电话:
+86 (0512) 65829739
传真:
+86 (010) 6788 5057
电子邮件:
orders@antibodies-online.cn

SPTA1 抗体 (AA 356-475)

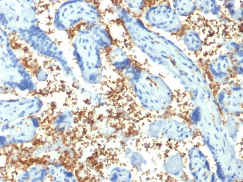
The 小鼠 单克隆 anti-SPTA1 antibody is suitable to detect SPTA1 in samples from 人. It has been validated for IHC 和 ELISA.
产品编号 ABIN6940643
发货至: 中国
Contact our Customer Service for availability and price in your country. Contact Info

Our Local Distributor

中国
北京 101111
No. 88 KeChuang 6th Street
Beijing Economic Technological Development Area
Room 801-803
4A Biotech Co.,Ltd.
Tel +86 (0512) 65829739 传真 +86 (010) 6788 5057

Quick Overview for SPTA1 抗体 (AA 356-475) (ABIN6940643)

抗原

See all SPTA1 抗体
SPTA1 (Spectrin alpha 1, Erythrocytic (SPTA1))

适用

  • 81
  • 22
  • 14
  • 1
  • 1
  • 1
  • 1

宿主

  • 46
  • 36
小鼠

克隆类型

  • 68
  • 14
单克隆

标记

  • 25
  • 7
  • 4
  • 4
  • 4
  • 4
  • 4
  • 4
  • 4
  • 3
  • 3
  • 3
  • 3
  • 3
  • 3
  • 2
  • 2
This SPTA1 antibody is un-conjugated

应用范围

  • 63
  • 59
  • 36
  • 14
  • 11
  • 11
  • 8
  • 3
  • 2
  • 1
  • 1
Immunohistochemistry (IHC), ELISA

克隆位点

SPTA1-1810
  • 抗原表位

    • 43
    • 1
    • 1
    • 1
    • 1
    • 1
    AA 356-475

    原理

    Spectrin Alpha 1 (Erythrocyte Marker) Antibody

    特异性

    Spectrin is an actin crosslinking and molecular scaffold protein that links the plasma membrane to the actin cytoskeleton, and functions in the determination of cell shape, arrangement of transmembrane proteins, and organization of organelles. Spectrins function as membrane organizers and stabilizers, composed of non-homologous ) are present in other somatic cells. The spectrin tetramers in erythrocytes act as barriers to lateral diffusion, but spectrin dimers seem to lack this function.

    纯化方法

    200ug/ml of Ab Purified from Bioreactor Concentrate by Protein A/G.

    免疫原

    Recombinant human SPTA fragment (around aa356-475) (exact sequence is proprietary)

    亚型

    IgG2c, kappa
  • 应用备注

    Positive Control: Jurkat cells. Placenta or Tonsil.

    Known Application: ELISA (Use Ab at 2-4 μg/mL for coating) (Order Ab without BSA), Immunohistochemistry (Formalin-fixed) (1-2 μg/mL for 30 minutes at RT) (Staining of formalin-fixed tissues requires boiling tissue sections in 10 mM citrate buffer, pH 6.0, for 10-20 min followed by cooling at RT for 20 minutes)Optimal dilution for a specific application should be determined.

    限制

    仅限研究用
  • 浓度

    200 μg/mL

    缓冲液

    Prepared in 10 mM PBS with 0.05 % BSA & 0.05 % azide.

    储存液

    Sodium azide

    注意事项

    This product contains Sodium azide: a POISONOUS AND HAZARDOUS SUBSTANCE which should be handled by trained staff only.

    储存条件

    4 °C

    储存方法

    Antibody with azide - store at 2 to 8°C. Antibody without azide - store at -20 to -80°C. Antibody is stable for 24 months. Non-hazardous. No MSDS required.

    有效期

    24 months
  • 抗原

    SPTA1 (Spectrin alpha 1, Erythrocytic (SPTA1))

    别名

    SPTA1

    背景

    Alpha I spectrin, Elliptocytosis 2 (EL2), Erythrocyte alpha spectrin, Erythroid alpha-spectrin, HPP, HS3, Spectrin alpha erythrocytic 1, SPH3, SPTA1

    Jurkat cells. Placenta or Tonsil.

    分子量

    240kDa

    基因ID

    6708, 119825

    UniProt

    P02549

    途径

    Regulation of Actin Filament Polymerization
You are here: