电话:
+86 (0512) 65829739
传真:
+86 (010) 6788 5057
电子邮件:
orders@antibodies-online.cn

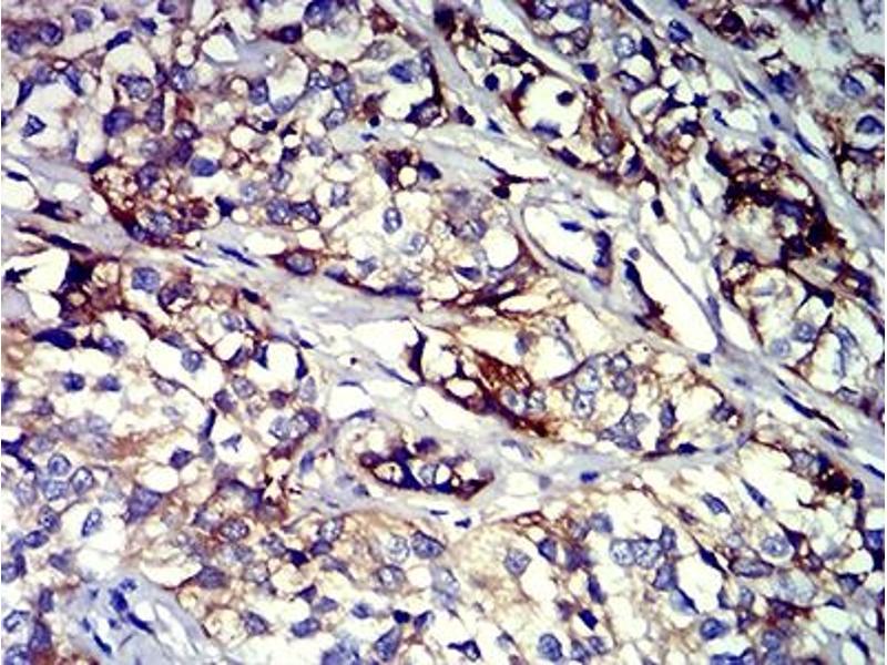
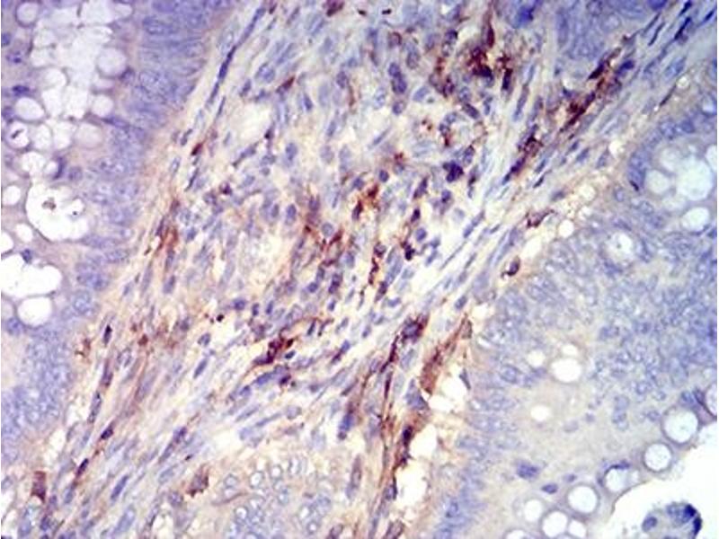
Integrin beta 3 抗体 (AA 27-179)

The 小鼠 单克隆 anti-Integrin beta 3 antibody is suitable to detect Integrin beta 3 in samples from 人. It has been validated for IHC, FACS 和 ELISA.
产品编号 ABIN7193294
发货至: 中国
Contact our Customer Service for availability and price in your country. Contact Info

Our Local Distributor

中国
北京 101111
No. 88 KeChuang 6th Street
Beijing Economic Technological Development Area
Room 801-803
4A Biotech Co.,Ltd.
Tel +86 (0512) 65829739 传真 +86 (010) 6788 5057

Quick Overview for Integrin beta 3 抗体 (AA 27-179) (ABIN7193294)

抗原

See all Integrin beta 3 (ITGB3) 抗体
Integrin beta 3 (ITGB3)

适用

  • 261
  • 104
  • 73
  • 16
  • 15
  • 13
  • 13
  • 11
  • 8
  • 8
  • 5
  • 2
  • 2
  • 2
  • 1
  • 1
  • 1
  • 1

宿主

  • 151
  • 113
  • 11
  • 2
小鼠

克隆类型

  • 162
  • 113
单克隆

标记

  • 124
  • 19
  • 16
  • 13
  • 8
  • 4
  • 4
  • 4
  • 4
  • 4
  • 4
  • 4
  • 4
  • 4
  • 4
  • 4
  • 4
  • 4
  • 4
  • 4
  • 2
  • 2
  • 2
  • 2
  • 2
  • 2
  • 2
  • 2
  • 2
  • 2
  • 2
  • 2
  • 2
  • 2
  • 2
  • 2
  • 1
  • 1
  • 1
  • 1
  • 1
This Integrin beta 3 antibody is un-conjugated

应用范围

  • 147
  • 113
  • 106
  • 48
  • 40
  • 40
  • 29
  • 26
  • 25
  • 16
  • 14
  • 13
  • 4
  • 3
  • 3
  • 3
  • 2
  • 2
  • 1
Immunohistochemistry (IHC), Flow Cytometry (FACS), ELISA

克隆位点

3E8A6
  • 抗原表位

    • 34
    • 27
    • 16
    • 15
    • 9
    • 8
    • 5
    • 3
    • 3
    • 3
    • 3
    • 2
    • 2
    • 2
    • 1
    • 1
    • 1
    • 1
    • 1
    • 1
    • 1
    • 1
    • 1
    • 1
    • 1
    • 1
    • 1
    • 1
    AA 27-179

    原理

    CD61 Antibody

    纯化方法

    Purified antibody

    免疫原

    Purified recombinant fragment of human CD61 (AA: 27-179) expressed in E. Coli.

    亚型

    IgG1
  • 应用备注

    ELISA: 1/10000

    FCM: 1/200 - 1/400

    限制

    仅限研究用
  • 状态

    Liquid

    缓冲液

    Purified antibody in PBS with 0.05 % sodium azide.

    储存液

    Sodium azide

    注意事项

    This product contains Sodium azide: a POISONOUS AND HAZARDOUS SUBSTANCE which should be handled by trained staff only.

    储存条件

    4 °C,-20 °C

    储存方法

    Store at 4°C short term. Aliquot and store at -20°C long term. Avoid freeze/thaw cycles.
  • 抗原

    Integrin beta 3 (ITGB3)

    别名

    CD61

    背景

    The ITGB3 protein product is the integrin beta chain beta 3. Integrins are integral cell-surface proteins composed of an alpha chain and a beta chain. A given chain may combine with multiple partners resulting in different integrins. Integrin beta 3 is found along with the alpha IIb chain in platelets. Integrins are known to participate in cell adhesion as well as cell-surface mediated signalling.

    分子量

    87 kDa

    UniProt

    P05106

    途径

    Regulation of G-Protein Coupled Receptor Protein Signaling, Signaling Events mediated by VEGFR1 and VEGFR2, Smooth Muscle Cell Migration, Integrin Complex
You are here: