IGF1 抗体 (AA 33-102)
Our Local Distributor
北京 101111
Quick Overview for IGF1 抗体 (AA 33-102) (ABIN7429310)
抗原
See all IGF1 抗体适用
宿主
克隆类型
标记
应用范围
-
-
抗原表位
- AA 33-102
-
原理
- Polyclonal Antibody to Insulin Like Growth Factor 1 (IGF1)
-
特异性
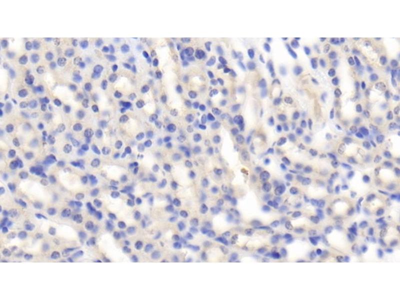
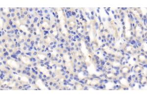
- The antibody is a rabbit polyclonal antibody raised against IGF1. It has been selected for its ability to recognize IGF1 in immunohistochemical staining and western blotting.
-
交叉反应
- 大鼠
-
纯化方法
- Antigen-specific affinity chromatography followed by Protein A affinity chromatography
-
免疫原
- Recombinant Insulin Like Growth Factor 1 (IGF1) corresdonding to Gly33~Ala102 with N-terminal His Tag
-
亚型
- IgG
-
-
-
-
应用备注
- Western blotting: 0.01-2 μg/mL,Immunohistochemistry: 5-20 μg/mL,Immunocytochemistry: 5-20 μg/mL,Optimal working dilutions must be determined by end user.
-
说明
-
The thermal stability is described by the loss rate. The loss rate was determined by accelerated thermal degradation test, that is, incubate the protein at 37°C for 48h, and no obvious degradation and precipitation were observed. The loss rate is less than 5% within the expiration date under appropriate storage condition.
-
限制
- 仅限研究用
-
-
-
状态
- Liquid
-
浓度
- 0.5 mg/mL
-
缓冲液
- PBS, pH 7.4, containing 0.02 % Sodium azide, 50 % glycerol.
-
储存液
- Sodium azide
-
注意事项
- This product contains Sodium azide: a POISONOUS AND HAZARDOUS SUBSTANCE which should be handled by trained staff only.
-
储存条件
- 4 °C,-20 °C
-
储存方法
- Store at 4°C for frequent use. Stored at -20°C in a manual defrost freezer for two year without detectable loss of activity. Avoid repeated freeze-thaw cycles.
-
有效期
- 24 months
-
-
- IGF1 (Insulin-Like Growth Factor 1 (IGF1))
-
别名
- IGF1
-
背景
- IGFI, IGF1A, IBP1, MGF, Somatomedin C, Mechano Growth Gactor
-
UniProt
- Q8CAR0
-
途径
- RTK signaling, Intracellular Steroid Hormone Receptor Signaling Pathway, Peptide Hormone Metabolism, Hormone Activity, Regulation of Intracellular Steroid Hormone Receptor Signaling, Regulation of Hormone Metabolic Process, Regulation of Hormone Biosynthetic Process, Stem Cell Maintenance, Glycosaminoglycan Metabolic Process, Regulation of Carbohydrate Metabolic Process, Autophagy, Smooth Muscle Cell Migration, Activated T Cell Proliferation, Positive Regulation of fat Cell Differentiation
抗原
-