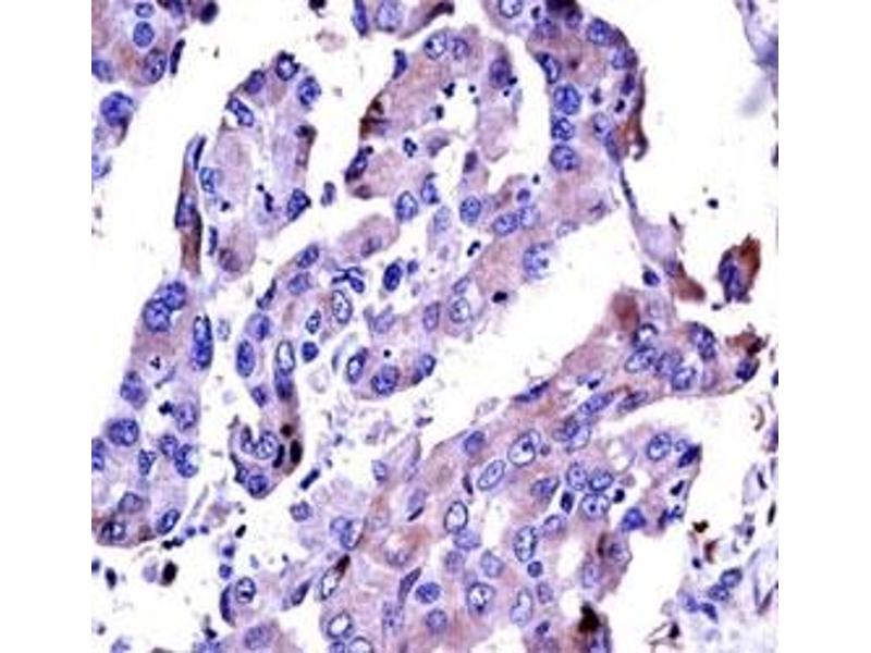
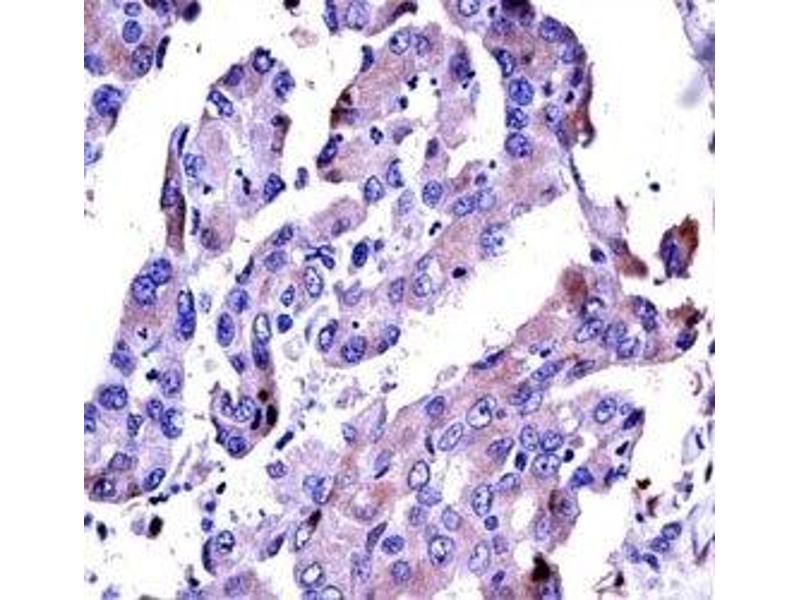
AKT2 抗体 (AA 93-123)
Our Local Distributor
北京 101111
Quick Overview for AKT2 抗体 (AA 93-123) (ABIN3029470)
抗原
See all AKT2 抗体适用
宿主
克隆类型
标记
应用范围
-
-
抗原表位
- AA 93-123
-
纯化方法
- Antigen affinity purified
-
免疫原
- A portion of amino acids 93-123 from the human protein was used as the immunogen for this AKT2 antibody.
-
亚型
- Ig Fraction
-
-
-
-
应用备注
- Titration of the AKT2 antibody may be required due to differences in protocols and secondary/substrate sensitivity.\. Western blot: 1:1000,Immunofluorescence: 1:10-1:50,Flow Cytometry: 1:10-1:50,IHC (Paraffin): 1:10-1:50
-
限制
- 仅限研究用
-
-
-
状态
- Liquid
-
缓冲液
- In 1X PBS, pH 7.4, with 0.09 % sodium azide
-
储存液
- Sodium azide
-
注意事项
- This product contains Sodium azide: a POISONOUS AND HAZARDOUS SUBSTANCE which should be handled by trained staff only.
-
储存条件
- -20 °C
-
储存方法
- Aliquot the AKT2 antibody and store frozen at -20°C or colder. Avoid repeated freeze-thaw cycles.
-
-
- AKT2 (V-Akt Murine Thymoma Viral Oncogene Homolog 2 (AKT2))
-
别名
- AKT2
-
背景
- AKT2 is a putative oncogenic protein belonging to a subfamily of serine/threonine kinases containing SH2-like (Src homology 2-like) domains. Furthermore, AKT2 was shown to be amplified and overexpressed in 2 of 8 ovarian carcinoma cell lines and 2 of 15 primary ovarian tumors. Overexpression of AKT2 contributes to the malignant phenotype of a subset of human ductal pancreatic cancers. AKT2 is a general protein kinase capable of phophorylating several known proteins.
-
UniProt
- P31751
-
途径
- PI3K-Akt Signaling, RTK signaling, AMPK Signaling, TLR signaling, Cellular Glucan Metabolic Process, Regulation of Carbohydrate Metabolic Process, Hepatitis C, VEGF Signaling
抗原
-