电话:
+86 (0512) 65829739
传真:
+86 (010) 6788 5057
电子邮件:
orders@antibodies-online.cn

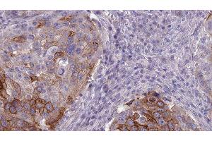
BAI1 抗体 (Internal Region)

This 兔 多克隆 antibody specifically detects BAI1 in IHC, ELISA, WB, IF 和 ICC. It exhibits reactivity toward 人, 小鼠 和 大鼠.
产品编号 ABIN6257957
发货至: 中国
Contact our Customer Service for availability and price in your country. Contact Info

Our Local Distributor

中国
北京 101111
No. 88 KeChuang 6th Street
Beijing Economic Technological Development Area
Room 801-803
4A Biotech Co.,Ltd.
Tel +86 (0512) 65829739 传真 +86 (010) 6788 5057

Quick Overview for BAI1 抗体 (Internal Region) (ABIN6257957)

抗原

See all BAI1 抗体
BAI1 (Brain-Specific Angiogenesis Inhibitor 1 (BAI1))

适用

  • 46
  • 14
  • 4
  • 3
  • 3
  • 1
  • 1
  • 1
  • 1
  • 1
人, 小鼠, 大鼠

宿主

  • 46
  • 2

克隆类型

  • 46
  • 2
多克隆

标记

  • 23
  • 3
  • 2
  • 1
  • 1
  • 1
  • 1
  • 1
  • 1
  • 1
  • 1
  • 1
  • 1
  • 1
  • 1
  • 1
  • 1
  • 1
  • 1
  • 1
  • 1
  • 1
  • 1
This BAI1 antibody is un-conjugated

应用范围

  • 16
  • 16
  • 14
  • 13
  • 12
  • 11
  • 8
  • 4
  • 3
  • 2
  • 2
  • 2
  • 1
  • 1
Immunohistochemistry (IHC), ELISA, Western Blotting (WB), Immunofluorescence (IF), Immunocytochemistry (ICC)
  • 抗原表位

    • 15
    • 7
    • 4
    • 2
    • 2
    • 2
    • 1
    • 1
    • 1
    • 1
    • 1
    • 1
    • 1
    Internal Region

    特异性

    BAI1 Antibody detects endogenous levels of total BAI1.

    纯化方法

    The antiserum was purified by peptide affinity chromatography using SulfoLinkTM Coupling Resin (Thermo Fisher Scientific).

    免疫原

    A synthesized peptide derived from human BAI1, corresponding to a region within the internal amino acids.

    亚型

    IgG
  • 应用备注

    WB 1:500-1:1000, IHC: 1:50-1:200, IF/ICC 1:100-1:500, ELISA(peptide) 1:20000-1:40000

    限制

    仅限研究用
  • 状态

    Liquid

    浓度

    1 mg/mL

    缓冲液

    Rabbit IgG in phosphate buffered saline , pH 7.4, 150 mM NaCl, 0.02 % sodium azide and 50 % glycerol.

    储存液

    Sodium azide

    注意事项

    This product contains Sodium azide: a POISONOUS AND HAZARDOUS SUBSTANCE which should be handled by trained staff only.

    储存条件

    -20 °C

    储存方法

    Store at -20 °C. Stable for 12 months from date of receipt.

    有效期

    12 months
  • 抗原

    BAI1 (Brain-Specific Angiogenesis Inhibitor 1 (BAI1))

    别名

    BAI1

    背景

    Description: Phosphatidylserine receptor which enhances the engulfment of apoptotic cells (PubMed:24509909). Also mediates the binding and engulfment of Gram-negative bacteria (PubMed:26838550). Stimulates production of reactive oxygen species by macrophages in response to Gram-negative bacteria, resulting in enhanced microbicidal macrophage activity (PubMed:26838550). In the gastric mucosa, required for recognition and engulfment of apoptotic gastric epithelial cells (PubMed:24509909). Promotes myoblast fusion (By similarity). Activates the Rho pathway in a G-protein-dependent manner (PubMed:23782696). Inhibits MDM2-mediated ubiquitination and degradation of DLG4/PSD95, promoting DLG4 stability and regulating synaptic plasticity (By similarity). Required for the formation of dendritic spines by ensuring the correct localization of PARD3 and TIAM1 (By similarity). Potent inhibitor of angiogenesis in brain and may play a significant role as a mediator of the p53/TP53 signal in suppression of glioblastoma (PubMed:11875720).

    Gene: BAI1

    分子量

    174 kDa

    基因ID

    575

    UniProt

    O14514

    途径

    p53 Pathway
You are here: