium azide

    注意事项

    This product contains Sodium azide: a POISONOUS AND HAZARDOUS SUBSTANCE which should be handled by trained staff only.

    储存条件

    4 °C,-20 °C

    储存方法

    NFKBIB Antibody (C-term) can be refrigerated at 2-8 °C for up to 6 months. For long term storage, place the at -20 °C.

    有效期

    6 months
  • 抗原

    NFKBIB (NF-kappa-B inhibitor beta (NFKBIB))

    别名

    NFKBIB

    背景

    NFKB1 (MIM 164011) or NFKB2 (MIM 164012) is bound to REL (MIM 164910), RELA (MIM 164014), or RELB (MIM 604758) to form the NFKB complex. The NFKB complex is inhibited by I-kappa-B proteins (NFKBIA, MIM 164008, or NFKBIB), which inactivate NF-kappa-B by trapping it in the cytoplasm. Phosphorylation of serine residues on the I-kappa-B proteins by kinases (IKBKA, MIM 600664 or IKBKB, MIM 603258) marks them for destruction via the ubiquitination pathway, thereby allowing activation of the NF-kappa-B complex. Activated NFKB complex translocates into the nucleus and binds DNA at kappa-B-binding motifs such as 5-prime GGGRNNYYCC 3-prime or 5-prime HGGARNYYCC 3-prime (where H is A, C, or T, R is an A or G purine, and Y is a C or T pyrimidine).

    分子量

    37771

    基因ID

    4793

    NCBI登录号

    NP_001230045, NP_002494

    UniProt

    Q15653

    途径

    NF-kappaB Signaling, Activation of Innate immune Response, Maintenance of Protein Location, Toll-Like Receptors Cascades
You are here: