LRP2 抗体 (AA 4626-4655)
Our Local Distributor
北京 101111
Quick Overview for LRP2 抗体 (AA 4626-4655) (ABIN3031639)
抗原
See all LRP2 抗体适用
宿主
克隆类型
标记
应用范围
-
-
抗原表位
- AA 4626-4655
-
纯化方法
- Purified
-
免疫原
- A portion of amino acids 4626-4655 from the human protein was used as the immunogen for this Megalin antibody.
-
亚型
- Ig Fraction
-
-
-
-
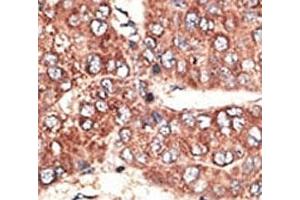
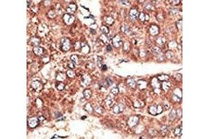
应用备注
- Titration of the Megalin antibody may be required due to differences in protocols and secondary/substrate sensitivity.\. IHC (Paraffin): 1:50-1:100
-
限制
- 仅限研究用
-
-
-
状态
- Liquid
-
缓冲液
- In 1X PBS, pH 7.4, with 0.09 % sodium azide
-
储存液
- Sodium azide
-
注意事项
- This product contains Sodium azide: a POISONOUS AND HAZARDOUS SUBSTANCE which should be handled by trained staff only.
-
储存条件
- -20 °C
-
储存方法
- Aliquot the Megalin antibody and store frozen at -20°C or colder. Avoid repeated freeze-thaw cycles.
-
-
- LRP2 (Low Density Lipoprotein Receptor-Related Protein 2 (LRP2))
-
别名
- Megalin
-
背景
- Low density lipoprotein (LDL) receptor-related protein (LRP), a member of the LDL receptor family, binds multiple classes of ligands and has been implicated in a broad range of normal and disease processes involving lipid metabolism, protease clearance, and cell migration (1). Structurally, members of the LDLR family share homology within their extracellular domains, which are highlighted by the presence of clusters of ligand-binding repeats. LRP is a large endocytic receptor that participates in several biological pathways and plays prominent roles in lipoprotein metabolism and in the catabolism of proteinases involved in coagulation and fibrinolysis. LRP also mediates the cellular entry of certain viruses and toxins and facilitates the activation of various lysosomal enzymes (2). All LRPs are expressed in the central nervous system and, for most receptors, animal models have shown that they are indispensable for successful neurodevelopment. The mechanisms by which they regulate the formation of the nervous system are varied and include the transduction of extracellular signals and the modulation of intracellular signal propagation, as well as cargo transport, the function most commonly attributed to this gene family (3).
-
UniProt
- P98164
-
途径
- Metabolism of Steroid Hormones and Vitamin D, Thyroid Hormone Synthesis, Hormone Transport
抗原
-