LRP1 抗体
Our Local Distributor
北京 101111
Quick Overview for LRP1 抗体 (ABIN351532)
抗原
See all LRP1 抗体适用
宿主
克隆类型
标记
应用范围
克隆位点
-
-
特异性
- Recognizes human CD91, a type I membrane protein which is also known as the alpha 2 macroglobulin receptor (alpha 2 MR). Recognizes an epitope in the extracellular region of the 500kD alpha chain.
-
纯化方法
- Protein G purified
-
免疫原
-
Purified alpha2 macroglobulin receptor.
Type of Immunogen: Purified protein -
亚型
- IgG1
-
-
-
-
应用备注
-
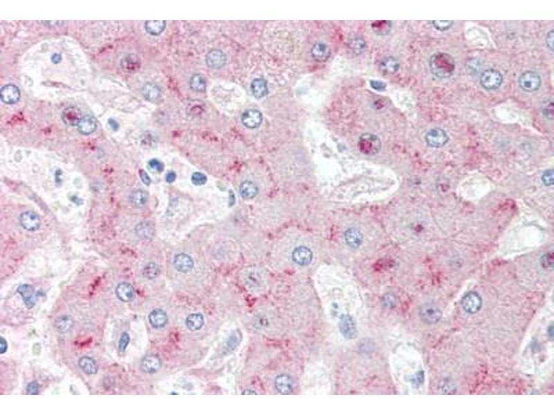
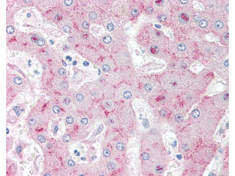
Approved: ELISA, Flo, IHC, IHC-Fr, IHC-P (10 μg/mL), WB
Usage: Immunohistochemistry: This antibody was validated for use in immunohistochemistry on a panel of 21 formalin-fixed, paraffin-embedded (FFPE) human tissues after heat induced antigen retrieval in pH 6.0 citrate buffer. After incubation with the primary antibody, slides were incubated with biotinylated secondary antibody, followed by alkaline phosphatase-streptavidin and chromogen. The stained slides were evaluated by a pathologist to confirm staining specificity. The optimal working concentration for this antibody was determined to be 10 μg/mL. ELISA: Direct. Western Blot: Non-reducing. Positive control: Liver. The applications listed have been tested for the unmodified form of this product. Other forms have not been tested. -
说明
-
Target Species of Antibody: Human
-
限制
- 仅限研究用
-
-
-
状态
- Liquid
-
浓度
- Lot specific
-
缓冲液
- PBS, pH 7.4, 40 % glycerol. No preservatives added.
-
储存液
- Azide free
-
注意事项
- Avoid repeated freezing and thawing.
-
储存条件
- 4 °C,-20 °C
-
储存方法
- 4°C or -20°C, Avoid freeze-thaw cycles.
-
-
- LRP1 (Low Density Lipoprotein Receptor-Related Protein 1 (LRP1))
-
别名
- LRP1 / CD91
-
背景
-
Name/Gene ID: LRP1
Synonyms: LRP1, Apolipoprotein E receptor, CD91 antigen, CD91, A2MR, IGFBP3R, Alpha-2-macroglobulin receptor, TGFBR5, Type V tgf-beta receptor, APOER, APR, LRP, LRP-1 -
基因ID
- 4035
-
UniProt
- Q07954
-
途径
- Smooth Muscle Cell Migration, Platelet-derived growth Factor Receptor Signaling
抗原
-