MAPK14 抗体
Our Local Distributor
北京 101111
Quick Overview for MAPK14 抗体 (ABIN6939188)
抗原
See all MAPK14 抗体适用
宿主
克隆类型
标记
应用范围
克隆位点
-
-
纯化方法
- Purified by Protein A/G
-
免疫原
- Recombinant human full length protein
-
亚型
- IgG1 kappa
-
-
-
-
应用备注
-
Positive Control: Jurkat, C6, NIH/3T3 or HeLa cell lysate.
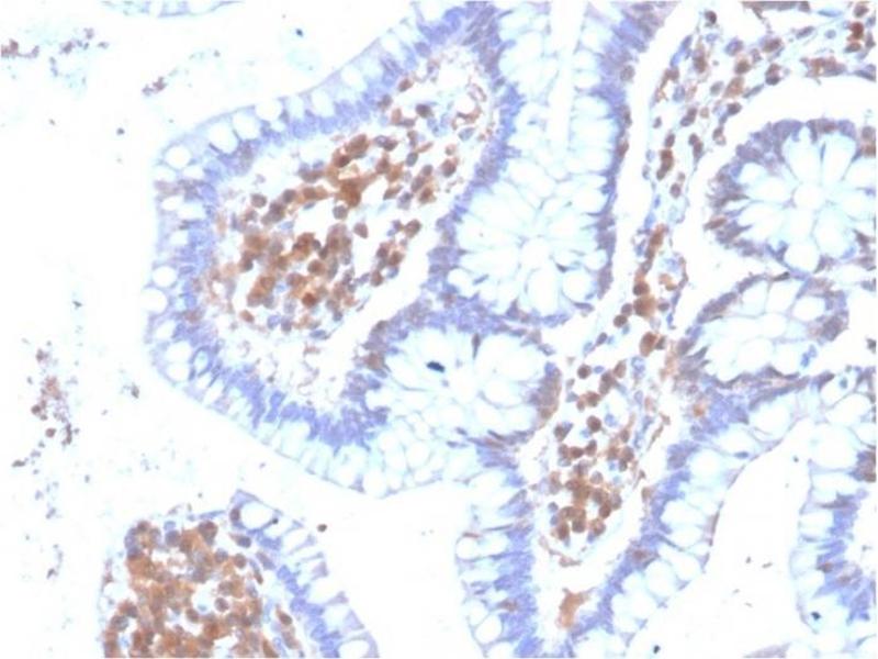
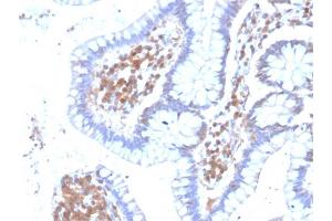
Known Application: Immunohistochemistry (Formalin-fixed) (0.5-1 μg/mL for 30 min at RT)(Staining of formalin-fixed tissues requires boiling tissue sections in 10 mM Citrate Buffer, pH 6.0, for 10-20 min followed by cooling at RT for 20 minutes)Optimal dilution for a specific application should be determined.
-
限制
- 仅限研究用
-
-
-
浓度
- 200 μg/mL
-
缓冲液
- 10 mM PBS with 0.05 % BSA & 0.05 % azide.
-
储存液
- Sodium azide
-
注意事项
- This product contains Sodium azide: a POISONOUS AND HAZARDOUS SUBSTANCE which should be handled by trained staff only.
-
储存条件
- 4 °C,-80 °C
-
储存方法
- Antibody with azide - store at 2 to 8°C. Antibody without azide - store at -20 to -80°C. Antibody is stable for 24 months. Non-hazardous. No MSDS required.
-
有效期
- 24 months
-
-
- MAPK14 (Mitogen-Activated Protein Kinase 14 (MAPK14))
-
别名
- MAPK14
-
背景
- The protein encoded by this gene is a member of the MAP kinase family. MAP kinases act as an integration point for multiple biochemical signals, and are involved in a wide variety of cellular processes such as proliferation, differentiation, transcription regulation and development. This kinase is activated by various environmental stresses and proinflammatory cytokines. The activation requires its phosphorylation by MAP kinase kinases (MKKs), or its autophosphorylation triggered by the interaction of MAP3K7IP1/TAB1 protein with this kinase. The substrates of this kinase include transcription regulator ATF2, MEF2C, and MAX, cell cycle regulator CDC25B, and tumor suppressor p53, which suggest the roles of this kinase in stress related transcription and cell cycle regulation, as well as in genotoxic stress response. Four alternatively spliced transcript variants of this gene encoding distinct isoforms have been reported. It has been implicated in various cancer pathologies and depending on the context, can facilitate or interfere with tumor development, and therefore has immense potential therapeutic interest.
-
分子量
- 41.6kDa
-
基因ID
- 1432
-
UniProt
- Q16539
-
途径
- MAPK Pathway, Neurotrophin Signaling Pathway, Activation of Innate immune Response, Cellular Response to Molecule of Bacterial Origin, Regulation of Muscle Cell Differentiation, Regulation of Cell Size, Hepatitis C, Toll-Like Receptors Cascades, Autophagy, Thromboxane A2 Receptor Signaling, BCR Signaling, S100 Proteins
抗原
-