电话:
+86 (0512) 65829739
传真:
+86 (010) 6788 5057
电子邮件:
orders@antibodies-online.cn

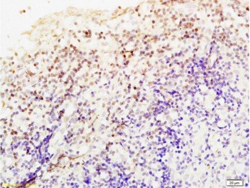
BIRC7 抗体 (AA 101-200)

Cited in 2+ publications. The 兔 多克隆 anti-BIRC7 antibody (ABIN672561) specifically detects BIRC7 in WB, ELISA, IHC (p), IF (cc), IF (p) 和 IHC (fro). The antibody is reactive with 人, 小鼠 和 大鼠 samples.
产品编号 ABIN672561
发货至: 中国
Contact our Customer Service for availability and price in your country. Contact Info

Our Local Distributor

中国
北京 101111
No. 88 KeChuang 6th Street
Beijing Economic Technological Development Area
Room 801-803
4A Biotech Co.,Ltd.
Tel +86 (0512) 65829739 传真 +86 (010) 6788 5057

Quick Overview for BIRC7 抗体 (AA 101-200) (ABIN672561)

抗原

See all BIRC7 抗体
BIRC7 (Baculoviral IAP Repeat-Containing 7 (BIRC7))

适用

  • 65
  • 16
  • 14
  • 2
  • 2
  • 2
  • 1
人, 小鼠, 大鼠

宿主

  • 59
  • 6
  • 1

克隆类型

  • 60
  • 6
多克隆

标记

  • 36
  • 3
  • 3
  • 2
  • 2
  • 2
  • 1
  • 1
  • 1
  • 1
  • 1
  • 1
  • 1
  • 1
  • 1
  • 1
  • 1
  • 1
  • 1
  • 1
  • 1
  • 1
  • 1
  • 1
This BIRC7 antibody is un-conjugated

应用范围

  • 52
  • 21
  • 17
  • 12
  • 12
  • 12
  • 10
  • 6
  • 5
  • 3
  • 2
  • 2
  • 1
  • 1
  • 1
  • 1
  • 1
  • 1
Western Blotting (WB), ELISA, Immunohistochemistry (Paraffin-embedded Sections) (IHC (p)), Immunofluorescence (Cultured Cells) (IF (cc)), Immunofluorescence (Paraffin-embedded Sections) (IF (p)), Immunohistochemistry (Frozen Sections) (IHC (fro))
  • 抗原表位

    • 14
    • 8
    • 7
    • 5
    • 4
    • 2
    • 1
    • 1
    • 1
    • 1
    • 1
    • 1
    • 1
    • 1
    • 1
    • 1
    • 1
    • 1
    • 1
    • 1
    • 1
    AA 101-200

    交叉反应

    人, 小鼠, 大鼠

    预测反应

    Dog,Cow

    纯化方法

    Purified by Protein A.

    免疫原

    KLH conjugated synthetic peptide derived from human Livin

    亚型

    IgG
  • 应用备注

    WB 1:300-5000
    ELISA 1:500-1000
    IHC-P 1:200-400
    IHC-F 1:100-500
    IF(IHC-P) 1:50-200
    IF(IHC-F) 1:50-200
    IF(ICC) 1:50-200

    限制

    仅限研究用
  • 状态

    Liquid

    浓度

    1 μg/μL

    缓冲液

    0.01M TBS( pH 7.4) with 1 % BSA, 0.02 % Proclin300 and 50 % Glycerol.

    储存液

    ProClin

    注意事项

    This product contains ProClin: a POISONOUS AND HAZARDOUS SUBSTANCE, which should be handled by trained staff only.

    储存条件

    4 °C,-20 °C

    储存方法

    Shipped at 4°C. Store at -20°C for one year. Avoid repeated freeze/thaw cycles.

    有效期

    12 months
  • Faruk, Ibrahim, Aminu, Adamu, Abdullahi, Suleiman, Rafindadi, Mohammed, Iliyasu, Idoko, Saidu, Randawa, Musa, Ntekim, Shah, Abubakar, Adoke, Manko, Awasum: "Prognostic significance of BIRC7/Livin, Bcl-2, p53, Annexin V, PD-L1, DARC, MSH2 and PMS2 in colorectal cancer treated with FOLFOX chemotherapy with or without aspirin." in: PLoS ONE, Vol. 16, Issue 1, pp. e0245581, (2021) (PubMed).

    Zhang, Peng, Luo, Zhou: "Prospective experimental studies on the renal protective effect of ulinastatin after paraquat poisoning." in: World journal of emergency medicine, Vol. 3, Issue 4, pp. 299-304, (2014) (PubMed).

  • 抗原

    BIRC7 (Baculoviral IAP Repeat-Containing 7 (BIRC7))

    别名

    Livin

    背景

    Synonyms: KIAP, LIVIN, MLIAP, RNF50, ML-IAP, Baculoviral IAP repeat-containing protein 7, Kidney inhibitor of apoptosis protein, Melanoma inhibitor of apoptosis protein, RING finger protein 50, BIRC7, UNQ5800/PRO19607/PRO21344

    Background: Apoptotic regulator capable of exerting proapoptotic and anti-apoptotic activities and plays crucial roles in apoptosis, cell proliferation, and cell cycle control. Its anti-apoptotic activity is mediated through the inhibition of CASP3, CASP7 and CASP9, as well as by its E3 ubiquitin-protein ligase activity. As it is a weak caspase inhibitor, its anti-apoptotic activity is thought to be due to its ability to ubiquitinate DIABLO/SMAC targeting it for degradation thereby promoting cell survival. May contribute to caspase inhibition, by blocking the ability of DIABLO/SMAC to disrupt XIAP/BIRC4-caspase interactions. Protects against apoptosis induced by TNF or by chemical agents such as adriamycin, etoposide or staurosporine. Suppression of apoptosis is mediated by activation of MAPK8/JNK1, and possibly also of MAPK9/JNK2. This activation depends on TAB1 and NR2C2/TAK1. In vitro, inhibits CASP3 and proteolytic activation of pro-CASP9. Isoform 1 blocks staurosporine-induced apoptosis. Isoform 2 blocks etoposide-induced apoptosis. Isoform 2 protects against natural killer (NK) cell killing whereas isoform 1 augments killing.

    基因ID

    79444

    UniProt

    Q96CA5
You are here: