电话:
+86 (0512) 65829739
传真:
+86 (010) 6788 5057
电子邮件:
orders@antibodies-online.cn

MUC5AC 抗体

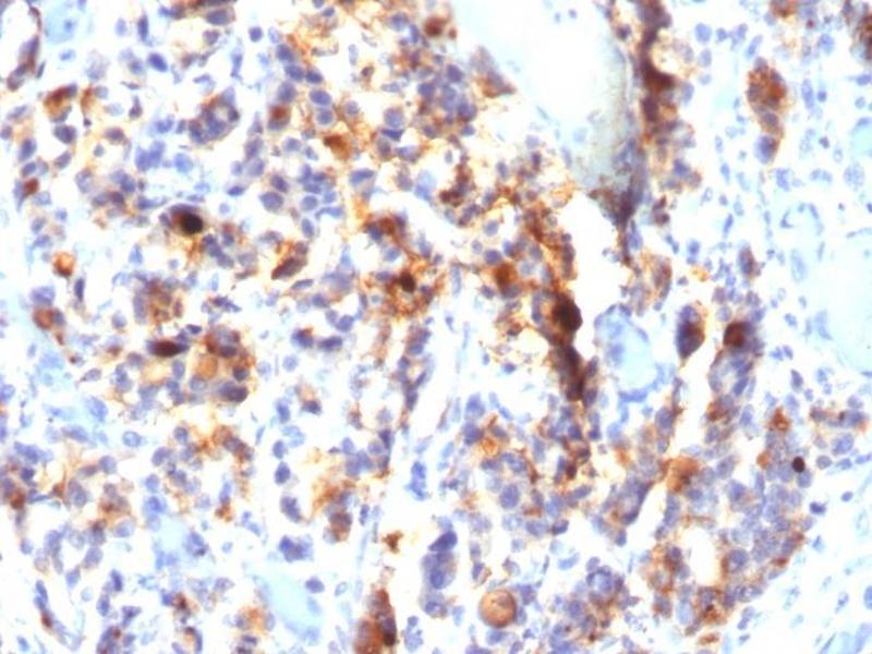
The 小鼠 单克隆 anti-MUC5AC antibody (Clone SPM297) (ABIN6940129) specifically detects MUC5AC in IHC, IF, FACS 和 StM. The antibody is reactive with 人, 小鼠, 大鼠, 猴, Cat, 兔, 小鸡, Pig 和 Hedgehog samples.
产品编号 ABIN6940129
发货至: 中国
Contact our Customer Service for availability and price in your country. Contact Info

Our Local Distributor

中国
北京 101111
No. 88 KeChuang 6th Street
Beijing Economic Technological Development Area
Room 801-803
4A Biotech Co.,Ltd.
Tel +86 (0512) 65829739 传真 +86 (010) 6788 5057

Quick Overview for MUC5AC 抗体 (ABIN6940129)

抗原

See all MUC5AC 抗体
MUC5AC (Mucin 5AC, Oligomeric Mucus/gel-Forming (MUC5AC))

适用

  • 142
  • 79
  • 66
  • 39
  • 38
  • 37
  • 35
  • 24
  • 23
  • 16
  • 1
  • 1
人, 小鼠, 大鼠, 猴, Cat, 兔, 小鸡, Pig, Hedgehog

宿主

  • 82
  • 82
  • 1
小鼠

克隆类型

  • 103
  • 61
  • 1
单克隆

标记

  • 71
  • 18
  • 9
  • 4
  • 4
  • 4
  • 4
  • 4
  • 4
  • 4
  • 3
  • 3
  • 3
  • 3
  • 3
  • 3
  • 2
  • 2
  • 2
  • 2
  • 2
  • 1
  • 1
  • 1
  • 1
  • 1
  • 1
  • 1
  • 1
  • 1
  • 1
  • 1
This MUC5AC antibody is un-conjugated

应用范围

  • 87
  • 85
  • 51
  • 37
  • 31
  • 29
  • 22
  • 19
  • 18
  • 18
  • 13
  • 13
  • 12
  • 12
  • 5
  • 4
  • 2
  • 2
  • 1
  • 1
Immunohistochemistry (IHC), Immunofluorescence (IF), Flow Cytometry (FACS), Staining Methods (StM)

克隆位点

SPM297
  • 特异性

    This MAb recognizes the peptide core of gastric mucin M1 (1,000 kDa) (recently identified as Mucin 5AC). Its epitope is destroyed by beta-mercaptoethanol and proteases but not by periodate treatment. Antibody to gastric mucin M1 reacts with the gastric epithelium of normal human gastrointestinal tract as well as with the precancerous and cancerous colon but not with normal adult colon. It also reacts with fetal colonic mucosa. Resurgence of gastric mucin reactivity during colonic carcinogenesis is due to re-expression of the peptide core of gastric (or fetal colonic) mucins.

    无交叉反应

    纯化方法

    Purified by Protein A/G

    免疫原

    M1 mucin preparation from the fluid of an ovarian mucinous cyst belonging to an O Le(a-b) patient

    亚型

    IgG1 kappa
  • 应用备注

    Positive Control: Human colon or stomach (IHC).

    Known Application: Flow Cytometry (0.5-1 μg/million cells), Immunofluorescence (1-2 μg/mL), Immunohistochemistry (Formalin-fixed) (0.5-1 μg/mL for 30 minutes at RT)(Staining of formalin-fixed tissues requires boiling tissue sections in 10 mM citrate buffer, pH 6.0, for 10-20 min followed by cooling at RT for 20 minutes)Optimal dilution for a specific application should be determined.

    限制

    仅限研究用
  • 浓度

    200 μg/mL

    缓冲液

    10 mM PBS with 0.05 % BSA & 0.05 % azide.

    储存液

    Sodium azide

    注意事项

    This product contains Sodium azide: a POISONOUS AND HAZARDOUS SUBSTANCE which should be handled by trained staff only.

    储存条件

    4 °C,-80 °C

    储存方法

    Antibody with azide - store at 2 to 8°C. Antibody without azide - store at -20 to -80°C. Antibody is stable for 24 months. Non-hazardous. No MSDS required.

    有效期

    24 months
  • 抗原

    MUC5AC (Mucin 5AC, Oligomeric Mucus/gel-Forming (MUC5AC))

    别名

    MUC5AC

    分子量

    >1,000kDa

    基因ID

    4586

    UniProt

    P98088
You are here: