HSPD1 抗体
Our Local Distributor
北京 101111
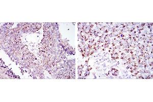
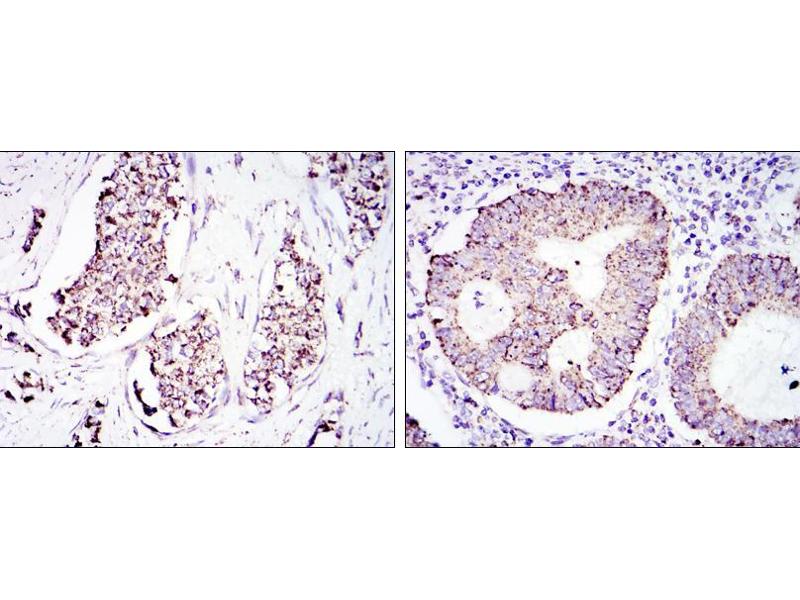
Quick Overview for HSPD1 抗体 (ABIN969200)
抗原
See all HSPD1 抗体适用
宿主
克隆类型
标记
应用范围
克隆位点
-
-
原理
- HSP60 Antibody
-
纯化方法
- Ascitic fluid
-
免疫原
- Purified recombinant fragment of human HSP60 expressed in E. Coli.
-
亚型
- IgG1
-
-
-
-
应用备注
-
ELISA: 1/10000
FCM: 1/200 - 1/400
ICC: 1/200 - 1/1000
-
限制
- 仅限研究用
-
-
-
状态
- Liquid
-
缓冲液
- Ascitic fluid containing 0.03 % sodium azide.
-
储存液
- Sodium azide
-
注意事项
- This product contains Sodium azide: a POISONOUS AND HAZARDOUS SUBSTANCE which should be handled by trained staff only.
-
储存条件
- 4 °C,-20 °C
-
储存方法
- Store at 4°C short term. Aliquot and store at -20°C long term. Avoid freeze/thaw cycles.
-
-
-
: "Serum levels of antibodies to Chlamydia pneumoniae and human HSP60 in giant cell arteritis patients." in: Clinical and experimental rheumatology, Vol. 26, Issue 6, pp. 1107-10, (2009) (PubMed).
: "Heat shock proteins 27, 60 and 70 as prognostic markers of prostate cancer." in: APMIS : acta pathologica, microbiologica, et immunologica Scandinavica, Vol. 116, Issue 10, pp. 888-95, (2009) (PubMed).
-
-
- HSPD1 (Heat Shock 60kDa Protein 1 (Chaperonin) (HSPD1))
-
别名
- HSP60
-
背景
- This gene encodes a member of the chaperonin family. The encoded mitochondrial protein may function as a signaling molecule in the innate immune system. This protein is essential for the folding and assembly of newly imported proteins in the mitochondria. This gene is adjacent to a related family member and the region between the 2 genes functions as a bidirectional promoter. Several pseudogenes have been associated with this gene. Two transcript variants encoding the same protein have been identified for this gene. Mutations associated with this gene cause autosomal recessive spastic paraplegia 13. (provided by RefSeq)
-
分子量
- 61 kDa
-
基因ID
- 3329
-
UniProt
- P10809
-
途径
- Activation of Innate immune Response, Regulation of Leukocyte Mediated Immunity, Positive Regulation of Immune Effector Process, Production of Molecular Mediator of Immune Response, Positive Regulation of Endopeptidase Activity
抗原
-