电话:
+86 (0512) 65829739
传真:
+86 (010) 6788 5057
电子邮件:
orders@antibodies-online.cn

MUC5AC 抗体 (AA 324-406)

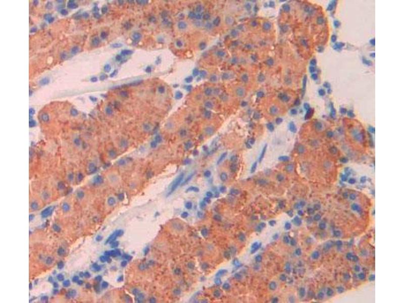
The 兔 多克隆 anti-MUC5AC antibody (ABIN5013961) specifically detects MUC5AC in WB, IHC, IP 和 ICC. The antibody is reactive with 大鼠 samples.
产品编号 ABIN5013961
发货至: 中国
Contact our Customer Service for availability and price in your country. Contact Info

Our Local Distributor

中国
北京 101111
No. 88 KeChuang 6th Street
Beijing Economic Technological Development Area
Room 801-803
4A Biotech Co.,Ltd.
Tel +86 (0512) 65829739 传真 +86 (010) 6788 5057

Quick Overview for MUC5AC 抗体 (AA 324-406) (ABIN5013961)

抗原

See all MUC5AC 抗体
MUC5AC (Mucin 5AC, Oligomeric Mucus/gel-Forming (MUC5AC))

适用

  • 143
  • 80
  • 66
  • 40
  • 39
  • 38
  • 36
  • 25
  • 24
  • 16
  • 1
  • 1
大鼠

宿主

  • 83
  • 81
  • 1

克隆类型

  • 104
  • 60
  • 1
多克隆

标记

  • 71
  • 18
  • 9
  • 4
  • 4
  • 4
  • 4
  • 4
  • 4
  • 4
  • 3
  • 3
  • 3
  • 3
  • 3
  • 3
  • 2
  • 2
  • 2
  • 2
  • 2
  • 1
  • 1
  • 1
  • 1
  • 1
  • 1
  • 1
  • 1
  • 1
  • 1
  • 1
This MUC5AC antibody is un-conjugated

应用范围

  • 87
  • 84
  • 52
  • 37
  • 30
  • 30
  • 22
  • 19
  • 18
  • 17
  • 13
  • 13
  • 12
  • 12
  • 5
  • 4
  • 3
  • 2
  • 1
  • 1
Western Blotting (WB), Immunohistochemistry (IHC), Immunoprecipitation (IP), Immunocytochemistry (ICC)
  • 抗原表位

    • 15
    • 7
    • 5
    • 4
    • 3
    • 3
    • 3
    • 3
    • 3
    • 3
    • 3
    • 2
    • 2
    • 2
    • 1
    • 1
    AA 324-406

    原理

    Polyclonal Antibody to Mucin 5 Subtype AC (MUC5AC)

    特异性

    The antibody is a rabbit polyclonal antibody raised against MUC5AC. It has been selected for its ability to recognize MUC5AC in immunohistochemical staining and western blotting.

    纯化方法

    Antigen-specific affinity chromatography followed by Protein A affinity chromatography

    免疫原

    MUC5AC (Val324-Gln406) linked with VGTPLRVEGF WQAWSGIGTL ILNFLLLPVS RSSSTTRS

    亚型

    IgG
  • 应用备注

    Western blotting: 0.2-2 μg/mL,1:250-2500 Immunohistochemistry: 5-20 μg/mL,1:25-100 Immunocytochemistry: 5-20 μg/mL,1:25-100 Optimal working dilutions must be determined by end user.

    说明

    The thermal stability is described by the loss rate. The loss rate was determined by accelerated thermal degradation test, that is, incubate the protein at 37°C for 48h, and no obvious degradation and precipitation were observed. The loss rate is less than 5% within the expiration date under appropriate storage condition.

    限制

    仅限研究用
  • 状态

    Liquid

    浓度

    500 μg/mL

    缓冲液

    PBS, pH 7.4, containing 0.02 % Sodium azide, 50 % glycerol.

    储存液

    Sodium azide

    储存条件

    4 °C,-20 °C

    储存方法

    Store at 4°C for frequent use. Stored at -20°C in a manual defrost freezer for two year without detectable loss of activity. Avoid repeated freeze-thaw cycles.
  • 抗原

    MUC5AC (Mucin 5AC, Oligomeric Mucus/gel-Forming (MUC5AC))

    别名

    MUC5AC

    背景

    TBM, MUC5, LeB, Oligomeric Mucus/Gel-Forming, Mucin 5,Subtypes A And C,Tracheobronchial/Gastric, Gastric mucin, Lewis B blood group antigen, Major airway glycoprotein
You are here: