电话:
+86 (0512) 65829739
传真:
+86 (010) 6788 5057
电子邮件:
orders@antibodies-online.cn

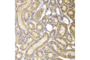
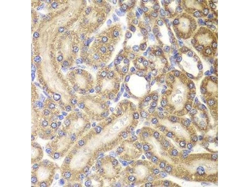
HSPD1 抗体 (AA 27-240)

Cited in 1 publication. The 兔 多克隆 anti-HSPD1 antibody (ABIN3021182) specifically detects HSPD1 in WB, IHC, IF 和 IP. The antibody is reactive with 人 samples.
产品编号 ABIN3021182
发货至: 中国
Contact our Customer Service for availability and price in your country. Contact Info

Our Local Distributor

中国
北京 101111
No. 88 KeChuang 6th Street
Beijing Economic Technological Development Area
Room 801-803
4A Biotech Co.,Ltd.
Tel +86 (0512) 65829739 传真 +86 (010) 6788 5057

Quick Overview for HSPD1 抗体 (AA 27-240) (ABIN3021182)

抗原

See all HSPD1 抗体
HSPD1 (Heat Shock 60kDa Protein 1 (Chaperonin) (HSPD1))

适用

  • 278
  • 174
  • 169
  • 105
  • 103
  • 100
  • 93
  • 90
  • 90
  • 89
  • 68
  • 51
  • 48
  • 38
  • 26
  • 24
  • 22
  • 17
  • 16
  • 13
  • 12
  • 10
  • 10
  • 10
  • 10
  • 9
  • 4
  • 4
  • 4
  • 4
  • 4
  • 4
  • 3
  • 3
  • 2
  • 2
  • 2
  • 1
  • 1
  • 1
  • 1
  • 1
  • 1
  • 1

宿主

  • 156
  • 150
  • 2

克隆类型

  • 197
  • 109
多克隆

标记

  • 145
  • 23
  • 10
  • 7
  • 7
  • 7
  • 7
  • 7
  • 7
  • 7
  • 7
  • 7
  • 7
  • 7
  • 6
  • 6
  • 6
  • 4
  • 4
  • 4
  • 4
  • 4
  • 4
  • 4
  • 3
  • 2
  • 2
This HSPD1 antibody is un-conjugated

应用范围

  • 258
  • 188
  • 118
  • 110
  • 67
  • 66
  • 45
  • 36
  • 23
  • 18
  • 16
  • 11
  • 4
  • 3
  • 3
  • 2
  • 2
  • 2
  • 1
  • 1
  • 1
  • 1
Western Blotting (WB), Immunohistochemistry (IHC), Immunofluorescence (IF), Immunoprecipitation (IP)
  • 抗原表位

    • 15
    • 13
    • 9
    • 4
    • 4
    • 3
    • 3
    • 2
    • 2
    • 2
    • 2
    • 2
    • 1
    • 1
    • 1
    • 1
    • 1
    • 1
    • 1
    • 1
    • 1
    • 1
    • 1
    • 1
    • 1
    • 1
    • 1
    • 1
    • 1
    • 1
    • 1
    • 1
    • 1
    • 1
    • 1
    • 1
    AA 27-240

    序列

    AKDVKFGADA RALMLQGVDL LADAVAVTMG PKGRTVIIEQ SWGSPKVTKD GVTVAKSIDL KDKYKNIGAK LVQDVANNTN EEAGDGTTTA TVLARSIAKE GFEKISKGAN PVEIRRGVML AVDAVIAELK KQSKPVTTPE EIAQVATISA NGDKEIGNII SDAMKKVGRK GVITVKDGKT LNDELEIIEG MKFDRGYISP YFINTSKGQK CEFQ

    交叉反应

    人, 小鼠, 大鼠

    产品特性

    Polyclonal Antibodies

    纯化方法

    Affinity purification

    免疫原

    Recombinant fusion protein containing a sequence corresponding to amino acids 27-240 of human HSP60/HSPD1 (NP_002147.2).

    亚型

    IgG
  • 应用备注

    WB,1:500 - 1:2000,IHC,1:50 - 1:200,IF,1:50 - 1:100,IP,1:50 - 1:200

    限制

    仅限研究用
  • 状态

    Liquid

    缓冲液

    PBS with 0.02 % sodium azide,50 % glycerol, pH 7.3.

    储存液

    Sodium azide

    注意事项

    This product contains Sodium azide: a POISONOUS AND HAZARDOUS SUBSTANCE which should be handled by trained staff only.

    注意事项

    Avoid freeze / thaw cycles

    储存条件

    -20 °C

    储存方法

    Store at -20°C. Avoid freeze / thaw cycles.
  • Wang, Yu, Wang, Li, Li, Wang, Song, Chu, Li: "Gold-nanorods-siRNA nanoplex for improved photothermal therapy by gene silencing." in: Biomaterials, Vol. 78, pp. 27-39, (2016) (PubMed).

  • 抗原

    HSPD1 (Heat Shock 60kDa Protein 1 (Chaperonin) (HSPD1))

    别名

    HSPD1

    背景

    This gene encodes a member of the chaperonin family. The encoded mitochondrial protein may function as a signaling molecule in the innate immune system. This protein is essential for the folding and assembly of newly imported proteins in the mitochondria. This gene is adjacent to a related family member and the region between the 2 genes functions as a bidirectional promoter. Several pseudogenes have been associated with this gene. Two transcript variants encoding the same protein have been identified for this gene. Mutations associated with this gene cause autosomal recessive spastic paraplegia 13.,HSPD1,CPN60,GROEL,HLD4,HSP-60,HSP60,HSP65,HuCHA60,SPG13,Hsp60,Epigenetics & Nuclear Signaling,RNA Binding,Signal Transduction,Cell Biology & Developmental Biology,Apoptosis,Mitochondrial Control of Apoptosis,Endocrine & Metabolism,Mitochondrial metabolism,HSPD1

    分子量

    17 kDa/61 kDa

    基因ID

    3329

    UniProt

    P10809

    途径

    Activation of Innate immune Response, Regulation of Leukocyte Mediated Immunity, Positive Regulation of Immune Effector Process, Production of Molecular Mediator of Immune Response, Positive Regulation of Endopeptidase Activity
You are here: