电话:
+86 (0512) 65829739
传真:
+86 (010) 6788 5057
电子邮件:
orders@antibodies-online.cn

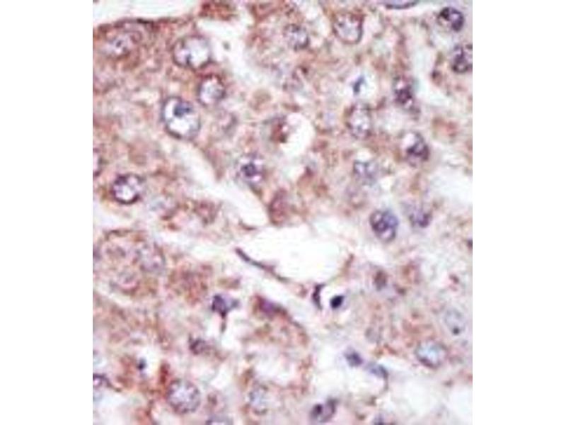
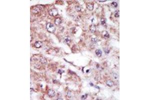
MARK2 抗体 (C-Term)

The 兔 多克隆 anti-MARK2 antibody is suitable to detect MARK2 in samples from 人 和 小鼠. It has been validated for WB, IHC (p) 和 EIA.
产品编号 ABIN360425
发货至: 中国
Contact our Customer Service for availability and price in your country. Contact Info

Our Local Distributor

中国
北京 101111
No. 88 KeChuang 6th Street
Beijing Economic Technological Development Area
Room 801-803
4A Biotech Co.,Ltd.
Tel +86 (0512) 65829739 传真 +86 (010) 6788 5057

Quick Overview for MARK2 抗体 (C-Term) (ABIN360425)

抗原

See all MARK2 抗体
MARK2 (MAP/microtubule Affinity-Regulating Kinase 2 (MARK2))

适用

  • 84
  • 60
  • 52
  • 2
  • 2
  • 2
  • 1
  • 1
  • 1
  • 1
人, 小鼠

宿主

  • 80
  • 3
  • 1

克隆类型

  • 63
  • 21
多克隆

标记

  • 35
  • 5
  • 4
  • 4
  • 4
  • 4
  • 4
  • 4
  • 4
  • 3
  • 1
  • 1
  • 1
  • 1
  • 1
  • 1
  • 1
  • 1
  • 1
  • 1
  • 1
  • 1
  • 1
This MARK2 antibody is un-conjugated

应用范围

  • 54
  • 31
  • 16
  • 15
  • 11
  • 11
  • 8
  • 5
  • 3
  • 1
  • 1
Western Blotting (WB), Immunohistochemistry (Paraffin-embedded Sections) (IHC (p)), Enzyme Immunoassay (EIA)
  • 抗原表位

    • 13
    • 8
    • 5
    • 5
    • 3
    • 3
    • 2
    • 2
    • 2
    • 2
    • 2
    • 2
    • 1
    • 1
    • 1
    C-Term

    特异性

    This antibody reacts to MARK2 (EMK).

    纯化方法

    Protein G column, eluted with high and low pH buffers and neutralized immediately, followed by dialysis against PBS

    免疫原

    This antibody is generated from rabbits immunized with a KLH conjugated synthetic peptide selected from the C-terminal region of human EMK.

    亚型

    Ig Fraction
  • 应用备注

    ELISA: 1/1,000. Immunohistochemistry: 1/50 - 1/100. Western Blot: 1/250 - 1/500.
    Other applications not tested.
    Optimal dilutions are dependent on conditions and should be determined by the user.

    限制

    仅限研究用
  • 状态

    Liquid

    浓度

    0.25 mg/mL

    缓冲液

    PBS with 0.09 % (W/V) sodium azide

    储存液

    Sodium azide

    注意事项

    This product contains sodium azide: a POISONOUS AND HAZARDOUS SUBSTANCE which should be handled by trained staff only.

    注意事项

    Avoid repeated freezing and thawing.

    储存条件

    4 °C/-20 °C

    储存方法

    Store the antibody undiluted at 2-8 °C for one month or (in aliquots) at-20 °C for longer.
  • 抗原

    MARK2 (MAP/microtubule Affinity-Regulating Kinase 2 (MARK2))

    别名

    MARK2

    背景

    Protein kinases are enzymes that transfer a phosphate group from a phosphate donor, generally the g phosphate of ATP, onto an acceptor amino acid in a substrate protein. By this basic mechanism, protein kinases mediate most of the signal transduction in eukaryotic cells, regulating cellular metabolism, transcription, cell cycle progression, cytoskeletal rearrangement and cell movement, apoptosis, and differentiation. With more than 500 gene products, the protein kinase family is one of the largest families of proteins in eukaryotes. The family has been classified in 8 major groups based on sequence comparison of their tyrosine (PTK) or serine/threonine (STK) kinase catalytic domains.Synonyms: 2, ELKL motif kinase, EMK1, MAP/microtubule affinity-regulating kinase, MARK2, PAR1 homolog, Serine/threonine-protein kinase

    基因ID

    2011

    NCBI登录号

    NP_001034557

    UniProt

    Q7KZI7

    途径

    SARS-CoV-2 Protein Interactome, The Global Phosphorylation Landscape of SARS-CoV-2 Infection
You are here: