电话:
+86 (0512) 65829739
传真:
+86 (010) 6788 5057
电子邮件:
orders@antibodies-online.cn

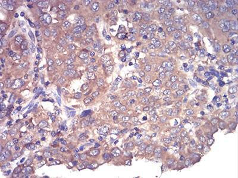
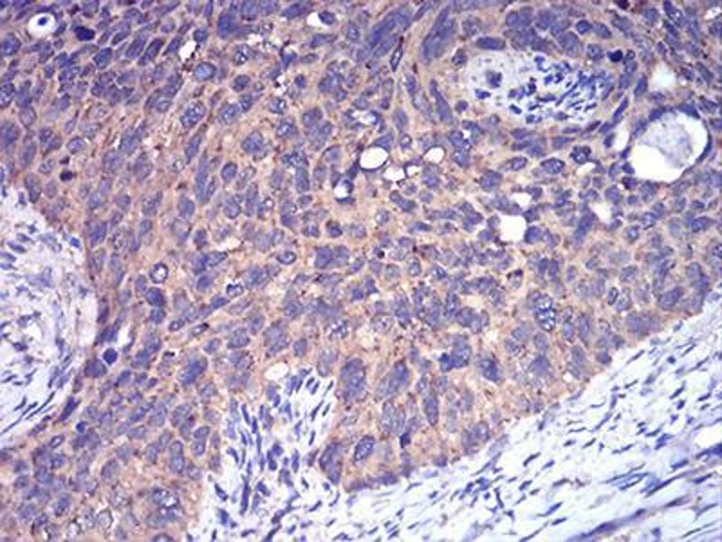
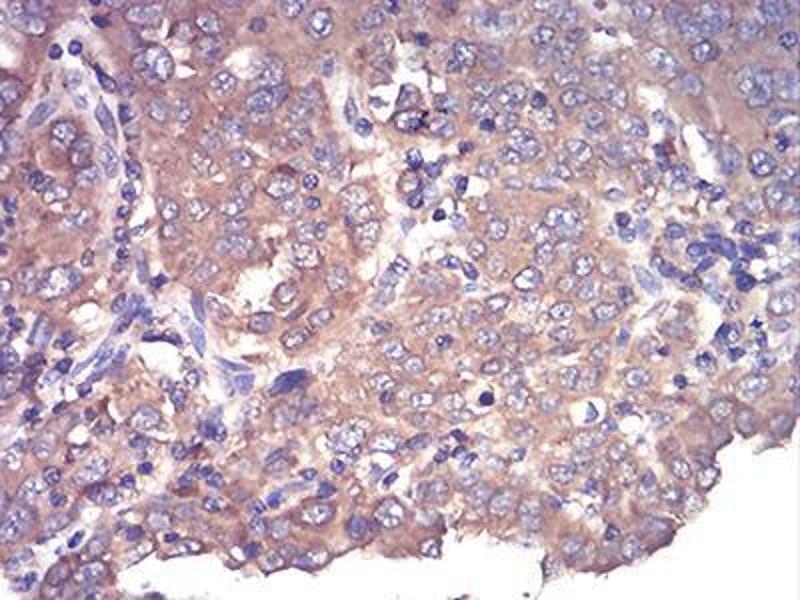
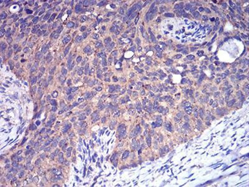
CFHR5 抗体 (AA 344-569)

The 小鼠 单克隆 anti-CFHR5 antibody (Clone 3E1E10) (ABIN5542639) specifically detects CFHR5 in IHC, ELISA, FACS 和 ICC. The antibody is reactive with 人 samples.
产品编号 ABIN5542639
发货至: 中国
Contact our Customer Service for availability and price in your country. Contact Info

Our Local Distributor

中国
北京 101111
No. 88 KeChuang 6th Street
Beijing Economic Technological Development Area
Room 801-803
4A Biotech Co.,Ltd.
Tel +86 (0512) 65829739 传真 +86 (010) 6788 5057

Quick Overview for CFHR5 抗体 (AA 344-569) (ABIN5542639)

抗原

See all CFHR5 抗体
CFHR5 (Complement Factor H-Related 5 (CFHR5))

适用

  • 34
  • 11
  • 1

宿主

  • 22
  • 12
小鼠

克隆类型

  • 23
  • 11
单克隆

标记

  • 19
  • 3
  • 2
  • 2
  • 1
  • 1
  • 1
  • 1
  • 1
  • 1
  • 1
  • 1
This CFHR5 antibody is un-conjugated

应用范围

  • 24
  • 13
  • 13
  • 11
  • 4
  • 3
  • 2
  • 1
  • 1
Immunohistochemistry (IHC), ELISA, Flow Cytometry (FACS), Immunocytochemistry (ICC)

克隆位点

3E1E10
  • 抗原表位

    • 7
    • 4
    • 4
    • 2
    • 2
    • 1
    • 1
    • 1
    • 1
    • 1
    • 1
    AA 344-569

    原理

    CFHR5 Antibody

    纯化方法

    Purified antibody

    免疫原

    Purified recombinant fragment of human CFHR5 (AA: 344-569) expressed in E. Coli.

    亚型

    IgG1
  • 应用备注

    ELISA: 1/10000

    FCM: 1/200 - 1/400

    ICC: 1/200 - 1/1000

    限制

    仅限研究用
  • 状态

    Liquid

    缓冲液

    Purified antibody in PBS with 0.05 % sodium azide.

    储存液

    Sodium azide

    注意事项

    This product contains Sodium azide: a POISONOUS AND HAZARDOUS SUBSTANCE which should be handled by trained staff only.

    储存条件

    4 °C,-20 °C

    储存方法

    Store at 4°C short term. Aliquot and store at -20°C long term. Avoid freeze/thaw cycles.
  • 抗原

    CFHR5 (Complement Factor H-Related 5 (CFHR5))

    别名

    CFHR5

    背景

    This gene is a member of a small complement factor H (CFH) gene cluster on chromosome 1. Each member of this gene family contains multiple short consensus repeats (SCRs) typical of regulators of complement activation. The protein encoded by this gene has nine SCRs with the first two repeats having heparin binding properties, a region within repeats 5-7 having heparin binding and C reactive protein binding properties, and the C-terminal repeats being similar to a complement component 3 b (C3b) binding domain. This protein co-localizes with C3, binds C3b in a dose-dependent manner, and is recruited to tissues damaged by C-reactive protein. Allelic variations in this gene have been associated, but not causally linked, with two different forms of kidney disease: membranoproliferative glomerulonephritis type II (MPGNII) and hemolytic uraemic syndrome (HUS).

    分子量

    64.4 kDa

    基因ID

    81494

    UniProt

    Q9BXR6
You are here: