电话:
+86 (0512) 65829739
传真:
+86 (010) 6788 5057
电子邮件:
orders@antibodies-online.cn

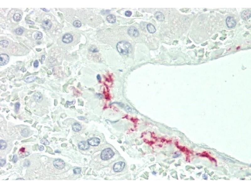
CFHR5 抗体 (AA 203-231)

The 兔 多克隆 anti-CFHR5 antibody (Clone RB22505) (ABIN651876) specifically detects CFHR5 in WB, FACS 和 IHC (p). The antibody is reactive with 人 samples.
产品编号 ABIN651876
发货至: 中国
Contact our Customer Service for availability and price in your country. Contact Info

Our Local Distributor

中国
北京 101111
No. 88 KeChuang 6th Street
Beijing Economic Technological Development Area
Room 801-803
4A Biotech Co.,Ltd.
Tel +86 (0512) 65829739 传真 +86 (010) 6788 5057

Quick Overview for CFHR5 抗体 (AA 203-231) (ABIN651876)

抗原

See all CFHR5 抗体
CFHR5 (Complement Factor H-Related 5 (CFHR5))

适用

  • 34
  • 11
  • 1

宿主

  • 21
  • 13

克隆类型

  • 22
  • 12
多克隆

标记

  • 19
  • 3
  • 2
  • 2
  • 1
  • 1
  • 1
  • 1
  • 1
  • 1
  • 1
  • 1
This CFHR5 antibody is un-conjugated

应用范围

  • 23
  • 14
  • 14
  • 11
  • 4
  • 4
  • 1
  • 1
  • 1
Western Blotting (WB), Flow Cytometry (FACS), Immunohistochemistry (Paraffin-embedded Sections) (IHC (p))

克隆位点

RB22505
  • 抗原表位

    • 6
    • 4
    • 4
    • 3
    • 2
    • 1
    • 1
    • 1
    • 1
    • 1
    • 1
    AA 203-231

    纯化方法

    This antibody is purified through a protein A column, followed by peptide affinity purification.

    免疫原

    This CFHR5 antibody is generated from rabbits immunized with a KLH conjugated synthetic peptide between 203-231 amino acids from the Central region of human CFHR5.

    亚型

    Ig Fraction
  • 应用备注

    WB: 1:1000. IHC-P: 1:10~50. IHC-P: 1:100. FC: 1:10~50

    限制

    仅限研究用
  • 状态

    Liquid

    缓冲液

    Purified polyclonal antibody supplied in PBS with 0.09 % (W/V) sodium azide.

    储存液

    Sodium azide

    注意事项

    This product contains Sodium azide: a POISONOUS AND HAZARDOUS SUBSTANCE which should be handled by trained staff only.

    储存条件

    4 °C,-20 °C

    储存方法

    Maintain refrigerated at 2-8 °C for up to 6 months. For long term storage store at -20 °C in small aliquots to prevent freeze-thaw cycles.

    有效期

    6 months
  • 抗原

    CFHR5 (Complement Factor H-Related 5 (CFHR5))

    别名

    CFHR5

    背景

    CFHR5 is a member of a small complement factor H (CFH) gene cluster on chromosome 1. Each member of this gene family contains multiple short consensus repeats (SCRs) typical of regulators of complement activation. The protein encoded by this gene has nine SCRs with the first two repeats having heparin binding properties, a region within repeats 5-7 having heparin binding and C reactive protein binding properties, and the C-terminal repeats being similar to a complement component 3 b (C3b) binding domain. This protein co-localizes with C3, binds C3b in a dose-dependent manner, and is recruited to tissues damaged by C-reactive protein. Allelic variations in this gene have been associated, but not causally linked, with two different forms of kidney disease: membranoproliferative glomerulonephritis type II (MPGNII) and hemolytic uraemic syndrome (HUS). [provided by RefSeq].

    分子量

    64419

    基因ID

    81494

    NCBI登录号

    NP_110414

    UniProt

    Q9BXR6
You are here: