电话:
+86 (0512) 65829739
传真:
+86 (010) 6788 5057
电子邮件:
orders@antibodies-online.cn

Recombinant HSPD1 抗体

The 小鼠 单克隆 anti-HSPD1 antibody (Clone rGROEL-780) (ABIN6939669) specifically detects HSPD1 in WB 和 IHC. The antibody is reactive with 人 samples.
产品编号 ABIN6939669
发货至: 中国
Contact our Customer Service for availability and price in your country. Contact Info

Our Local Distributor

中国
北京 101111
No. 88 KeChuang 6th Street
Beijing Economic Technological Development Area
Room 801-803
4A Biotech Co.,Ltd.
Tel +86 (0512) 65829739 传真 +86 (010) 6788 5057

Quick Overview for Recombinant HSPD1 抗体 (ABIN6939669)

抗原

See all HSPD1 抗体
HSPD1 (Heat Shock 60kDa Protein 1 (Chaperonin) (HSPD1))

抗体类型

Recombinant Antibody

适用

  • 278
  • 173
  • 168
  • 104
  • 102
  • 99
  • 92
  • 89
  • 89
  • 88
  • 67
  • 51
  • 47
  • 37
  • 26
  • 24
  • 22
  • 17
  • 16
  • 13
  • 12
  • 10
  • 10
  • 10
  • 10
  • 9
  • 4
  • 4
  • 4
  • 4
  • 4
  • 4
  • 3
  • 3
  • 2
  • 2
  • 2
  • 1
  • 1
  • 1
  • 1
  • 1
  • 1
  • 1

宿主

  • 157
  • 149
  • 2
小鼠

克隆类型

  • 196
  • 110
单克隆

标记

  • 145
  • 23
  • 10
  • 7
  • 7
  • 7
  • 7
  • 7
  • 7
  • 7
  • 7
  • 7
  • 7
  • 7
  • 6
  • 6
  • 6
  • 4
  • 4
  • 4
  • 4
  • 4
  • 4
  • 4
  • 3
  • 2
  • 2
This HSPD1 antibody is un-conjugated

应用范围

  • 258
  • 188
  • 119
  • 110
  • 68
  • 66
  • 45
  • 36
  • 23
  • 17
  • 16
  • 11
  • 4
  • 3
  • 3
  • 2
  • 2
  • 1
  • 1
  • 1
  • 1
  • 1
Western Blotting (WB), Immunohistochemistry (IHC)

克隆位点

RGROEL-780
  • 原理

    Recombinant HSP60 (Heat Shock Protein 60) (Mitochondrial Marker) Antibody

    特异性

    Recognizes a 60 kDa protein, identified as the heat shock protein 60 (hsp60). Its epitope is localized between aa 383-447 of human hsp60. A wide variety of environmental and pathophysiological stressful conditions trigger the synthesis of a family of proteins known as heat shock proteins (hsp's), more appropriately called as stress response proteins (srp's). hsp60 is a potential antigen in a number of autoimmune diseases. In human arthritis and in experimentally induced arthritis in animals, disease development coincides with the development of immune reactivity directed against not only bacterial hsp60, but also against its mammalian homolog. Clone rGROEL/780, unlike LK2, recognizes only the mammalian (not bacterial) hsp60 and is useful in distinguishing hsp60 from mammals and bacteria.

    无交叉反应

    Bacteria, Nematode, Spinach (Spinacia oleracea)

    纯化方法

    200ug/ml of Ab Purified from Bioreactor Concentrate by Protein A/G.

    免疫原

    Recombinant full-length human HSP60 protein

    亚型

    IgG1, kappa
  • 应用备注

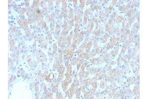
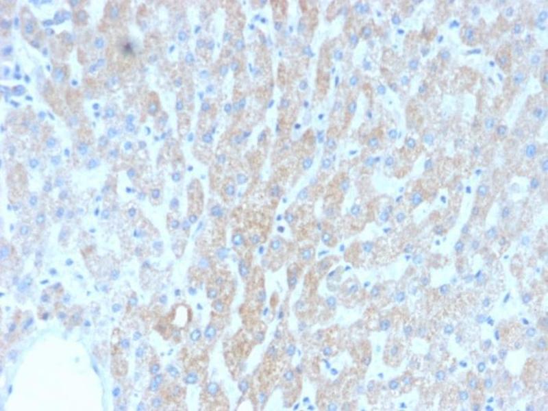
    Positive Control: HeLa or HepG2 cells. Synovial biopsies from patients with juvenile chronic arthritis. Synovial lining layer is strongly positive for hsp60. Breast carcinoma.

    Known Application: Western Blot (0.25-0.5 μg/mL), Immunohistochemistry (Formalin-fixed) (0.5-1 μg/mL for 30 minutes at RT)(Staining of formalin-fixed tissues is enhanced by boiling tissue sections in 10 mM Citrate Buffer, pH 6.0, for 10-20 min followed by cooling at RT for 20 minutes)Optimal dilution for a specific application should be determined.

    限制

    仅限研究用
  • 浓度

    200 μg/mL

    缓冲液

    Prepared in 10 mM PBS with 0.05 % BSA & 0.05 % azide.

    储存液

    Sodium azide

    注意事项

    This product contains Sodium azide: a POISONOUS AND HAZARDOUS SUBSTANCE which should be handled by trained staff only.

    储存条件

    4 °C

    储存方法

    Antibody with azide - store at 2 to 8°C. Antibody is stable for 24 months. Non-hazardous. No MSDS required.

    有效期

    24 months
  • 抗原

    HSPD1 (Heat Shock 60kDa Protein 1 (Chaperonin) (HSPD1))

    别名

    HSPD1

    背景

    60 kDa chaperonin, 60 kDa heat shock protein mitochondrial, Chaperonin, 60-KD (CPN60), GROEL, HLD4, HSP65, HSPD1, HuCHA60, Mitochondrial matrix protein P1, P60 lymphocyte protein, Short heat shock protein 60 Hsp60s1, Spastic paraplegia 13 (SPG13)

    HeLa or HepG2 cells. Synovial biopsies from patients with juvenile chronic arthritis. Synovial lining layer is strongly positive for hsp60. Breast carcinoma. Brain, Kidney, Liver, Jurkat.

    分子量

    60kDa

    基因ID

    3329, 595053

    UniProt

    P10809

    途径

    Activation of Innate immune Response, Regulation of Leukocyte Mediated Immunity, Positive Regulation of Immune Effector Process, Production of Molecular Mediator of Immune Response, Positive Regulation of Endopeptidase Activity
You are here: