电话:
+86 (0512) 65829739
传真:
+86 (010) 6788 5057
电子邮件:
orders@antibodies-online.cn

RMI2 抗体

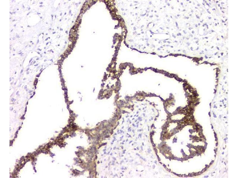
This 兔 多克隆 antibody specifically detects RMI2 in WB, FACS, ICC, IHC 和 IHC (fro). It exhibits reactivity toward 人, 小鼠 和 大鼠.
产品编号 ABIN6719656
发货至: 中国
Contact our Customer Service for availability and price in your country. Contact Info

Our Local Distributor

中国
北京 101111
No. 88 KeChuang 6th Street
Beijing Economic Technological Development Area
Room 801-803
4A Biotech Co.,Ltd.
Tel +86 (0512) 65829739 传真 +86 (010) 6788 5057

Quick Overview for RMI2 抗体 (ABIN6719656)

抗原

See all RMI2 抗体
RMI2 (RMI2, RecQ Mediated Genome Instability 2 (RMI2))

适用

人, 小鼠, 大鼠

宿主

  • 2

克隆类型

  • 2
多克隆

标记

  • 2
This RMI2 antibody is un-conjugated

应用范围

Western Blotting (WB), Flow Cytometry (FACS), Immunocytochemistry (ICC), Immunohistochemistry (IHC), Immunohistochemistry (Frozen Sections) (IHC (fro))
  • 原理

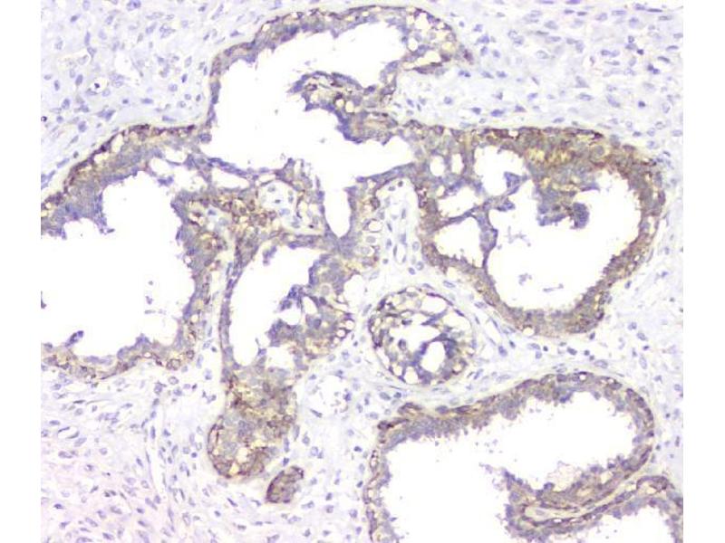
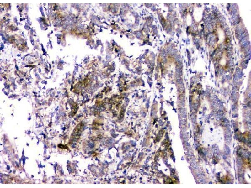
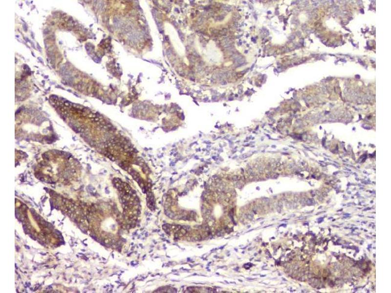
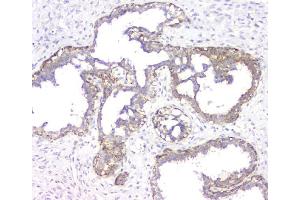
    Anti-RMI2 Antibody

    序列

    KMTDLSDNPI HESMWELEVE DLHRNIP

    交叉反应 (详细)

    No cross-reactivity with other proteins.

    产品特性

    Anti-RMI2 Antibody (ABIN6719656). Tested in Flow Cytometry, IHC, IHC-F, ICC, WB applications. This antibody reacts with Human, Mouse, Rat. This is a premium antibody that guarantees superior quality, high affinity, and strong signals with minimal background in Western blot applications.

    免疫原

    A synthetic peptide corresponding to a sequence at the C-terminus of human RMI2, which shares 96.3% and 92.6% amino acid (aa) sequence identity with mouse and rat RMI2, respectively.

    亚型

    IgG
  • 应用备注

    Western blot, 0.1-0.5 μg/mL
    Immunohistochemistry (Paraffin-embedded Section), 0.5-1 μg/mL
    Immunohistochemistry (Frozen Section), 0.5-1 μg/mL
    Immunocytochemistry, 0.5-1 μg/mL
    Flow Cytometry (Fixed), 1-3 μg/1x106 cells

    说明

    Tested Species: In-house tested species with positive results. By Heat: Boiling the paraffin sections in 10mM citrate buffer, pH6.0, for 20mins is required for the staining of formalin/paraffin sections. Other applications have not been tested. Optimal dilutions should be determined by end users.

    限制

    仅限研究用
  • 状态

    Lyophilized

    浓度

    500 μg/mL

    缓冲液

    Each vial contains 4 mg Trehalose, 0.9 mg NaCl, 0.2 mg Na2HPO4, 0.05 mg NaN3.

    储存液

    Sodium azide

    注意事项

    This product contains Sodium azide: a POISONOUS AND HAZARDOUS SUBSTANCE which should be handled by trained staff only.

    储存条件

    4 °C,-20 °C

    储存方法

    Store at -20°C for one year from date of receipt. After reconstitution, at 4°C for one month.
    It can also be aliquotted and stored frozen at -20°C for six months. Avoid repeated freeze-thaw cycles.
  • 抗原

    RMI2 (RMI2, RecQ Mediated Genome Instability 2 (RMI2))

    别名

    RMI2

    背景

    Synonyms: RecQ-mediated genome instability protein 2, hRMI2, BLM-associated protein of 18 kDa, BLAP18, RMI2, C16orf75

    Background: RMI2 is a component of the BLM (RECQL3) complex, which plays a role in homologous recombination-dependent DNA repair and is essential for genome stability. This gene is mapped to 16p13.13. RMI1 and RMI2 were present in approximately stoichiometric amounts with other BLM complex components, including topoisomerase-3-alpha (TOP3A), RPA (see RPA1), and BLAP250. RMI2 also associated with RMI1 and TOP3A in a second complex. RMI1 and RMI2 interacted ly, and both were essential for stability of the BLM complex. Depletion of either RMI1 or RMI2 depleted the other protein by 80 to 90 % . Chicken DT40 cells depleted of Rmi2 displayed elevated sister chromatid exchange, but other functions of the BLM complex appeared intact. Mutation analysis revealed that interaction between human RMI2 and BLM was essential for suppression of sister chromatid exchange.

    分子量

    19 kDa

    基因ID

    116028

    UniProt

    Q96E14

    途径

    DNA Damage Repair
You are here: