电话:
+86 (0512) 65829739
传真:
+86 (010) 6788 5057
电子邮件:
orders@antibodies-online.cn

TBP 抗体

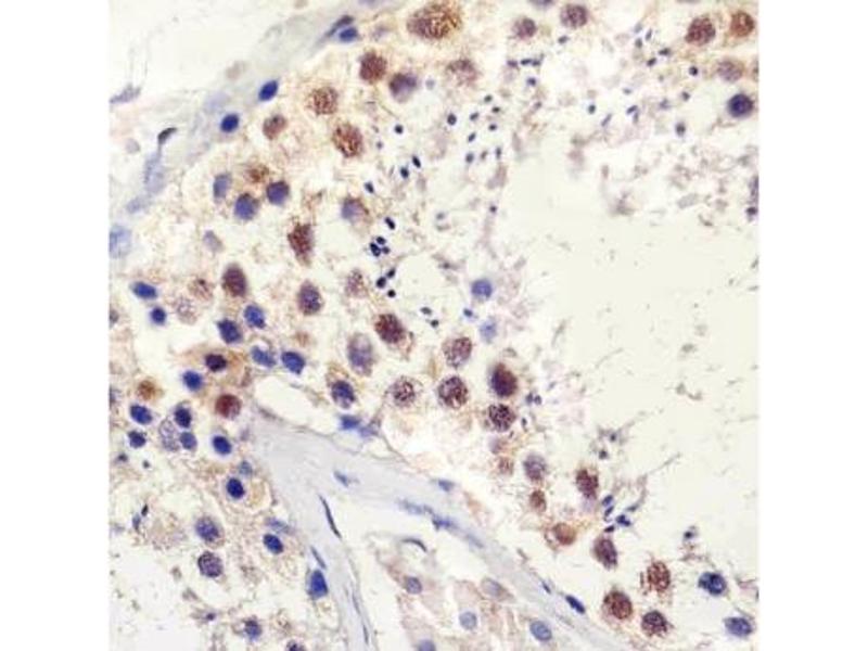
The 小鼠 单克隆 anti-TBP antibody (Clone 830CT4-3-3) (ABIN3029100) specifically detects TBP in WB, ELISA 和 IHC (p). The antibody is reactive with 人, 小鼠, 大鼠 和 猴 samples.
产品编号 ABIN3029100
发货至: 中国
Contact our Customer Service for availability and price in your country. Contact Info

Our Local Distributor

中国
北京 101111
No. 88 KeChuang 6th Street
Beijing Economic Technological Development Area
Room 801-803
4A Biotech Co.,Ltd.
Tel +86 (0512) 65829739 传真 +86 (010) 6788 5057

Quick Overview for TBP 抗体 (ABIN3029100)

抗原

See all TBP 抗体
TBP (TATA Box Binding Protein (TBP))

适用

  • 86
  • 48
  • 46
  • 6
  • 6
  • 5
  • 5
  • 5
  • 4
  • 3
  • 3
  • 3
  • 3
  • 2
  • 2
  • 1
  • 1
人, 小鼠, 大鼠, 猴

宿主

  • 62
  • 25
  • 2
小鼠

克隆类型

  • 61
  • 28
单克隆

标记

  • 57
  • 3
  • 3
  • 3
  • 2
  • 2
  • 2
  • 2
  • 2
  • 2
  • 1
  • 1
  • 1
  • 1
  • 1
  • 1
  • 1
  • 1
  • 1
  • 1
  • 1
This TBP antibody is un-conjugated

应用范围

  • 69
  • 27
  • 18
  • 14
  • 14
  • 13
  • 11
  • 10
  • 10
  • 8
  • 4
  • 2
  • 2
  • 1
  • 1
  • 1
  • 1
  • 1
Western Blotting (WB), ELISA, Immunohistochemistry (Paraffin-embedded Sections) (IHC (p))

克隆位点

830CT4-3-3
  • 纯化方法

    Purified

    免疫原

    Purified His-tagged protein was used to produced this monoclonal TBP antibody.

    亚型

    IgG1
  • 应用备注

    Titration of the TBP antibody may be required due to differences in protocols and secondary/substrate sensitivity.\. IHC (Paraffin): 1:25,Western blot: 1:1000-2:000

    限制

    仅限研究用
  • 状态

    Liquid

    缓冲液

    In 1X PBS, pH 7.4, with 0.09 % sodium azide

    储存液

    Sodium azide

    注意事项

    This product contains Sodium azide: a POISONOUS AND HAZARDOUS SUBSTANCE which should be handled by trained staff only.

    储存条件

    -20 °C

    储存方法

    Aliquot the TBP antibody and store frozen at -20°C or colder. Avoid repeated freeze-thaw cycles.
  • 抗原

    TBP (TATA Box Binding Protein (TBP))

    别名

    TBP

    背景

    General transcription factor that functions at the core of the DNA-binding multiprotein factor TFIID. Binding of TFIID to the TATA box is the initial transcriptional step of the pre-initiation complex (PIC), playing a role in the activation of eukaryotic genes transcribed by RNA polymerase II. Component of the transcription factor SL1/TIF-IB complex, which is involved in the assembly of the PIC (preinitiation complex) during RNA polymerase I-dependent transcription. The rate of PIC formation probably is primarily dependent on the rate of association of SL1 with the rDNA promoter. SL1 is involved in stabilization of nucleolar transcription factor 1/UBTF on rDNA.

    UniProt

    P20226

    途径

    WNT signaling
You are here: