电话:
+86 (0512) 65829739
传真:
+86 (010) 6788 5057
电子邮件:
orders@antibodies-online.cn

Integrin beta 3 抗体 (full length)

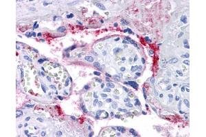
The 小鼠 单克隆 anti-Integrin beta 3 antibody (Clone VI-PL2) (ABIN5662701) specifically detects Integrin beta 3 in WB, IHC 和 FACS. The antibody is reactive with 人 samples.
产品编号 ABIN5662701
发货至: 中国
Contact our Customer Service for availability and price in your country. Contact Info

Our Local Distributor

中国
北京 101111
No. 88 KeChuang 6th Street
Beijing Economic Technological Development Area
Room 801-803
4A Biotech Co.,Ltd.
Tel +86 (0512) 65829739 传真 +86 (010) 6788 5057

Quick Overview for Integrin beta 3 抗体 (full length) (ABIN5662701)

抗原

See all Integrin beta 3 (ITGB3) 抗体
Integrin beta 3 (ITGB3)

适用

  • 259
  • 104
  • 73
  • 16
  • 15
  • 13
  • 13
  • 11
  • 8
  • 8
  • 5
  • 2
  • 2
  • 2
  • 1
  • 1
  • 1
  • 1

宿主

  • 151
  • 111
  • 11
  • 2
小鼠

克隆类型

  • 160
  • 113
单克隆

标记

  • 122
  • 19
  • 16
  • 13
  • 8
  • 4
  • 4
  • 4
  • 4
  • 4
  • 4
  • 4
  • 4
  • 4
  • 4
  • 4
  • 4
  • 4
  • 4
  • 4
  • 2
  • 2
  • 2
  • 2
  • 2
  • 2
  • 2
  • 2
  • 2
  • 2
  • 2
  • 2
  • 2
  • 2
  • 2
  • 2
  • 1
  • 1
  • 1
  • 1
  • 1
This Integrin beta 3 antibody is un-conjugated

应用范围

  • 146
  • 112
  • 104
  • 49
  • 40
  • 39
  • 29
  • 25
  • 25
  • 16
  • 14
  • 13
  • 4
  • 3
  • 3
  • 3
  • 2
  • 2
  • 1
Western Blotting (WB), Immunohistochemistry (IHC), Flow Cytometry (FACS)

克隆位点

VI-PL2
You are here: