电话:
+86 (0512) 65829739
传真:
+86 (010) 6788 5057
电子邮件:
orders@antibodies-online.cn

FOXO3 抗体 (AA 471-673)

The 兔 多克隆 anti-FOXO3 antibody is suitable to detect FOXO3 in samples from 人 和 大鼠. It has been validated for WB, IHC, IF, ICC 和 FACS.
产品编号 ABIN3042404
发货至: 中国
Contact our Customer Service for availability and price in your country. Contact Info

Our Local Distributor

中国
北京 101111
No. 88 KeChuang 6th Street
Beijing Economic Technological Development Area
Room 801-803
4A Biotech Co.,Ltd.
Tel +86 (0512) 65829739 传真 +86 (010) 6788 5057

Quick Overview for FOXO3 抗体 (AA 471-673) (ABIN3042404)

抗原

See all FOXO3 抗体
FOXO3 (Forkhead Box O3 (FOXO3))

适用

  • 167
  • 105
  • 97
  • 9
  • 7
  • 6
  • 5
  • 5
  • 5
  • 4
  • 3
  • 3
  • 2
  • 2
  • 2
  • 1
人, 大鼠

宿主

  • 165
  • 5
  • 1
  • 1

克隆类型

  • 110
  • 62
多克隆

标记

  • 82
  • 11
  • 8
  • 8
  • 8
  • 8
  • 8
  • 8
  • 4
  • 4
  • 4
  • 3
  • 3
  • 2
  • 1
  • 1
  • 1
  • 1
  • 1
  • 1
  • 1
  • 1
  • 1
  • 1
  • 1
This FOXO3 antibody is un-conjugated

应用范围

  • 136
  • 74
  • 59
  • 51
  • 44
  • 23
  • 17
  • 16
  • 15
  • 14
  • 4
  • 2
  • 2
  • 2
  • 1
  • 1
Western Blotting (WB), Immunohistochemistry (IHC), Immunofluorescence (IF), Immunocytochemistry (ICC), Flow Cytometry (FACS)
  • 抗原表位

    • 50
    • 9
    • 8
    • 8
    • 8
    • 7
    • 7
    • 4
    • 3
    • 2
    • 2
    • 2
    • 2
    • 2
    • 1
    • 1
    • 1
    • 1
    • 1
    • 1
    • 1
    • 1
    • 1
    • 1
    • 1
    • 1
    • 1
    • 1
    • 1
    • 1
    • 1
    • 1
    • 1
    • 1
    • 1
    • 1
    • 1
    • 1
    • 1
    AA 471-673

    原理

    Anti-FOXO3A Antibody

    交叉反应 (详细)

    No cross-reactivity with other proteins

    产品特性

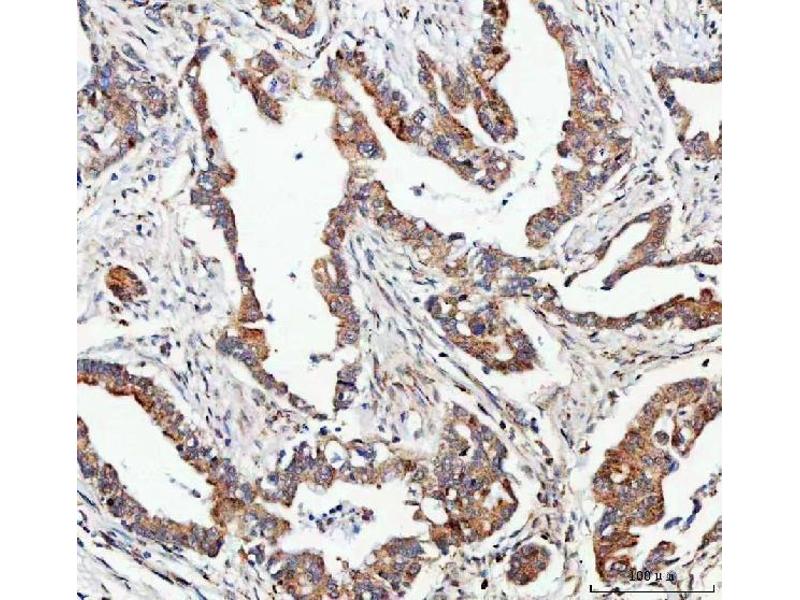
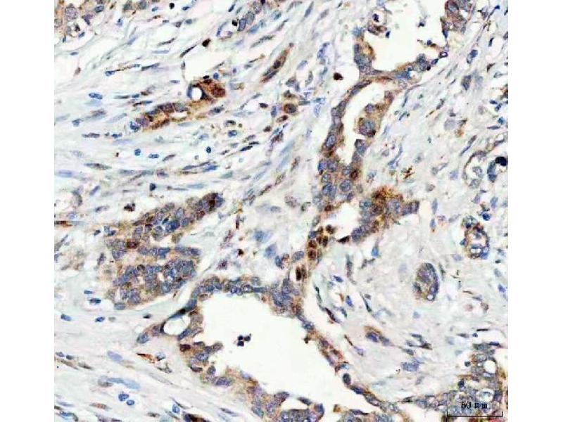
    Anti-FOXO3A Antibody (ABIN3042404). Tested in Flow Cytometry, IF, IHC, ICC, WB applications. This antibody reacts with Human, Rat. This is a premium antibody that guarantees superior quality, high affinity, and strong signals with minimal background in Western blot applications.

    纯化方法

    Immunogen affinity purified.

    免疫原

    E.coli-derived human FOXO3A recombinant protein (Position: Q471-G673). Human FOXO3A shares 97% amino acid (aa) sequence identity with mouse FOXO3A.

    亚型

    IgG
  • 应用备注

    Western blot, 0.1-0.5 μg/mL, Human, Rat
    Immunohistochemistry (Paraffin-embedded Section), 2-5 μg/mL, Human
    Immunocytochemistry/Immunofluorescence, 5 μg/mL, Human
    Flow Cytometry(Fixed), 1-3 μg/1x106 cells, Human

    说明

    Antibody can be supported by chemiluminescence kit ABIN921124 in WB, supported by ABIN921231 in IHC(P).

    限制

    仅限研究用
  • 状态

    Lyophilized

    溶解方式

    Add 0.2 mL of distilled water will yield a concentration of 500 μg/mL.

    浓度

    500 μg/mL

    缓冲液

    Each vial contains 4 mg Trehalose, 0.9 mg NaCl and 0.2 mg Na2HPO4.

    注意事项

    Avoid repeated freezing and thawing.

    储存条件

    4 °C,-20 °C

    储存方法

    Store at -20°C for one year from date of receipt. After reconstitution, at 4°C for one month.
    It can also be aliquotted and stored frozen at -20°C for six months. Avoid repeated freeze-thaw cycles.
  • 抗原

    FOXO3 (Forkhead Box O3 (FOXO3))

    别名

    FOXO3

    背景

    Synonyms: Forkhead box protein O3,AF6q21 protein,Forkhead in rhabdomyosarcoma-like 1,FOXO3,FKHRL1, FOXO3A,

    Tissue Specificity: Ubiquitous. .

    Background: Forkhead box O3, also known as FKHRL1 or FOXO3a, is a human protein encoded by the FOXO3 gene. FOXO3 belongs to the O subclass of the forkhead family of transcription factors which are characterized by a distinct fork head DNA-binding domain. It is mapped to 6q21. This protein likely functions as a trigger for apoptosis through upregulation of genes necessary for cell death, such as Bim and PUMA, or downregulation of anti-apoptotic proteins such as FLIP. In mammals FOXO3 regulates the resistance of cells to stress by inducing DNA repair and thereby may also affect organismal life span. In addition, it is thought that FOXO3 is also involved in protection from oxidative stress by upregulating antioxidants such as catalase and MnSOD.

    Sequence Similarities: Contains 1 fork-head DNA-binding domain.

    分子量

    80-90 kDa

    基因ID

    2309

    UniProt

    O43524

    途径

    Cell Division Cycle, Fc-epsilon Receptor Signaling Pathway, EGFR Signaling Pathway, Neurotrophin Signaling Pathway, Carbohydrate Homeostasis
You are here: