电话:
+86 (0512) 65829739
传真:
+86 (010) 6788 5057
电子邮件:
orders@antibodies-online.cn

Lamin B2 抗体 (AA 221-460)

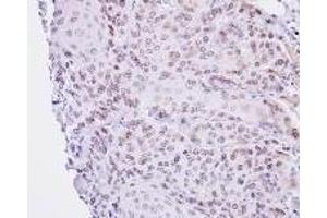
The 兔 多克隆 anti-Lamin B2 antibody (ABIN497934) specifically detects Lamin B2 in WB 和 IHC (p). The antibody is reactive with 人 samples.
产品编号 ABIN497934
发货至: 中国
Contact our Customer Service for availability and price in your country. Contact Info

Our Local Distributor

中国
北京 101111
No. 88 KeChuang 6th Street
Beijing Economic Technological Development Area
Room 801-803
4A Biotech Co.,Ltd.
Tel +86 (0512) 65829739 传真 +86 (010) 6788 5057

Quick Overview for Lamin B2 抗体 (AA 221-460) (ABIN497934)

抗原

See all Lamin B2 (LMNB2) 抗体
Lamin B2 (LMNB2)

适用

  • 73
  • 52
  • 30
  • 10
  • 5
  • 5
  • 4
  • 4
  • 4
  • 2
  • 2
  • 2
  • 2
  • 2
  • 1
  • 1
  • 1

宿主

  • 69
  • 20

克隆类型

  • 54
  • 35
多克隆

标记

  • 49
  • 4
  • 3
  • 3
  • 3
  • 3
  • 3
  • 3
  • 3
  • 2
  • 1
  • 1
  • 1
  • 1
  • 1
  • 1
  • 1
  • 1
  • 1
  • 1
  • 1
  • 1
  • 1
This Lamin B2 antibody is un-conjugated

应用范围

  • 68
  • 29
  • 25
  • 17
  • 16
  • 13
  • 13
  • 10
  • 10
  • 10
  • 8
  • 1
  • 1
  • 1
  • 1
Western Blotting (WB), Immunohistochemistry (Paraffin-embedded Sections) (IHC (p))
  • 抗原表位

    • 15
    • 8
    • 6
    • 3
    • 2
    • 2
    • 2
    • 1
    • 1
    • 1
    • 1
    • 1
    • 1
    • 1
    • 1
    • 1
    AA 221-460

    特异性

    Recognizes Lamin B2.
    Cellular Localization: Nucleus inner membrane, Lipid-anchor, Nucleoplasmic side

    纯化方法

    Antigen-Affinity Chromatography.

    免疫原

    Recombinant protein fragment contain a sequence corresponding to a region within amino acids 221 and 460 of Lamin B2
  • 应用备注

    Western blotting: 1/500-1/3000. Positive Controls: 293T, A431, H1299, HeLa, HepG2, Molt-4, Raji

    限制

    仅限研究用
  • 状态

    Liquid

    浓度

    1.0 mg/mL

    缓冲液

    0.1 M Tris, 0.1 M Glycine, 10 % Glycerol and 0.01 % Thimerosal as preservative.

    储存液

    Thimerosal (Merthiolate)

    注意事项

    This product contains thimerosal (merthiolate): a POISONOUS AND HAZARDOUS SUBSTANCE which should be handled by trained staff only.

    注意事项

    Avoid repeated freezing and thawing.

    储存条件

    -20 °C

    储存方法

    Store the antibody undiluted (in aliquots) at -20 °C.
  • 抗原

    Lamin B2 (LMNB2)

    别名

    Lamin-B2 (LMNB2)

    背景

    An important part of the cell nucleus is formed by nuclear lamina. Nuclear lamins form a network of filaments at the nucleoplasmic site of the nuclear membrane. Two main subtypes of nuclear lamins can be distinguished, i.e. A-type lamins and B-type lamins. The A-type lamins comprise a set of three proteins arising from the same gene by alternative splicing, i.e. Lamin A, Lamin C and lamin Adel10, while the B-type lamins include two proteins arising from two distinct genes, i.e. Lamin B1 and Lamin B2. The nuclear lamins comprise a unique subclass of the intermediate filament protein family. They share a molecular domain organisation with the other intermediate filament proteins in that they are fibrous molecules that have an aminoterminal globular head, a central rod of a-helices and a carboxyterminal globular domain. Many biochemical and molecular features of lamins have been studied, but their functions remain still largely undetermined. One of the functions ascribed to the lamina is the maintenance of the structural integrity of the nucleus. Besides interactions with the nuclear membrane and other intermediate filaments, lamins interact with the nuclear chromatin. Eukaryotic chromatin is organised into loops, which are attached to the nuclear matrix. This organisation is thought to contribute to compaction of the chromatin and regulation of gene expression. Lamins, as part of the nuclear matrix, may be involved in these processes since chromatin binding sites have been detected in both A- and B-type Lamins.Synonyms: LMN2, LMNB, LMNB-2, LMNB2, Lamin-B2, Nuclear Envelope Marker

    基因ID

    84823, 9606

    UniProt

    Q03252

    途径

    Apoptosis, Caspase Cascade in Apoptosis
You are here: