Recombinant p21 抗体
Our Local Distributor
北京 101111
Quick Overview for Recombinant p21 抗体 (ABIN6939040)
抗原
See all p21 (CDKN1A) 抗体抗体类型
适用
宿主
克隆类型
标记
应用范围
克隆位点
-
-
特异性
- This MAb recognizes a 21kDa protein, identified as the p21WAF1 tumor suppressor protein. This MAb is highly specific to p21 and shows no cross-reaction with other closely related mitotic inhibitors. p21WAF1 is a specific inhibitor of cdk's and a tumor suppressor involved in the pathogenesis of a variety of malignancies. The expression of this gene acts as an inhibitor of the cell cycle during G1 phase and is tightly controlled by the tumor suppressor protein p53. Its expression is induced by the wild type, but not mutant, p53 suppressor protein. Normal cells generally display a rather intense nuclear p21 expression. Loss of p21 expression has been reported in many carcinomas (gastric carcinoma, non-small cell lung carcinoma, thyroid carcinoma).
-
交叉反应 (详细)
- Human. Does not react with Mouse or Rat,
-
纯化方法
- 200ug/ml of Ab Purified from Bioreactor Concentrate by Protein A/G.
-
免疫原
- Recombinant full-length human CDKN1A protein
-
亚型
- IgG1
-
-
-
-
应用备注
-
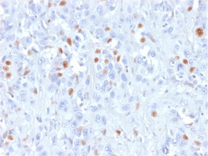
Positive Control: HeLa cells. Skin, colon or breast carcinoma.
Known Application: Western Blot (1-2 μg/mL), Immunohistochemistry (Formalin-fixed) (1-2 μg/mL for 30 minutes at RT)(Staining of formalin-fixed tissues requires heating tissue sections in 10 mM Tris with 1 mM EDTA, pH 9.0, for 45 min at 95°C followed by cooling at RT for 20 minutes), Optimal dilution for a specific application should be determined.
-
限制
- 仅限研究用
-
-
-
浓度
- 200 μg/mL
-
缓冲液
- Prepared in 10 mM PBS with 0.05 % BSA and 0.05 % azide.
-
储存液
- Sodium azide
-
注意事项
- This product contains Sodium azide: a POISONOUS AND HAZARDOUS SUBSTANCE which should be handled by trained staff only.
-
储存条件
- 4 °C,-80 °C
-
储存方法
- Antibody with azide - store at 2 to 8 °C. Antibody is stable for 24 months. Non-hazardous. Also available WITHOUT BSA & azide at 1.0mg/ml.
-
有效期
- 24 months
-
-
- p21 (CDKN1A) (Cyclin-Dependent Kinase Inhibitor 1A (p21, Cip1) (CDKN1A))
-
别名
- CDKN1A
-
背景
-
Activating Fragment 1, CAP20, CDK-interacting protein 1, CDKI, CDKN1, CDKN1A, CIP1, Cyclin-dependent kinase inhibitor 1A (p21, Cip1), DNA Synthesis Inhibitor, MDA6, Melanoma Differentiation Associated Protein 6, p21Cip1/Waf1, PIC1, SDI1, SLC12A9, Wild type p53 activated fragment 1 (WAF1),p21WAF1 (Tumor Suppressor Protein)
Cellular localisation: Nuclear -
分子量
- 21kDa
-
基因ID
- 1026, 370771
-
UniProt
- P38936
-
途径
- p53 Pathway, PI3K-Akt Signaling, Cell Division Cycle, AMPK Signaling, Fc-epsilon Receptor Signaling Pathway, EGFR Signaling Pathway, Neurotrophin Signaling Pathway, Mitotic G1-G1/S Phases, DNA Replication, Hepatitis C, Synthesis of DNA, Autophagy
抗原
-