电话:
+86 (0512) 65829739
传真:
+86 (010) 6788 5057
电子邮件:
orders@antibodies-online.cn

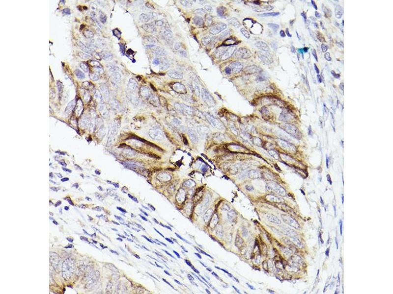
MUC5AC 抗体 (C-Term)

The 兔 多克隆 anti-MUC5AC antibody (ABIN7268694) specifically detects MUC5AC in WB, IHC 和 IF. The antibody is reactive with 人 samples.
产品编号 ABIN7268694
发货至: 中国
Contact our Customer Service for availability and price in your country. Contact Info

Our Local Distributor

中国
北京 101111
No. 88 KeChuang 6th Street
Beijing Economic Technological Development Area
Room 801-803
4A Biotech Co.,Ltd.
Tel +86 (0512) 65829739 传真 +86 (010) 6788 5057

Quick Overview for MUC5AC 抗体 (C-Term) (ABIN7268694)

抗原

See all MUC5AC 抗体
MUC5AC (Mucin 5AC, Oligomeric Mucus/gel-Forming (MUC5AC))

适用

  • 142
  • 80
  • 67
  • 40
  • 39
  • 38
  • 36
  • 25
  • 24
  • 16
  • 1
  • 1

宿主

  • 83
  • 81
  • 1

克隆类型

  • 104
  • 60
  • 1
多克隆

标记

  • 71
  • 18
  • 9
  • 4
  • 4
  • 4
  • 4
  • 4
  • 4
  • 4
  • 3
  • 3
  • 3
  • 3
  • 3
  • 3
  • 2
  • 2
  • 2
  • 2
  • 2
  • 1
  • 1
  • 1
  • 1
  • 1
  • 1
  • 1
  • 1
  • 1
  • 1
  • 1
This MUC5AC antibody is un-conjugated

应用范围

  • 87
  • 84
  • 51
  • 37
  • 31
  • 30
  • 22
  • 19
  • 18
  • 18
  • 13
  • 13
  • 12
  • 12
  • 5
  • 4
  • 3
  • 2
  • 1
  • 1
Western Blotting (WB), Immunohistochemistry (IHC), Immunofluorescence (IF)
  • 抗原表位

    • 15
    • 7
    • 5
    • 3
    • 3
    • 3
    • 3
    • 3
    • 3
    • 3
    • 3
    • 2
    • 2
    • 2
    • 1
    • 1
    • 1
    C-Term

    原理

    MUC5A Rabbit pAb

    序列

    PLSCSLDEAR MSKDGCCRFC PPPPPPYQNQ STCAVYHRSL IIQQQGCSSS EPVRLAYCRG NCGDSSSMYS LEGNTVEHRC QCCQELRTSL RNVTLHCTDG SSRAFSYTEV EECGCMGRRC PAPGDTQHSE EAEPEPSQEA ESGSWERGVP VSPMH

    交叉反应

    人, 小鼠, 大鼠

    产品特性

    Polyclonal Antibodies

    纯化方法

    Affinity purification

    免疫原

    A synthetic peptide corresponding to a sequence within amino acids 5500 to the C-terminus of human MUC5A (NP_001291288.1).

    亚型

    IgG
  • 应用备注

    WB,1:500 - 1:2000,IHC,1:50 - 1:200,IF,1:50 - 1:200

    限制

    仅限研究用
  • 状态

    Liquid

    缓冲液

    PBS with 0.02 % sodium azide,50 % glycerol, pH 7.3.

    储存液

    Sodium azide

    注意事项

    This product contains Sodium azide: a POISONOUS AND HAZARDOUS SUBSTANCE which should be handled by trained staff only.

    储存条件

    -20 °C

    储存方法

    Store at -20°C. Avoid freeze / thaw cycles.
  • 抗原

    MUC5AC (Mucin 5AC, Oligomeric Mucus/gel-Forming (MUC5AC))

    别名

    MUC5AC

    背景

    Gel-forming glycoprotein of gastric and respiratory tract epithelia that protects the mucosa from infection and chemical damage by binding to inhaled microorganisms and particles that are subsequently removed by the mucociliary system. Interacts with H.pylori in the gastric epithelium, Barrett's esophagus as well as in gastric metaplasia of the duodenum (GMD.,MUC5AC,MUC5,TBM,leB,mucin,mucin-5AC,MUC5A,Cancer,Tumor immunology,Tumor-associated antigens,Tumor biomarkers,Invasion and Metastasis,Signal Transduction,Cell Biology & Developmental Biology,Cytoskeleton,Extracellular Matrix,Immunology & Inflammation,MUC5AC

    分子量

    585kDa

    基因ID

    4586

    UniProt

    P98088
You are here: