HSPD1 抗体
Our Local Distributor
北京 101111
Quick Overview for HSPD1 抗体 (ABIN5707619)
抗原
See all HSPD1 抗体适用
宿主
克隆类型
标记
应用范围
克隆位点
-
-
纯化方法
- Purified
-
纯度
- Protein A affinity chromatography
-
免疫原
- Recombinant human protein was used as the immunogen for the recombinant HSP60 antibody.
-
亚型
- IgG kappa
-
-
-
-
应用备注
-
Optimal dilution of the recombinant HSP60 antibody should be determined by the researcher.
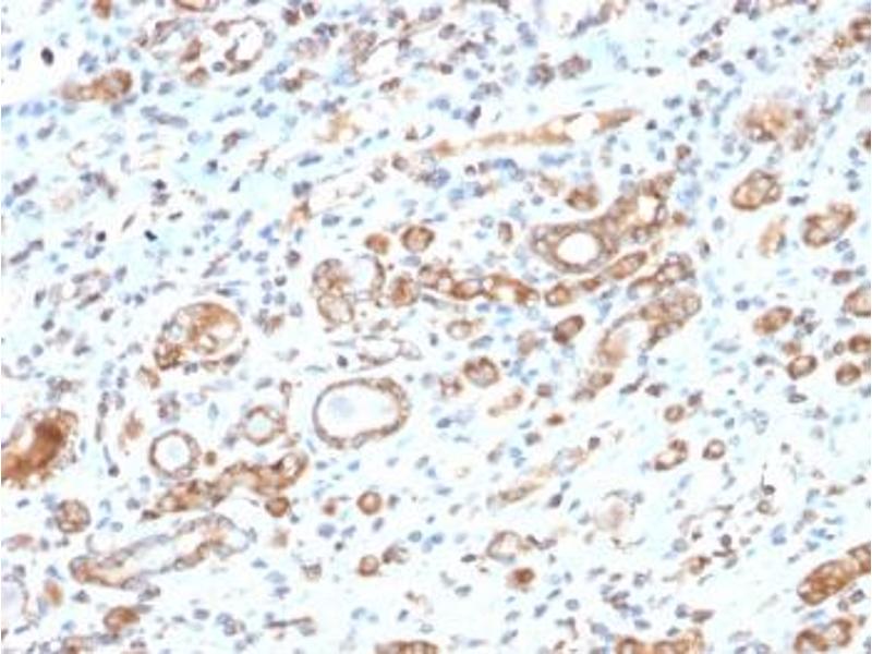
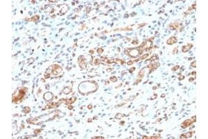
1. The prediluted format is supplied in a dropper bottle and is optimized for use in IHC. After epitope retrieval step (if required), drip mAb solution onto the tissue section and incubate at RT for 30 min.\. Immunohistochemistry (FFPE): 0.5-1 μg/mL for 30 min at RT,Prediluted IHC only format: incubate for 30 min at RT (1) -
限制
- 仅限研究用
-
-
-
缓冲液
- 0.2 mg/mL in 1X PBS with 0.1 mg/mL BSA (US sourced) and 0.05 % sodium azide
-
储存液
- Sodium azide
-
注意事项
- This product contains Sodium azide: a POISONOUS AND HAZARDOUS SUBSTANCE which should be handled by trained staff only.
-
储存条件
- 4 °C,-20 °C
-
储存方法
- Store the recombinant HSP60 antibody at 2-8oC (with azide) or aliquot and store at -20oC or colder (without azide).
-
-
- HSPD1 (Heat Shock 60kDa Protein 1 (Chaperonin) (HSPD1))
-
别名
- HSP60
-
背景
- HSP60 has been implicated in mitochondrial protein import and macromolecular assembly. May facilitate the correct folding of imported proteins. May also prevent misfolding and promote the refolding and proper assembly of unfolded polypeptides generated under stress conditions in the mitochondrial matrix. [UniProt]
-
途径
- Activation of Innate immune Response, Regulation of Leukocyte Mediated Immunity, Positive Regulation of Immune Effector Process, Production of Molecular Mediator of Immune Response, Positive Regulation of Endopeptidase Activity
抗原
-