电话:
+86 (0512) 65829739
传真:
+86 (010) 6788 5057
电子邮件:
orders@antibodies-online.cn

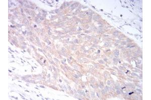
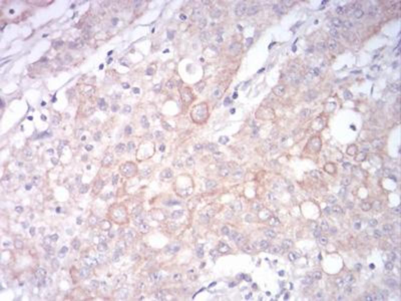
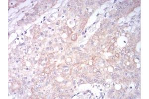
LRP1 抗体 (AA 20-155)

This 小鼠 单克隆 antibody specifically detects LRP1 . It exhibits reactivity toward 人.
产品编号 ABIN5897030
发货至: 中国
Contact our Customer Service for availability and price in your country. Contact Info

Our Local Distributor

中国
北京 101111
No. 88 KeChuang 6th Street
Beijing Economic Technological Development Area
Room 801-803
4A Biotech Co.,Ltd.
Tel +86 (0512) 65829739 传真 +86 (010) 6788 5057

Quick Overview for LRP1 抗体 (AA 20-155) (ABIN5897030)

抗原

See all LRP1 抗体
LRP1 (Low Density Lipoprotein Receptor-Related Protein 1 (LRP1))

适用

  • 151
  • 80
  • 70
  • 12
  • 4
  • 3
  • 2
  • 2
  • 1

宿主

  • 124
  • 36
  • 1
小鼠

克隆类型

  • 85
  • 75
  • 1
单克隆

标记

  • 69
  • 14
  • 9
  • 6
  • 6
  • 6
  • 6
  • 6
  • 6
  • 6
  • 5
  • 3
  • 2
  • 2
  • 1
  • 1
  • 1
  • 1
  • 1
  • 1
  • 1
  • 1
  • 1
  • 1
  • 1
  • 1
  • 1
  • 1
  • 1
This LRP1 antibody is un-conjugated

应用范围

请咨询
You are here: