电话:
+86 (0512) 65829739
传真:
+86 (010) 6788 5057
电子邮件:
orders@antibodies-online.cn

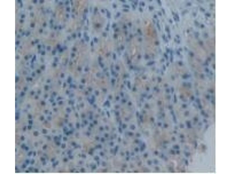
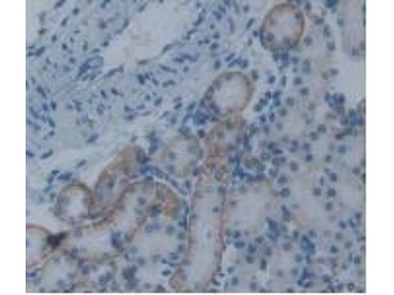
SERPINB2 抗体 (AA 154-408)

The 小鼠 单克隆 anti-SERPINB2 antibody (Clone A10) (ABIN7427369) specifically detects SERPINB2 in WB, IHC, IP 和 ICC. The antibody is reactive with 大鼠 samples.
产品编号 ABIN7427369
发货至: 中国
Contact our Customer Service for availability and price in your country. Contact Info

Our Local Distributor

中国
北京 101111
No. 88 KeChuang 6th Street
Beijing Economic Technological Development Area
Room 801-803
4A Biotech Co.,Ltd.
Tel +86 (0512) 65829739 传真 +86 (010) 6788 5057

Quick Overview for SERPINB2 抗体 (AA 154-408) (ABIN7427369)

抗原

See all SERPINB2 抗体
SERPINB2 (Plasminogen Activator Inhibitor 2 (SERPINB2))

适用

  • 52
  • 12
  • 9
  • 3
  • 3
  • 2
  • 2
  • 2
  • 2
  • 1
大鼠

宿主

  • 50
  • 9
  • 1
  • 1
小鼠

克隆类型

  • 53
  • 7
单克隆

标记

  • 34
  • 4
  • 3
  • 3
  • 1
  • 1
  • 1
  • 1
  • 1
  • 1
  • 1
  • 1
  • 1
  • 1
  • 1
  • 1
  • 1
  • 1
  • 1
  • 1
  • 1
This SERPINB2 antibody is un-conjugated

应用范围

  • 33
  • 20
  • 16
  • 13
  • 13
  • 8
  • 7
  • 7
  • 4
  • 4
  • 2
  • 1
  • 1
  • 1
Western Blotting (WB), Immunohistochemistry (IHC), Immunoprecipitation (IP), Immunocytochemistry (ICC)

克隆位点

A10
  • 抗原表位

    • 15
    • 6
    • 4
    • 4
    • 3
    • 2
    • 2
    • 2
    • 1
    • 1
    • 1
    • 1
    • 1
    • 1
    • 1
    • 1
    AA 154-408

    原理

    Monoclonal Antibody to Plasminogen Activator Inhibitor 2 (PAI2)

    特异性

    The antibody is a mouse monoclonal antibody raised against PAI2. It has been selected for its ability to recognize PAI2 in immunohistochemical staining and western blotting.

    纯化方法

    Protein A + Protein G affinity chromatography

    免疫原

    Recombinant Plasminogen Activator Inhibitor 2 (PAI2) corresdonding to Pro154~Leu408 (Accession # P29524)

    亚型

    IgG2a kappa
  • 应用备注

    Western blotting: 0.01-2 μg/mL,Immunohistochemistry: 5-30 μg/mL,Immunocytochemistry: 5-20 μg/mL,Optimal working dilutions must be determined by end user.

    说明

    The thermal stability is described by the loss rate. The loss rate was determined by accelerated thermal degradation test, that is, incubate the protein at 37°C for 48h, and no obvious degradation and precipitation were observed. The loss rate is less than 5% within the expiration date under appropriate storage condition.

    限制

    仅限研究用
  • 状态

    Liquid

    浓度

    1 mg/mL

    缓冲液

    0.01M PBS, pH 7.4, containing 0.05 % Proclin-300, 50 % glycerol.

    储存液

    ProClin

    注意事项

    This product contains ProClin: a POISONOUS AND HAZARDOUS SUBSTANCE which should be handled by trained staff only.

    储存条件

    4 °C,-20 °C

    储存方法

    Store at 4°C for frequent use. Stored at -20°C in a manual defrost freezer for two year without detectable loss of activity. Avoid repeated freeze-thaw cycles.

    有效期

    24 months
  • 抗原

    SERPINB2 (Plasminogen Activator Inhibitor 2 (SERPINB2))

    别名

    PAI2

    物质类

    Amino Acid

    背景

    SERPINB2, PLANH2, Serpin Peptidase Inhibitor Clade B Member 2, Monocyte Arg-serpin, Placental plasminogen activator inhibitor, Serpin B2, Urokinase inhibitor

    UniProt

    P29524

    途径

    Autophagy
You are here: