电话:
+86 (0512) 65829739
传真:
+86 (010) 6788 5057
电子邮件:
orders@antibodies-online.cn

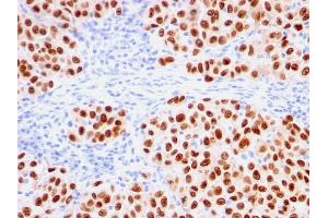
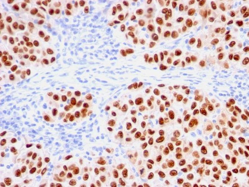
Recombinant SOX10 抗体 (AA 115-269)

The 小鼠 单克隆 anti-SOX10 antibody (Clone rSOX10-1074) (ABIN6940627) specifically detects SOX10 in IHC 和 StM. The antibody is reactive with 人 和 小鼠 samples.
产品编号 ABIN6940627
发货至: 中国
Contact our Customer Service for availability and price in your country. Contact Info

Our Local Distributor

中国
北京 101111
No. 88 KeChuang 6th Street
Beijing Economic Technological Development Area
Room 801-803
4A Biotech Co.,Ltd.
Tel +86 (0512) 65829739 传真 +86 (010) 6788 5057

Quick Overview for Recombinant SOX10 抗体 (AA 115-269) (ABIN6940627)

抗原

See all SOX10 抗体
SOX10 (SRY (Sex Determining Region Y)-Box 10 (SOX10))

抗体类型

Recombinant Antibody

适用

  • 132
  • 80
  • 46
  • 8
  • 6
  • 2
  • 1
  • 1
  • 1
  • 1
人, 小鼠

宿主

  • 107
  • 49
  • 2
小鼠

克隆类型

  • 99
  • 59
单克隆

标记

  • 66
  • 14
  • 7
  • 5
  • 4
  • 4
  • 4
  • 4
  • 4
  • 4
  • 4
  • 3
  • 3
  • 3
  • 3
  • 3
  • 3
  • 3
  • 2
  • 2
  • 2
  • 1
  • 1
  • 1
  • 1
  • 1
  • 1
  • 1
  • 1
  • 1
  • 1
  • 1
This SOX10 antibody is un-conjugated

应用范围

  • 119
  • 65
  • 49
  • 41
  • 41
  • 22
  • 16
  • 15
  • 15
  • 13
  • 12
  • 11
  • 3
  • 3
  • 2
  • 2
  • 1
Immunohistochemistry (IHC), Staining Methods (StM)

克隆位点

RSOX10-1074
  • 抗原表位

    • 55
    • 16
    • 8
    • 8
    • 4
    • 4
    • 4
    • 4
    • 3
    • 2
    • 2
    • 2
    • 2
    • 2
    • 1
    • 1
    • 1
    • 1
    • 1
    • 1
    • 1
    • 1
    • 1
    • 1
    AA 115-269

    纯化方法

    Purified by Protein A/G

    免疫原

    A recombinant human SOX10 protein fragment (around aa115-269) (exact sequence is proprietary)

    亚型

    IgG1 kappa
  • 应用备注

    Positive Control: Melanomas, breast carcinomas, gliomas (IHC).

    Known Application: Immunohistochemistry (Formalin-fixed) (0.5-1 μg/mL for 30 minutes at RT)(Staining of formalin-fixed tissues requires boiling tissue sections in 10 mM citrate buffer, pH 6.0, for 10-20 min followed by cooling at RT for 20 minutes)Optimal dilution for a specific application should be determined.

    限制

    仅限研究用
  • 浓度

    200 μg/mL

    缓冲液

    10 mM PBS with 0.05 % BSA & 0.05 % azide.

    储存液

    Sodium azide

    注意事项

    This product contains Sodium azide: a POISONOUS AND HAZARDOUS SUBSTANCE which should be handled by trained staff only.

    储存条件

    4 °C,-80 °C

    储存方法

    Antibody with azide - store at 2 to 8°C. Antibody without azide - store at -20 to -80°C. Antibody is stable for 24 months. Non-hazardous. No MSDS required.

    有效期

    24 months
  • 抗原

    SOX10 (SRY (Sex Determining Region Y)-Box 10 (SOX10))

    别名

    SOX10

    背景

    SOX genes comprise a family of genes that are related to the mammalian sex-determining gene SRY. These genes similarly contain sequences that encode for the HMG-box domain, which is responsible for the sequence-specific DNA-binding activity. SOX-10 is a sensitive marker of melanoma, including conventional, spindled, and desmoplastic subtypes. It is expressed by metastatic melanomas and nodal capsular nevus in sentinel lymph nodes, but not by other lymph node components such as dendritic cells, which usually express S100 protein. Commonly used melanoma markers, such as anti-HMB-45 and anti-Melan-A, are poorly expressed in desmoplastic melanomas while SOX-10 is moderately to strongly expressed in desmoplastic melanomas. SOX-10 is considered as a very reliable marker for recognizing residual desmoplastic melanomas. In normal tissues, it is expressed in Schwann cells, melanocytes, and myoepithelial cells of salivary, bronchial and mammary glands. SOX-10 expression is also observed in mast cells.

    分子量

    49-58kDa

    基因ID

    6663

    UniProt

    P56693

    途径

    Chromatin Binding
You are here: