电话:
+86 (0512) 65829739
传真:
+86 (010) 6788 5057
电子邮件:
orders@antibodies-online.cn

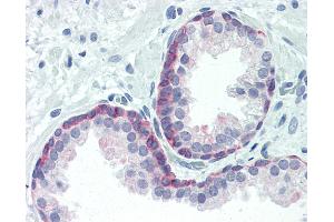
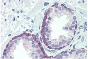
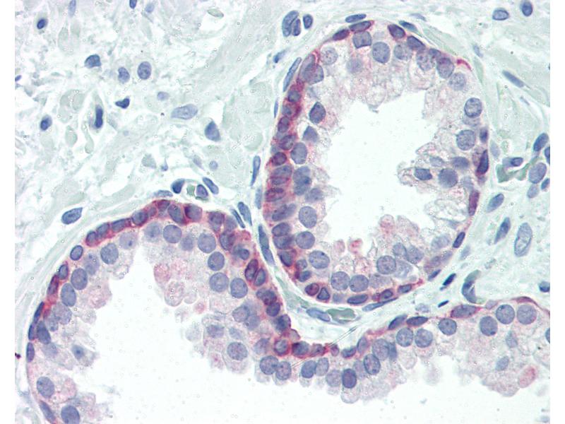
FOXO3 抗体 (pThr24, Thr32)

The 兔 多克隆 anti-FOXO3 antibody is suitable to detect FOXO3 in samples from 人, 小鼠 和 大鼠. It has been validated for WB, IHC, ELISA, IHC (p) 和 IP.
产品编号 ABIN461993
发货至: 中国
Contact our Customer Service for availability and price in your country. Contact Info

Our Local Distributor

中国
北京 101111
No. 88 KeChuang 6th Street
Beijing Economic Technological Development Area
Room 801-803
4A Biotech Co.,Ltd.
Tel +86 (0512) 65829739 传真 +86 (010) 6788 5057

Quick Overview for FOXO3 抗体 (pThr24, Thr32) (ABIN461993)

抗原

See all FOXO3 抗体
FOXO3 (Forkhead Box O3 (FOXO3))

适用

  • 167
  • 104
  • 97
  • 9
  • 7
  • 6
  • 5
  • 5
  • 5
  • 4
  • 3
  • 3
  • 2
  • 2
  • 2
  • 1
人, 小鼠, 大鼠

宿主

  • 165
  • 5
  • 1
  • 1

克隆类型

  • 110
  • 62
多克隆

标记

  • 82
  • 11
  • 8
  • 8
  • 8
  • 8
  • 8
  • 8
  • 4
  • 4
  • 4
  • 3
  • 3
  • 2
  • 1
  • 1
  • 1
  • 1
  • 1
  • 1
  • 1
  • 1
  • 1
  • 1
  • 1
This FOXO3 antibody is un-conjugated

应用范围

  • 136
  • 74
  • 60
  • 50
  • 45
  • 22
  • 18
  • 15
  • 15
  • 14
  • 4
  • 2
  • 2
  • 2
  • 1
  • 1
Western Blotting (WB), Immunohistochemistry (IHC), ELISA, Immunohistochemistry (Paraffin-embedded Sections) (IHC (p)), Immunoprecipitation (IP)
  • 抗原表位

    • 50
    • 9
    • 8
    • 8
    • 8
    • 7
    • 7
    • 4
    • 3
    • 2
    • 2
    • 2
    • 2
    • 2
    • 2
    • 1
    • 1
    • 1
    • 1
    • 1
    • 1
    • 1
    • 1
    • 1
    • 1
    • 1
    • 1
    • 1
    • 1
    • 1
    • 1
    • 1
    • 1
    • 1
    • 1
    • 1
    • 1
    pThr24, Thr32

    特异性

    Detects endogenous levels of FKHR (FKHRL1) only when activated by phosphorylation at Thr24 of FKHR or Thr32 of FKHRL1. Also reacts with phosphorylated AFX at Thr28. Does not react with FKHR family members phosphorylated at other sites. Species cross-reactivity: Human, mouse, rat.

    纯化方法

    Protein A purified

    免疫原

    Synthetic phosphopeptide (KLH coupled) corresponding to residues surrounding Thr24 of human FKHR.

    Type of Immunogen: Synthetic phospho-peptide

    亚型

    IgG
  • 应用备注

    Approved: ELISA, IHC, IHC-P (1:100), IP (1:50), WB (1:1000)

    Usage: Immunohistochemistry: This antibody was validated for use in immunohistochemistry on a panel of 21 formalin-fixed, paraffin-embedded (FFPE) human tissues after heat induced antigen retrieval in  pH 6.0 citrate buffer. After incubation with the primary antibody, slides were incubated with biotinylated secondary antibody, followed by alkaline phosphatase-streptavidin and chromogen. The stained slides were evaluated by a pathologist to confirm staining specificity. The optimal working concentration for this antibody was determined to be 1:100.

    说明

    Target Species of Antibody: Human

    限制

    仅限研究用
  • 状态

    Liquid

    浓度

    Lot specific

    缓冲液

    10 mM HEPES,  pH 7.5, 150 mM sodium chloride, 0.1 mg/mL BSA, 50 % glycerol. No preservative added.

    储存液

    Without preservative

    注意事项

    Avoid repeat freeze-thaw cycles.

    储存条件

    4 °C,-20 °C

    储存方法

    Short term: 4°C. Long term: Store at -20°C. Avoid freeze-thaw cycles.
  • 抗原

    FOXO3 (Forkhead Box O3 (FOXO3))

    别名

    FOXO3 / FOXO3A

    背景

    Name/Gene ID: FOXO3
    Family: Transcription factor

    Synonyms: FOXO3, AF6q21, AF6q21 protein, Forkhead box O3, Forkhead box O3A, FOXO3A, FKHRL1P2, Forkhead box protein O3, FOXO2, FKHRL1

    基因ID

    2309

    UniProt

    O43524

    途径

    Cell Division Cycle, Fc-epsilon Receptor Signaling Pathway, EGFR Signaling Pathway, Neurotrophin Signaling Pathway, Carbohydrate Homeostasis
You are here: