电话:
+86 (0512) 65829739
传真:
+86 (010) 6788 5057
电子邮件:
orders@antibodies-online.cn

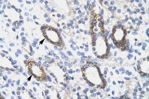
SOX10 抗体 (AA 191-240)

There are 2+ publications for this product available. The 兔 多克隆 anti-SOX10 antibody is suitable to detect SOX10 in samples from 人 和 大鼠. It has been validated for WB, IHC 和 IHC (p).
产品编号 ABIN6746058
发货至: 中国
Contact our Customer Service for availability and price in your country. Contact Info

Our Local Distributor

中国
北京 101111
No. 88 KeChuang 6th Street
Beijing Economic Technological Development Area
Room 801-803
4A Biotech Co.,Ltd.
Tel +86 (0512) 65829739 传真 +86 (010) 6788 5057

Quick Overview for SOX10 抗体 (AA 191-240) (ABIN6746058)

抗原

See all SOX10 抗体
SOX10 (SRY (Sex Determining Region Y)-Box 10 (SOX10))

适用

  • 131
  • 81
  • 45
  • 8
  • 6
  • 2
  • 1
  • 1
  • 1
  • 1
人, 大鼠

宿主

  • 105
  • 50
  • 2

克隆类型

  • 99
  • 58
多克隆

标记

  • 65
  • 14
  • 7
  • 5
  • 4
  • 4
  • 4
  • 4
  • 4
  • 4
  • 4
  • 3
  • 3
  • 3
  • 3
  • 3
  • 3
  • 3
  • 2
  • 2
  • 2
  • 1
  • 1
  • 1
  • 1
  • 1
  • 1
  • 1
  • 1
  • 1
  • 1
  • 1
This SOX10 antibody is un-conjugated

应用范围

  • 117
  • 65
  • 48
  • 41
  • 41
  • 22
  • 15
  • 15
  • 15
  • 13
  • 12
  • 11
  • 4
  • 3
  • 2
  • 2
  • 1
Western Blotting (WB), Immunohistochemistry (IHC), Immunohistochemistry (Paraffin-embedded Sections) (IHC (p))
  • 抗原表位

    • 56
    • 16
    • 8
    • 8
    • 4
    • 4
    • 4
    • 4
    • 3
    • 2
    • 2
    • 2
    • 2
    • 2
    • 1
    • 1
    • 1
    • 1
    • 1
    • 1
    • 1
    • 1
    • 1
    AA 191-240

    特异性

    Human SOX10

    预测反应

    Percent identity by BLAST analysis: Human (100%) Mouse, Dog, Bovine, Rabbit, Horse, Pig, Guinea pig (92%) Rat (85%).

    纯化方法

    Immunoaffinity purified

    免疫原

    Synthetic peptide located between aa191-240 of human SOX10 (P56693, NP_008872). Percent identity by BLAST analysis: Human, Chimpanzee, Gibbon, Monkey (100%), Galago, Marmoset, Mouse, Hamster, Dog, Bovine, Bat, Rabbit, Horse, Pig, Guinea pig (92%), Rat, Elephant (85%), Opossum, Zebra finch (84%).

    Type of Immunogen: Synthetic peptide
  • 应用备注

    Approved: IHC, IHC-P, WB (0.25 μg/mL)

    Usage: Western Blot: Suggested dilution at 1 μg/mL in 5 % skim milk / PBS buffer, and HRP conjugated anti-Rabbit IgG should be diluted in 1: 50,000 - 100,000 as secondary antibody.

    说明

    Target Species of Antibody: Human

    限制

    仅限研究用
  • 状态

    Lyophilized

    溶解方式

    Distilled water

    浓度

    Lot specific

    缓冲液

    Lyophilized from PBS with 2 % sucrose

    注意事项

    Avoid repeat freeze-thaw cycles.

    储存条件

    4 °C,-20 °C

    储存方法

    Long term: -20°C, the use of 50% glycerol is recommended if storing aliquots in -20°C for long term use (up to 1 year)
    Short term (less than 1 week): 4°C. Avoid freeze-thaw cycles.
  • Suhr, Senut, Whitelegge, Faull, Cuizon, Gage: "Identities of sequestered proteins in aggregates from cells with induced polyglutamine expression." in: The Journal of cell biology, Vol. 153, Issue 2, pp. 283-94, (2001) (PubMed).

    Hunt, Morimoto: "Conserved features of eukaryotic hsp70 genes revealed by comparison with the nucleotide sequence of human hsp70." in: Proceedings of the National Academy of Sciences of the United States of America, Vol. 82, Issue 19, pp. 6455-9, (1985) (PubMed).

  • 抗原

    SOX10 (SRY (Sex Determining Region Y)-Box 10 (SOX10))

    别名

    SOX10

    背景

    Name/Gene ID: SOX10
    Family: Transcription factor

    Synonyms: SOX10, DOM, Transcription factor SOX-10, WS4, PCWH, WS2E, SRY-related HMG-box gene 10, WS4C

    基因ID

    6663

    NCBI登录号

    NP_008872

    UniProt

    P56693

    途径

    Chromatin Binding
You are here: