电话:
+86 (0512) 65829739
传真:
+86 (010) 6788 5057
电子邮件:
orders@antibodies-online.cn

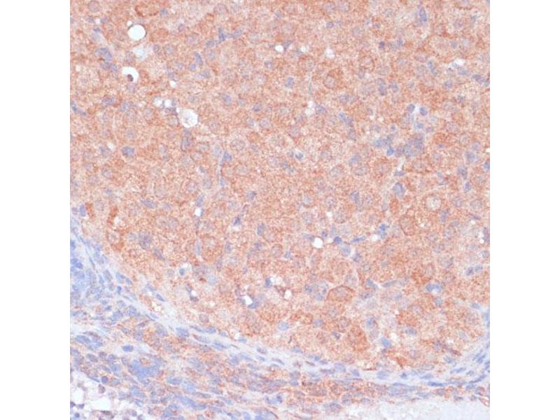
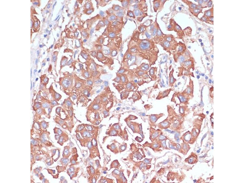
LRP1 抗体 (AA 20-270)

There is 1 publication for this product available. The 兔 多克隆 anti-LRP1 antibody is suitable to detect LRP1 in samples from 人. It has been validated for WB 和 IHC.
产品编号 ABIN3021969
发货至: 中国
Contact our Customer Service for availability and price in your country. Contact Info

Our Local Distributor

中国
北京 101111
No. 88 KeChuang 6th Street
Beijing Economic Technological Development Area
Room 801-803
4A Biotech Co.,Ltd.
Tel +86 (0512) 65829739 传真 +86 (010) 6788 5057

Quick Overview for LRP1 抗体 (AA 20-270) (ABIN3021969)

抗原

See all LRP1 抗体
LRP1 (Low Density Lipoprotein Receptor-Related Protein 1 (LRP1))

适用

  • 142
  • 80
  • 70
  • 12
  • 4
  • 3
  • 2
  • 2
  • 1

宿主

  • 119
  • 32
  • 1

克隆类型

  • 84
  • 67
  • 1
多克隆

标记

  • 60
  • 14
  • 9
  • 6
  • 6
  • 6
  • 6
  • 6
  • 6
  • 6
  • 5
  • 3
  • 2
  • 2
  • 1
  • 1
  • 1
  • 1
  • 1
  • 1
  • 1
  • 1
  • 1
  • 1
  • 1
  • 1
  • 1
  • 1
  • 1
This LRP1 antibody is un-conjugated

应用范围

  • 86
  • 73
  • 57
  • 41
  • 38
  • 32
  • 32
  • 21
  • 15
  • 14
  • 14
  • 8
  • 2
  • 1
  • 1
Western Blotting (WB), Immunohistochemistry (IHC)
  • 抗原表位

    • 16
    • 14
    • 10
    • 8
    • 4
    • 4
    • 3
    • 2
    • 2
    • 2
    • 2
    • 2
    • 1
    • 1
    • 1
    • 1
    • 1
    • 1
    • 1
    • 1
    • 1
    • 1
    AA 20-270

    序列

    AIDAPKTCSP KQFACRDQIT CISKGWRCDG ERDCPDGSDE APEICPQSKA QRCQPNEHNC LGTELCVPMS RLCNGVQDCM DGSDEGPHCR ELQGNCSRLG CQHHCVPTLD GPTCYCNSSF QLQADGKTCK DFDECSVYGT CSQLCTNTDG SFICGCVEGY LLQPDNRSCK AKNEPVDRPP VLLIANSQNI LATYLSGAQV STITPTSTRQ TTAMDFSYAN ETVCWVHVGD SAAQTQLKCA RMPGLKGFVD E

    交叉反应

    人, 小鼠, 大鼠

    产品特性

    Polyclonal Antibodies

    免疫原

    Recombinant fusion protein containing a sequence corresponding to amino acids 20-270 of human LRP1 (NP_002323.2).

    亚型

    IgG
  • 应用备注

    WB,1:500 - 1:1000,IHC,1:50 - 1:100

    限制

    仅限研究用
  • 状态

    Liquid

    缓冲液

    PBS with 0.02 % sodium azide,50 % glycerol, pH 7.3.

    储存液

    Sodium azide

    注意事项

    This product contains Sodium azide: a POISONOUS AND HAZARDOUS SUBSTANCE which should be handled by trained staff only.

    注意事项

    Avoid freeze / thaw cycles

    储存条件

    -20 °C

    储存方法

    Store at -20°C. Avoid freeze / thaw cycles.
  • Kong, Han, Cui, Zhou, Jiang, Zhang, Wang, Wang, Zhang: "MCM2 mediates progesterone-induced endometrial stromal cell proliferation and differentiation in mice." in: Endocrine, Vol. 53, Issue 2, pp. 595-606, (2017) (PubMed).

  • 抗原

    LRP1 (Low Density Lipoprotein Receptor-Related Protein 1 (LRP1))

    别名

    LRP1

    背景

    This gene encodes a member of the low-density lipoprotein receptor family of proteins. The encoded preproprotein is proteolytically processed by furin to generate 515 kDa and 85 kDa subunits that form the mature receptor (PMID: 8546712). This receptor is involved in several cellular processes, including intracellular signaling, lipid homeostasis, and clearance of apoptotic cells. In addition, the encoded protein is necessary for the alpha 2-macroglobulin-mediated clearance of secreted amyloid precursor protein and beta-amyloid, the main component of amyloid plaques found in Alzheimer patients. Expression of this gene decreases with age and has been found to be lower than controls in brain tissue from Alzheimer's disease patients.,LRP1,A2MR,APOER,APR,CD91,IGFBP3R,KPA,LRP,LRP1A,TGFBR5,Epigenetics & Nuclear Signaling,RNA Binding,Translation Control,Regulation of eIF4 and p70 S6 Kinase,Signal Transduction,mTOR Signaling Pathway,Cell Biology & Developmental Biology,Apoptosis,Microtubules,Wnt/β-Catenin Signaling Pathway,ESC Pluripotency and Differentiation,Endocrine & Metabolism,Lipid Metabolism,Cholesterol Metabolism,Immunology & Inflammation,CD markers,Neuroscience,Neurodegenerative Diseases,Amyloid Plaque and Neurofibrillary Tangle Formation in Alzheimer's Disease,Cardiovascular,Blood,Serum Proteins,Lipids,LRP1

    分子量

    31 kDa/504 kDa

    基因ID

    4035

    UniProt

    Q07954

    途径

    Smooth Muscle Cell Migration, Platelet-derived growth Factor Receptor Signaling
You are here: