电话:
+86 (0512) 65829739
传真:
+86 (010) 6788 5057
电子邮件:
orders@antibodies-online.cn

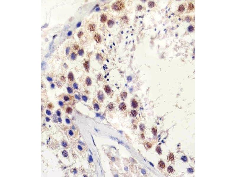
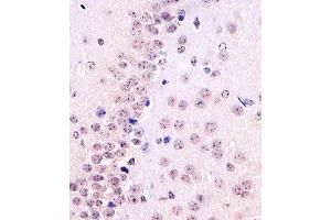
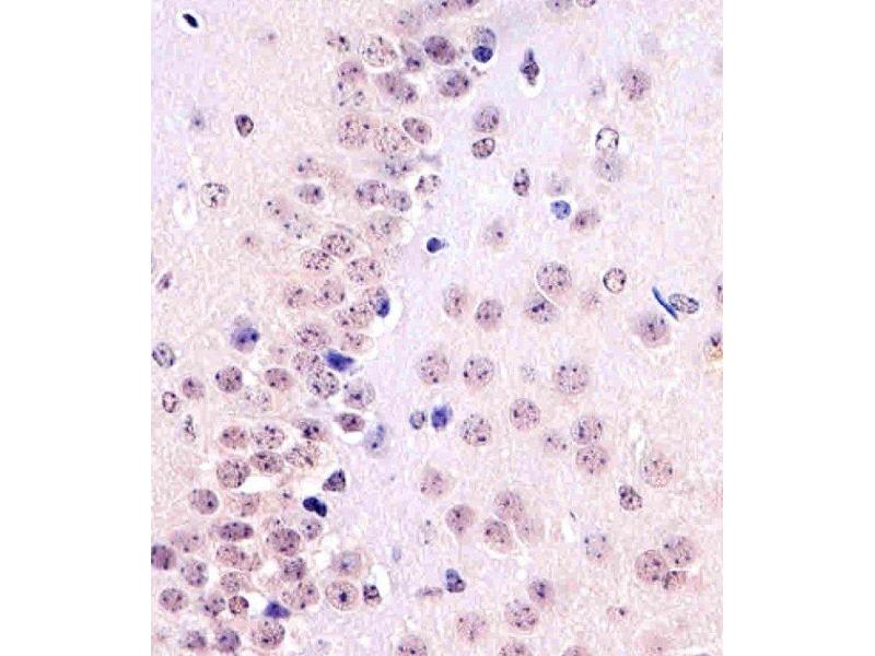
TBP 抗体

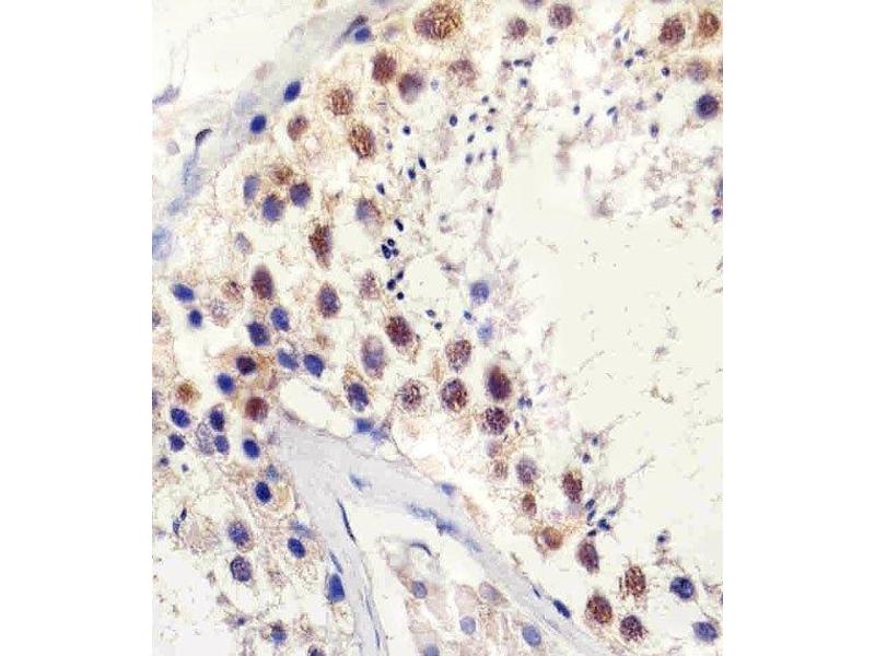
This 小鼠 单克隆 antibody specifically detects TBP in WB, IHC (p) 和 IF (cc). It exhibits reactivity toward 人, 小鼠, 大鼠 和 Cynomolgus.
产品编号 ABIN4914538
发货至: 中国
Contact our Customer Service for availability and price in your country. Contact Info

Our Local Distributor

中国
北京 101111
No. 88 KeChuang 6th Street
Beijing Economic Technological Development Area
Room 801-803
4A Biotech Co.,Ltd.
Tel +86 (0512) 65829739 传真 +86 (010) 6788 5057

Quick Overview for TBP 抗体 (ABIN4914538)

抗原

See all TBP 抗体
TBP (TATA Box Binding Protein (TBP))

适用

  • 86
  • 48
  • 46
  • 6
  • 6
  • 5
  • 5
  • 5
  • 4
  • 4
  • 3
  • 3
  • 3
  • 2
  • 2
  • 1
人, 小鼠, 大鼠, Cynomolgus

宿主

  • 62
  • 25
  • 2
小鼠

克隆类型

  • 61
  • 28
单克隆

标记

  • 57
  • 3
  • 3
  • 3
  • 2
  • 2
  • 2
  • 2
  • 2
  • 2
  • 1
  • 1
  • 1
  • 1
  • 1
  • 1
  • 1
  • 1
  • 1
  • 1
  • 1
This TBP antibody is un-conjugated

应用范围

  • 69
  • 28
  • 17
  • 14
  • 13
  • 13
  • 11
  • 11
  • 10
  • 8
  • 4
  • 2
  • 2
  • 1
  • 1
  • 1
  • 1
  • 1
Western Blotting (WB), Immunohistochemistry (Paraffin-embedded Sections) (IHC (p)), Immunofluorescence (Cultured Cells) (IF (cc))

克隆位点

8C4
  • 交叉反应

    人, 小鼠, 大鼠

    交叉反应 (详细)

    Cynomolgus Monkey

    纯化方法

    Purified monoclonal antibody supplied in PBS with 0.09% (W/V) sodium azide. This antibody is purified through a protein G column, eluted with high and low pH buffers and neutralized immediately, followed by dialysis against PBS.

    免疫原

    Purified His-tagged TBP protein was used to produced this monoclonal antibody.

    亚型

    IgG1
  • 应用备注

    WB 1:300-5000
    IHC-P 1:200-400
    IF(ICC) 1:50-200

    限制

    仅限研究用
  • 状态

    Liquid

    浓度

    0.5 μg/μL

    缓冲液

    0.01M TBS( pH 7.4) with 1 % BSA, 0.02 % Proclin300 and 50 % Glycerol.

    储存液

    ProClin

    注意事项

    This product contains ProClin: a POISONOUS AND HAZARDOUS SUBSTANCE, which should be handled by trained staff only.

    储存条件

    -20 °C

    储存方法

    Store at -20°C for 12 months.

    有效期

    12 months
  • 抗原

    TBP (TATA Box Binding Protein (TBP))

    别名

    TBP

    背景

    Synonyms: HDL4, GTF2D, SCA17, TFIID, GTF2D1, TATA-box-binding protein, TATA sequence-binding protein, TATA-binding factor, TATA-box factor, Transcription initiation factor TFIID TBP subunit, TBP, TF2D

    Background: General transcription factor that functions at the core of the DNA-binding multiprotein factor TFIID. Binding of TFIID to the TATA box is the initial transcriptional step of the pre-initiation complex (PIC), playing a role in the activation of eukaryotic genes transcribed by RNA polymerase II. Component of the transcription factor SL1/TIF-IB complex, which is involved in the assembly of the PIC (preinitiation complex) during RNA polymerase I-dependent transcription. The rate of PIC formation probably is primarily dependent on the rate of association of SL1 with the rDNA promoter. SL1 is involved in stabilization of nucleolar transcription factor 1/UBTF on rDNA.

    基因ID

    6908

    UniProt

    P20226

    途径

    WNT signaling
You are here: