电话:
+86 (0512) 65829739
传真:
+86 (010) 6788 5057
电子邮件:
orders@antibodies-online.cn

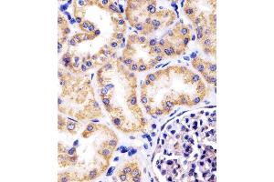
HSPD1 抗体 (AA 340-374)

The 兔 多克隆 anti-HSPD1 antibody (Clone RB55969) (ABIN6242389) specifically detects HSPD1 in WB, IF 和 IHC (p). The antibody is reactive with 人 和 小鼠 samples.
产品编号 ABIN6242389
发货至: 中国
Contact our Customer Service for availability and price in your country. Contact Info

Our Local Distributor

中国
北京 101111
No. 88 KeChuang 6th Street
Beijing Economic Technological Development Area
Room 801-803
4A Biotech Co.,Ltd.
Tel +86 (0512) 65829739 传真 +86 (010) 6788 5057

Quick Overview for HSPD1 抗体 (AA 340-374) (ABIN6242389)

抗原

See all HSPD1 抗体
HSPD1 (Heat Shock 60kDa Protein 1 (Chaperonin) (HSPD1))

适用

  • 277
  • 173
  • 168
  • 104
  • 102
  • 99
  • 92
  • 89
  • 89
  • 88
  • 67
  • 51
  • 48
  • 38
  • 26
  • 24
  • 22
  • 17
  • 16
  • 13
  • 12
  • 10
  • 10
  • 10
  • 10
  • 9
  • 4
  • 4
  • 4
  • 4
  • 4
  • 4
  • 3
  • 3
  • 2
  • 2
  • 2
  • 1
  • 1
  • 1
  • 1
  • 1
  • 1
  • 1
人, 小鼠

宿主

  • 156
  • 149
  • 2

克隆类型

  • 196
  • 109
多克隆

标记

  • 144
  • 23
  • 10
  • 7
  • 7
  • 7
  • 7
  • 7
  • 7
  • 7
  • 7
  • 7
  • 7
  • 7
  • 6
  • 6
  • 6
  • 4
  • 4
  • 4
  • 4
  • 4
  • 4
  • 4
  • 3
  • 2
  • 2
This HSPD1 antibody is un-conjugated

应用范围

  • 257
  • 188
  • 117
  • 109
  • 68
  • 66
  • 44
  • 36
  • 22
  • 18
  • 16
  • 11
  • 4
  • 3
  • 3
  • 2
  • 2
  • 2
  • 1
  • 1
  • 1
  • 1
Western Blotting (WB), Immunofluorescence (IF), Immunohistochemistry (Paraffin-embedded Sections) (IHC (p))

克隆位点

RB55969
You are here: