HSPD1 抗体
Our Local Distributor
北京 101111
Quick Overview for HSPD1 抗体 (ABIN462365)
抗原
See all HSPD1 抗体适用
宿主
克隆类型
标记
应用范围
-
-
特异性
- Hsp60
-
纯化方法
- Protein G purified
-
免疫原
-
Recombinant human Hsp60 protein.
Type of Immunogen: Recombinant protein
-
-
-
-
应用备注
-
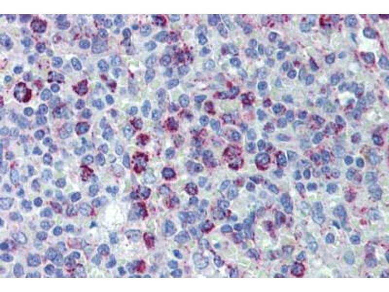
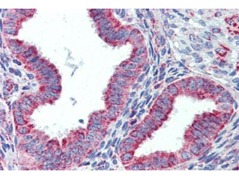
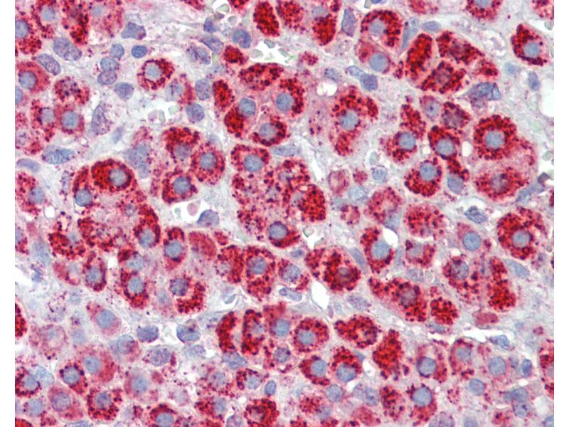
Approved: IHC, IHC-P (10 μg/mL), IP (1:100), WB (1:1000)
Usage: Immunohistochemistry: This antibody was validated for use in immunohistochemistry on a panel of 21 formalin-fixed, paraffin-embedded (FFPE) human tissues after heat induced antigen retrieval in pH 6.0 citrate buffer. After incubation with the primary antibody, slides were incubated with biotinylated secondary antibody, followed by alkaline phosphatase-streptavidin and chromogen. The stained slides were evaluated by a pathologist to confirm staining specificity. The optimal working concentration for this antibody was determined to be 10 μg/mL. -
说明
-
Target Species of Antibody: Human
-
限制
- 仅限研究用
-
-
-
状态
- Liquid
-
浓度
- Lot specific
-
缓冲液
- PBS, pH 7.2, 0.09 % azide, 50 % glycerol
-
储存液
- Sodium azide
-
注意事项
- This product contains Sodium azide: a POISONOUS AND HAZARDOUS SUBSTANCE which should be handled by trained staff only.
-
储存条件
- -20 °C
-
储存方法
- Store at -20°C.
-
-
- HSPD1 (Heat Shock 60kDa Protein 1 (Chaperonin) (HSPD1))
-
别名
- HSPD1 / HSP60
-
背景
-
Name/Gene ID: HSPD1
Synonyms: HSPD1, 60 kDa chaperonin, CPN60, Heat shock protein 65, Heat shock protein 60, HSP-60, HSP60, HuCHA60, HLD4, HSP65, p60 lymphocyte protein, SPG13, Chaperonin 60, GROEL -
基因ID
- 3329
-
UniProt
- P10809
-
途径
- Activation of Innate immune Response, Regulation of Leukocyte Mediated Immunity, Positive Regulation of Immune Effector Process, Production of Molecular Mediator of Immune Response, Positive Regulation of Endopeptidase Activity
抗原
-