电话:
+86 (0512) 65829739
传真:
+86 (010) 6788 5057
电子邮件:
orders@antibodies-online.cn

Integrin beta 3 抗体 (AA 610-718)

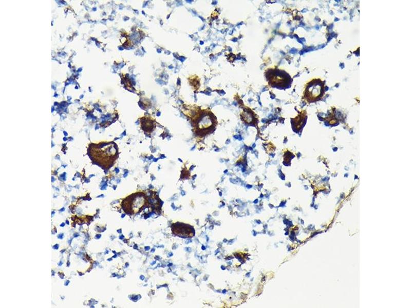
This 兔 多克隆 antibody specifically detects Integrin beta 3 in WB 和 IHC. It exhibits reactivity toward 人.
产品编号 ABIN6142584
发货至: 中国
Contact our Customer Service for availability and price in your country. Contact Info

Our Local Distributor

中国
北京 101111
No. 88 KeChuang 6th Street
Beijing Economic Technological Development Area
Room 801-803
4A Biotech Co.,Ltd.
Tel +86 (0512) 65829739 传真 +86 (010) 6788 5057

Quick Overview for Integrin beta 3 抗体 (AA 610-718) (ABIN6142584)

抗原

See all Integrin beta 3 (ITGB3) 抗体
Integrin beta 3 (ITGB3)

适用

  • 259
  • 104
  • 73
  • 16
  • 15
  • 13
  • 13
  • 11
  • 8
  • 8
  • 5
  • 2
  • 2
  • 2
  • 1
  • 1
  • 1
  • 1

宿主

  • 150
  • 112
  • 11
  • 2

克隆类型

  • 161
  • 112
多克隆

标记

  • 122
  • 19
  • 16
  • 13
  • 8
  • 4
  • 4
  • 4
  • 4
  • 4
  • 4
  • 4
  • 4
  • 4
  • 4
  • 4
  • 4
  • 4
  • 4
  • 4
  • 2
  • 2
  • 2
  • 2
  • 2
  • 2
  • 2
  • 2
  • 2
  • 2
  • 2
  • 2
  • 2
  • 2
  • 2
  • 2
  • 1
  • 1
  • 1
  • 1
  • 1
This Integrin beta 3 antibody is un-conjugated

应用范围

  • 146
  • 112
  • 105
  • 49
  • 40
  • 39
  • 29
  • 25
  • 25
  • 16
  • 14
  • 13
  • 4
  • 3
  • 3
  • 3
  • 2
  • 2
  • 1
Western Blotting (WB), Immunohistochemistry (IHC)
  • 抗原表位

    • 34
    • 27
    • 16
    • 15
    • 9
    • 8
    • 5
    • 3
    • 3
    • 3
    • 3
    • 2
    • 2
    • 2
    • 1
    • 1
    • 1
    • 1
    • 1
    • 1
    • 1
    • 1
    • 1
    • 1
    • 1
    • 1
    • 1
    • 1
    AA 610-718

    序列

    GSCVCIQPGS YGDTCEKCPT CPDACTFKKE CVECKKFDRG ALHDENTCNR YCRDEIESVK ELKDTGKDAV NCTYKNEDDC VVRFQYYEDS SGKSILYVVE EPECPKGPD

    交叉反应

    人, 小鼠, 大鼠

    产品特性

    Polyclonal Antibodies

    免疫原

    Recombinant fusion protein containing a sequence corresponding to amino acids 610-718 of human Integrin beta 3 (ITGB3/CD61) (NP_000203.2).

    亚型

    IgG
  • 应用备注

    WB,1:500 - 1:2000,IHC,1:50 - 1:200

    限制

    仅限研究用
  • 状态

    Liquid

    缓冲液

    PBS with 0.02 % sodium azide,50 % glycerol, pH 7.3.

    储存液

    Sodium azide

    注意事项

    This product contains Sodium azide: a POISONOUS AND HAZARDOUS SUBSTANCE which should be handled by trained staff only.

    储存条件

    -20 °C

    储存方法

    Store at -20°C. Avoid freeze / thaw cycles.
  • 抗原

    Integrin beta 3 (ITGB3)

    别名

    ITGB3

    背景

    The ITGB3 protein product is the integrin beta chain beta 3. Integrins are integral cell-surface proteins composed of an alpha chain and a beta chain. A given chain may combine with multiple partners resulting in different integrins. Integrin beta 3 is found along with the alpha IIb chain in platelets. Integrins are known to participate in cell adhesion as well as cell-surface mediated signalling.,BDPLT16,BDPLT2,CD61,GP3A,GPIIIa,GT,Integrin beta 3,ITGB3,Cancer,Invasion and Metastasis,Signal Transduction,G protein signaling,G2/M DNA Damage Checkpoint,PI3K-Akt Signaling Pathway,MAPK-Erk Signaling Pathway,Cell Biology & Developmental Biology,Cell Adhesion,Cytoskeleton,Immunology & Inflammation,CD markers,Cardiovascular,Angiogenesis,Blood,Cardiovascular diseases,Hypertension,ITGB3

    分子量

    86 kDa/87 kDa

    基因ID

    3690

    UniProt

    P05106

    途径

    Regulation of G-Protein Coupled Receptor Protein Signaling, Signaling Events mediated by VEGFR1 and VEGFR2, Smooth Muscle Cell Migration, Integrin Complex
You are here: