电话:
+86 (0512) 65829739
传真:
+86 (010) 6788 5057
电子邮件:
orders@antibodies-online.cn

JAG1 抗体 (C-Term)

The 山羊 多克隆 anti-JAG1 antibody is suitable to detect JAG1 in samples from 人 和 小鼠. It has been validated for IHC, ELISA 和 IF.
产品编号 ABIN5539629
发货至: 中国
Contact our Customer Service for availability and price in your country. Contact Info

Our Local Distributor

中国
北京 101111
No. 88 KeChuang 6th Street
Beijing Economic Technological Development Area
Room 801-803
4A Biotech Co.,Ltd.
Tel +86 (0512) 65829739 传真 +86 (010) 6788 5057

Quick Overview for JAG1 抗体 (C-Term) (ABIN5539629)

抗原

See all JAG1 抗体
JAG1 (Jagged 1 (JAG1))

适用

  • 113
  • 55
  • 38
  • 1
人, 小鼠

宿主

  • 86
  • 32
  • 3
  • 1
山羊

克隆类型

  • 72
  • 50
多克隆

标记

  • 57
  • 10
  • 9
  • 6
  • 5
  • 3
  • 3
  • 3
  • 3
  • 3
  • 3
  • 3
  • 2
  • 1
  • 1
  • 1
  • 1
  • 1
  • 1
  • 1
  • 1
  • 1
  • 1
  • 1
  • 1
This JAG1 antibody is un-conjugated

应用范围

  • 78
  • 32
  • 28
  • 27
  • 11
  • 11
  • 9
  • 8
  • 8
  • 7
  • 3
  • 2
  • 1
  • 1
Immunohistochemistry (IHC), ELISA, Immunofluorescence (IF)

质量等级

Verified
  • 抗原表位

    • 8
    • 7
    • 5
    • 5
    • 4
    • 4
    • 3
    • 3
    • 3
    • 2
    • 2
    • 2
    • 2
    • 2
    • 2
    • 2
    • 1
    • 1
    • 1
    • 1
    • 1
    • 1
    • 1
    • 1
    • 1
    C-Term

    原理

    JAG1

    序列

    TNKQDNRDLE SAQS

    交叉反应

    Cow, 犬, 人, 小鼠, Pig, 大鼠

    纯化方法

    Purified from goat serum by ammonium sulphate precipitation followed by antigen affinity chromatography using the immunizing peptide.

    亚型

    IgG
  • 应用备注

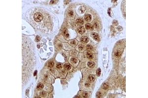
    Immunohistochemistry: In paraffin embedded Human Kidney shows membrane staining in the epithelial cells of convoluted tubules. Recommended concentration, 2-4 μg/mL.

    Peptide ELISA: antibody detection limit dilution 1:8000.

    说明

    Immunofluorescence: Strong expression of the protein seen in the cytoplasm of NIH3T3 cells. Recommended concentration: 5μg/ml.

    限制

    仅限研究用
  • 状态

    Liquid

    浓度

    0.5 mg/mL

    缓冲液

    Supplied at 0.5 mg/mL in Tris saline, 0.02 % sodium azide, pH 7.3 with 0.5 % bovine serum albumin.

    储存液

    Sodium azide

    注意事项

    This product contains Sodium azide: a POISONOUS AND HAZARDOUS SUBSTANCE which should be handled by trained staff only.

    注意事项

    Minimize freezing and thawing.

    储存条件

    -20 °C

    储存方法

    Aliquot and store at -20°C, with minimal freeze/thawing. A working aliquot may be refrigerated at 4°C for a few weeks and still remain viable.
  • 抗原

    JAG1 (Jagged 1 (JAG1))

    别名

    JAG1

    背景

    JAG1, jagged 1, AGS, AHD, AWS, CD339, HJ1, JAGL1, MGC104644, protein jagged-1

    基因ID

    182, 16449, 29146

    NCBI登录号

    NP_000205

    途径

    Notch Signaling, Stem Cell Maintenance
You are here: