电话:
+86 (0512) 65829739
传真:
+86 (010) 6788 5057
电子邮件:
orders@antibodies-online.cn

FOXO3 抗体 (C-Term)

This 山羊 多克隆 antibody specifically detects FOXO3 in WB, IHC 和 ELISA. It exhibits reactivity toward 人.
产品编号 ABIN185248
发货至: 中国
Contact our Customer Service for availability and price in your country. Contact Info

Our Local Distributor

中国
北京 101111
No. 88 KeChuang 6th Street
Beijing Economic Technological Development Area
Room 801-803
4A Biotech Co.,Ltd.
Tel +86 (0512) 65829739 传真 +86 (010) 6788 5057

Quick Overview for FOXO3 抗体 (C-Term) (ABIN185248)

抗原

See all FOXO3 抗体
FOXO3 (Forkhead Box O3 (FOXO3))

适用

  • 167
  • 105
  • 98
  • 9
  • 7
  • 6
  • 5
  • 5
  • 5
  • 4
  • 3
  • 3
  • 2
  • 2
  • 2
  • 1

宿主

  • 166
  • 5
  • 1
山羊

克隆类型

  • 110
  • 62
多克隆

标记

  • 82
  • 11
  • 8
  • 8
  • 8
  • 8
  • 8
  • 8
  • 4
  • 4
  • 4
  • 3
  • 3
  • 2
  • 1
  • 1
  • 1
  • 1
  • 1
  • 1
  • 1
  • 1
  • 1
  • 1
  • 1
This FOXO3 antibody is un-conjugated

应用范围

  • 136
  • 74
  • 60
  • 50
  • 45
  • 23
  • 18
  • 16
  • 15
  • 14
  • 4
  • 2
  • 2
  • 2
  • 1
  • 1
Western Blotting (WB), Immunohistochemistry (IHC), ELISA

质量等级

Verified
  • 抗原表位

    • 50
    • 8
    • 8
    • 8
    • 8
    • 7
    • 7
    • 4
    • 3
    • 2
    • 2
    • 2
    • 2
    • 2
    • 2
    • 1
    • 1
    • 1
    • 1
    • 1
    • 1
    • 1
    • 1
    • 1
    • 1
    • 1
    • 1
    • 1
    • 1
    • 1
    • 1
    • 1
    • 1
    • 1
    • 1
    • 1
    • 1
    • 1
    • 1
    C-Term

    原理

    FOXO3A / FOXO3 / FKHRL1

    序列

    GAKQASSQSW VPG

    特异性

    Both variants represent identical protein (NP_001446.1 and NP_963853.1).

    交叉反应

    Cow, 犬, 人, 小鼠, Pig, 大鼠

    纯化方法

    Purified from goat serum by ammonium sulphate precipitation followed by antigen affinity chromatography using the immunizing peptide.

    免疫原

    Peptide with sequence C-GAKQASSQSWVPG, from the C Terminus of the protein sequence according to NP_001446.1.

    亚型

    IgG
  • 应用备注

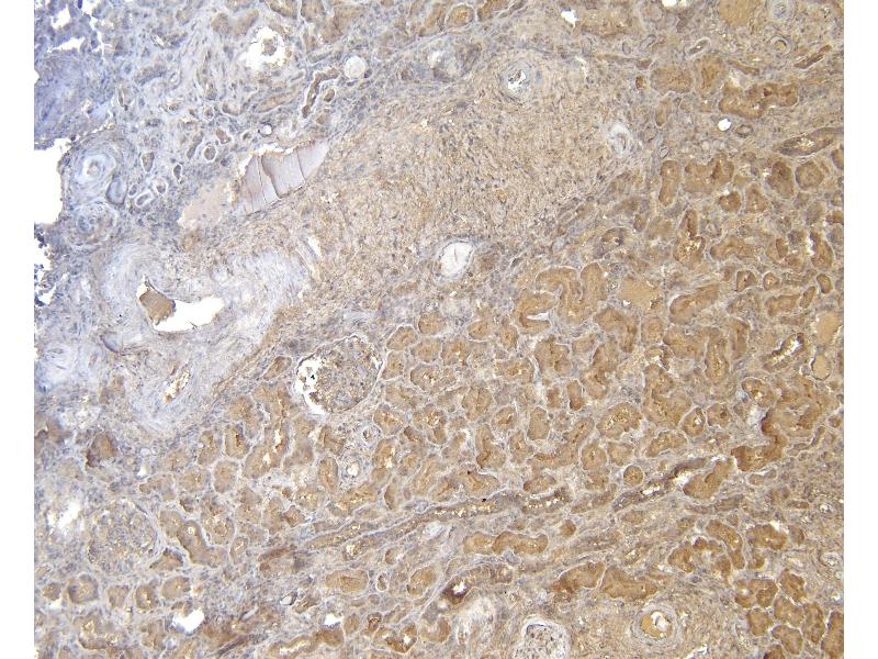
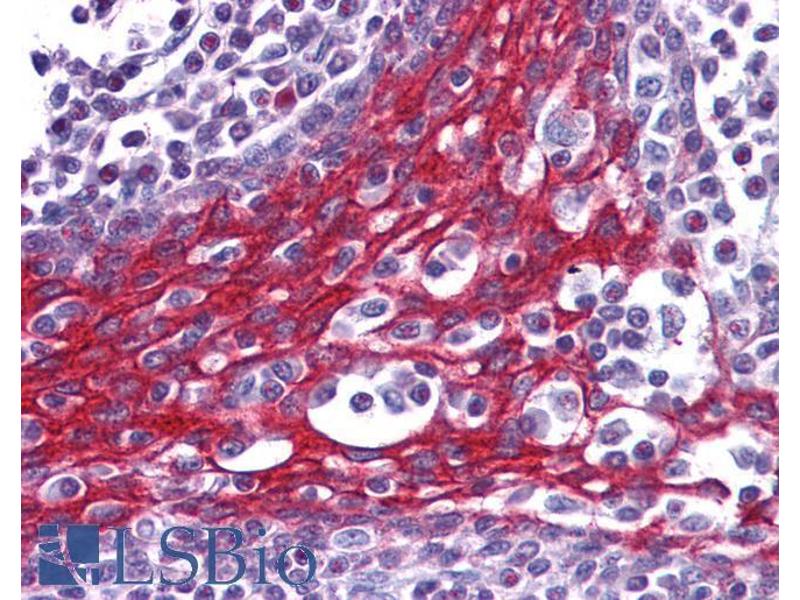
    Immunohistochemistry: Paraffin embedded Human Kidney. Recommended concentration: 5 μg/mL.

    Western Blot: Approx 70 kDa band observed in Human Heart lysates (calculated MW of 71.3 kDa according to NP_001446.1). Recommended concentration: 0.1-1 μg/mL. Primary incubation was 1 hour. Preliminary testing was unsuccessful on Mouse for this particular

    Peptide ELISA: antibody detection limit dilution 1:8000.

    限制

    仅限研究用
  • 状态

    Liquid

    浓度

    0.5 mg/mL

    缓冲液

    Supplied at 0.5 mg/mL in Tris saline, 0.02 % sodium azide, pH 7.3 with 0.5 % bovine serum albumin.

    储存液

    Sodium azide

    注意事项

    This product contains Sodium azide: a POISONOUS AND HAZARDOUS SUBSTANCE which should be handled by trained staff only.

    注意事项

    Minimize freezing and thawing.

    储存条件

    -20 °C

    储存方法

    Aliquot and store at -20°C, with minimal freeze/thawing. A working aliquot may be refrigerated at 4°C for a few weeks and still remain viable.
  • 抗原

    FOXO3 (Forkhead Box O3 (FOXO3))

    别名

    FOXO3

    背景

    FOXO3, FOXO3A, FKHRL1, AF6q21, FKHRL1P2, MGC12739, MGC31925, DKFZp781A0677, forkhead box O3A, forkhead (Drosophila) homolog, FOXO2, forkhead homolog (rhabdomyosarcoma) like 1, forkhead, Drosophila, homolog of, in rhabdomyosarcoma-like 1 (rhabdomyosarcoma)

    基因ID

    2309, 56484

    NCBI登录号

    NP_001446

    途径

    Cell Division Cycle, Fc-epsilon Receptor Signaling Pathway, EGFR Signaling Pathway, Neurotrophin Signaling Pathway, Carbohydrate Homeostasis
You are here: