电话:
+86 (0512) 65829739
传真:
+86 (010) 6788 5057
电子邮件:
orders@antibodies-online.cn

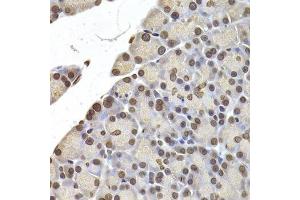
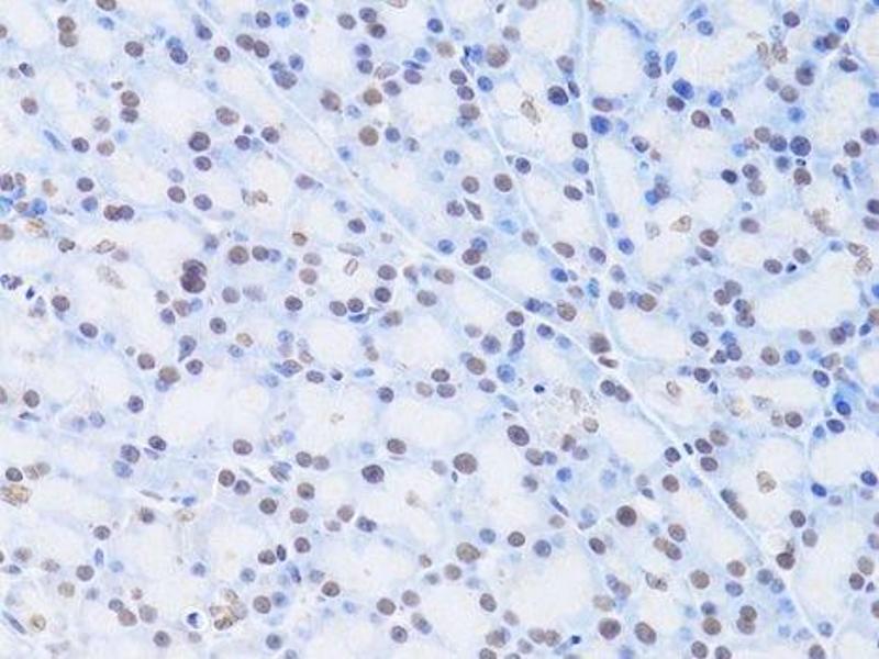
Lamin B2 抗体 (AA 341-620)

The 兔 多克隆 anti-Lamin B2 antibody (ABIN6143268) specifically detects Lamin B2 in WB, IHC 和 IF. The antibody is reactive with 人 samples.
产品编号 ABIN6143268
发货至: 中国
Contact our Customer Service for availability and price in your country. Contact Info

Our Local Distributor

中国
北京 101111
No. 88 KeChuang 6th Street
Beijing Economic Technological Development Area
Room 801-803
4A Biotech Co.,Ltd.
Tel +86 (0512) 65829739 传真 +86 (010) 6788 5057

Quick Overview for Lamin B2 抗体 (AA 341-620) (ABIN6143268)

抗原

See all Lamin B2 (LMNB2) 抗体
Lamin B2 (LMNB2)

适用

  • 73
  • 52
  • 30
  • 10
  • 5
  • 5
  • 4
  • 4
  • 4
  • 2
  • 2
  • 2
  • 2
  • 2
  • 1
  • 1
  • 1

宿主

  • 69
  • 20

克隆类型

  • 54
  • 35
多克隆

标记

  • 49
  • 4
  • 3
  • 3
  • 3
  • 3
  • 3
  • 3
  • 3
  • 2
  • 1
  • 1
  • 1
  • 1
  • 1
  • 1
  • 1
  • 1
  • 1
  • 1
  • 1
  • 1
  • 1
This Lamin B2 antibody is un-conjugated

应用范围

  • 68
  • 28
  • 24
  • 17
  • 16
  • 13
  • 13
  • 11
  • 10
  • 10
  • 8
  • 1
  • 1
  • 1
  • 1
Western Blotting (WB), Immunohistochemistry (IHC), Immunofluorescence (IF)
  • 抗原表位

    • 15
    • 8
    • 6
    • 3
    • 2
    • 2
    • 2
    • 1
    • 1
    • 1
    • 1
    • 1
    • 1
    • 1
    • 1
    • 1
    AA 341-620

    序列

    AMAGERDKFR KMLDAKEQEM TEMRDVMQQQ LAEYQELLDV KLALDMEINA YRKLLEGEEE RLKLSPSPSS RVTVSRATSS SSGSLSATGR LGRSKRKRLE VEEPLGSGPS VLGTGTGGSG GFHLAQQASA SGSVSIEEID LEGKFVQLKN NSDKDQSLGN WRIKRQVLEG EEIAYKFTPK YILRAGQMVT VWAAGAGVAH SPPSTLVWKG QSSWGTGESF RTVLVNADGE EVAMRTVKKS SVMRENENGE EEEEEAEFGE EDLFHQQGDP RTTSRGCYVM

    交叉反应

    人, 小鼠, 大鼠

    产品特性

    Polyclonal Antibodies

    免疫原

    Recombinant fusion protein containing a sequence corresponding to amino acids 341-620 of human Lamin B2 (NP_116126.3).

    亚型

    IgG
  • 应用备注

    WB,1:500 - 1:2000,IHC,1:50 - 1:200,IF,1:50 - 1:100

    说明

    HIGH QUALITY

    限制

    仅限研究用
  • 状态

    Liquid

    缓冲液

    PBS with 0.02 % sodium azide,50 % glycerol, pH 7.3.

    储存液

    Sodium azide

    注意事项

    This product contains Sodium azide: a POISONOUS AND HAZARDOUS SUBSTANCE which should be handled by trained staff only.

    储存条件

    -20 °C

    储存方法

    Store at -20°C. Avoid freeze / thaw cycles.
  • 抗原

    Lamin B2 (LMNB2)

    别名

    LMNB2

    背景

    This gene encodes a B type nuclear lamin. The nuclear lamina consists of a two-dimensional matrix of proteins located next to the inner nuclear membrane. The lamin family of proteins make up the matrix and are highly conserved in evolution. During mitosis, the lamina matrix is reversibly disassembled as the lamin proteins are phosphorylated. Lamin proteins are thought to be involved in nuclear stability, chromatin structure and gene expression. Vertebrate lamins consist of two types, A and B. Mutations in this gene are associated with acquired partial lipodystrophy.,LMNB2,EPM9,LAMB2,LMN2,lamin-B2,Epigenetics & Nuclear Signaling,Signal Transduction,Cell Biology & Developmental Biology,Apoptosis,Cytoskeleton,Intermediate Filaments,LMNB2

    分子量

    69 kDa

    基因ID

    84823

    UniProt

    Q03252

    途径

    Apoptosis, Caspase Cascade in Apoptosis
You are here: